Proteza kokso - femorale (këllkut apo kërdhokullave)

Prof. Dr. Bülent A. TAŞBAŞ
Specialist Ortoped-Traumatolog
Cel: +386 49 513 513 / +377 45 500 908
Tel: +386 38 221 661
e-mail: btasbas@spitaliamerikan.com
Rr. Hajvali km 7, Prishtinë,
www.spitaliamerikan.com
www.spitaliamerikanortopedi.com
Funksioni i tij kryesor është të mbështesë peshën e trupit si në pozicion statik (në këmbë) ashtu dhe në dinamikë (gjatë ecjes ose vrapimit). Të dyja sipërfaqet janë të veshura me një shtresë të hollë kërci hialin, e cila lejon uljen e forcave të fërkimit midis dy kockave. Në saje të një kapsule fibroze të fuqishme dhe të bollshme, ky artikulacion është i dyti (pas supit) në amplitudën e lëvizjeve që realizon.
Shkaqet:
Proteza e kërdhokullave bëhet e nevojshme ne rrethanat e mëposhtme:
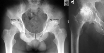
1- Osteoartriti: Artriti degjenerativ kockor prek në mënyrë tipike moshat e mëdha. Ka një evolucion degjenerativ të dy komponentëve artikularë e induktuar nga faktorë rëndues që në shumicën e rasteve lidhen me moshën e avancuar. Individët me forma të avancuara osteoartriti, që nuk i përgjigjen trajtimit me metoda të tjera janë kandidatë të përshtatshëm për artroplastike të kërdhokullave. Procedura përdoret kryesisht për reduktimin e dhimbjes dhe për të rritur cilësinë e jetës. Protezat e gjurit janë bërë një mjet i zakonshëm për trajtimin e osteoartritit të rëndë të gjunjëve.
3 - Frakturat: Traumat në individët me osteoporozë shpesh shkaktojnë fraktura të këllkut te pacientët e vjetër dhe që mund të kërkojnë protezë totale ose parciale të këllkut (kokso-femorale).
4 - Osteonekroza është vdekja e indit kockor shkaktuar nga bllokimi i qarkullimit të gjakut aty. Artoplastia mund të jetë e përdorshme për trajtimin e kësaj gjendjeje, veçanërisht kur ndodh në pjesë kockore afër artikulacionit, si p.sh. koka e femurit.
5 - Artriti post-traumatik i shkaktuar nga dëmtimet. Artriti që ndjek një frakturë ose luksacion mund të trajtohet me artoplasti.
7 - Kanceri kockor primar ose metastazat, kur preket artikulacioni artoplastia mund të përdoret për zëvendësimin e tij.
8 - Deformimi i artikulacionit, disa artikulacione si gjuri duke u deformuar (jashtë ose brenda) shkaktojnë dhimbje dhe kufizim të lëvizshmërisë.
9 - Artriti psoriatik, është një formë artriti që prek të sëmurët me psoriazis duke shkaktuar inflamacion të dhimbshëm në artikulacionet e dorës.
Simptomat: Konsistojnë në dhimbje gjatë ecjes, kufizim progresiv të lëvizjeve të artikulacionit në të gjithë planet, ngurtësim artikular dhe hipotrofi muskulare.
Dhimbja shpesh referohet në zonën e përparme ose anësore të ijës dhe në vithe. Në fazat e hershme dhimbja mund të jetë e referuar edhe në gjurin e të njëjtës anë. Dhimbja në ecje, është simptoma kryesore në koksartrozë; pacientët raportojnë se dhimbja acarohet në sforcim dhe qetësohet në pushim.
Klasik është një lloj "ngurtësimi mëngjesor" që ka tendencë për t’u përmirësuar gjatë gjithë ditës. Pacientët raportojnë një vështirësi të madhe për të veshur çorapet, një shenjë klasike e rigiditetit artikular.
Diagnoza: Vendoset nëpërmjet ekzaminimit klinik, ku mjeku vlerëson shkallën e lëvizjeve të artikulacionit koksofemoral, dhe konfirmohet me anë të radiografisë. Radiografitë duhet të kryhen me ngarkesë (në këmbë), dhe në dy projeksione (anteroposterior dhe aksial). Ndonjëherë mund të jetë e dobishme një tomografi aksiale e kompjuterizuar (CT-Skaner).
1) Konservative në fazat e para ku këshillohen medikamente, seanca fizioterapeutike dhe gjimnastikë pa ngarkesë (not, biçikletë). Me rëndimin e simptomave mund të aplikohen injeksione me preparate të acidit hyaluronik me efekte lubrifikimi lokal.
Në fazat e avancuara, bëhet i domosdoshëm operacioni i cili konsiston në zëvendësimin e artikulacionit me komponente artificiale të quajtura artroproteza.
Nëse pacienti është mbipeshë, këshillohet të dobësohet.
Proteza kokso-femorale
1. Në sistemin biologjik, proteza fiksohet në kockë përmes osteointegrimit, dmth, një ankorim natyral me formimin e kockës së re rreth dhe brenda mikroporoziteteve të materialeve protezike. Për këtë qëllim, vitet e fundit, implantet e përdorura janë të veshura në sipërfaqe me një shtresë hidroksiapatiti, një komponent i natyrshëm i kockave, qëllimi i të cilit është stimulimi i formimit të kockës.
2. Në protezën e çimentuar, komponentët e protezave ankorohen në kockë duke futur në kanalin e femurit dhe rreth komponentit acetabular një çimento të veçantë kockore. Në përgjithësi, proteza është një operacion rutinë, e cila përfshin rreth një javë shtrimi në klinikë, i ndjekur nga një program për rehabilitimin postoperator, i cili mund të kryhet në qendrat e specializuara ose në shtëpi me ndihmën e terapistit.
Ecja e asistuar lejohet pas 3 ditësh dhe për një periudhë disa javore mund të këshillohet mbajtja e patericave. Kontrollet periodike me radiografi vlerësuese do të bëhen pas një, tre, gjashtë muajsh dhe një viti. Me përmirësimin e materialeve të përdorura për prodhimin e protezave, jetëgjatësia e tyre zakonisht llogaritet në rreth 15/20 vjet, por ky afat varet natyrisht nga shumë faktorë.
Një protezë bën të mundur kryerjen e shumë aktiviteteve sportive, por me rrezikun që një ngjarje traumatike të minojë jetëgjatësinë.
Ç’ndodh përpara operacionit?
1. Pacientëve mund t’i përshkruhen ushtrime përpara operacionit, që të mundësohet shërim më i shpejtë post-operativ.
2. Duhet siguruar gjak para procedurës i cili mund të jetë dhurim autolog (nga vetë i sëmuri) disa javë para operacionit, ose i dhuruar prej të tjerëve,por qe duhet te jete izogrup dhe izorezus i përshtatshëm.
3. Bëhet vlerësimi i historisë së sëmundjes, duke u përqendruar në simptomat, nivelin e dhimbjes, ndërhyrjen e dhimbjes në aktivitetin e përditshëm, mjekimet e marra dhe alergjitë e ndryshme.
4. Ekzaminimet që mund të kërkohen janë:
grafia e artikulacionit që do operohet, grafia e mushkërive, EKG, analizat (gjaku komplet, PT-INR, urina komplet, ALT-AST, azoti, kreatinina) dhe, analiza tjera sipas situatës së pacientit.
5. Konsulta me anestezistin, me specialistë të tjerë në rast se ka sëmundje shoqëruese.
Ç’ndodh gjatë operacionit?
Artoplastika realizohet me anestezi që mund të jetë e përgjithshme ose spinale. Kjo përcaktohet nga artikulacioni ku do punohet, nga zgjatja e operacionit si dhe nga dëshirat dhe nevojat e pacientëve dhe e kirurgut që do të operojë.
Procedura vetë mund të zgjasë nga një orë deri në 4 orë, duke u varur nga artikulacioni ku po punohet dhe nga lloji artroplastiskës.
Pas operacionit
1. Pas procedurës menjëherë pacienti shtrohet në dhomën e zgjimit, derisa t’i dalë anestezia plotësisht (të zgjohet plotësisht).
2. Më pas shtrohet në dhomën ku do të qëndrojë 5-7 ditë.
3. Gjatë qëndrimit në spital jepen instruksione për limitimin e peshëmbajtjes, lëvizjeve dhe aktiviteteve, p.sh. pacientët që bëjnë protezë kokso-femorale instruktohen të mos përkulen përpara ose të mos kryqëzojnë këmbët.
4. Mund të përdoren pajisje për imobilizim artikulacioni (p.sh. splinte ose slinge), bëhen lëvizje të vazhdueshme pasive ose mbi vëzhgimin e fizioterapeutit ose nga pajisje të veçanta që bëjnë lëvizje të ngadalta të artikulacionit kur pacienti është i shtrirë.
5. Medikamentet që jepen:
a. Analgjetikët antinflamatorë jo steroidë përshkruhen për dhimbje
b. Antibiotikë për të parandaluar infeksionin
c. Antikoagulantë për të parandaluar trombozën e venave të thella si dhe çorape shtrënguese që përmirësojnë qarkullimin dhe ulin rrezikun e trombozave.
6. Fizioterapia fillohet që ditën 1-2 pas operacionit, në spital dhe vazhdohet në shtëpi. Pacienti inkurajohet të lëvizë me ndihmën e patericave (për artoplastinë e gjurit dhe këllkut) që ditën 1-2 pas operacionit. Ndërsa plaga operative shërohet, shtohet toleranca ndaj fizioterapisë. Zakonisht fizioterapia mund të vazhdojë me muaj pas artroplastisë.
Pacienti zakonisht mund të rifillojë disa aktivitete të përditshme pas 1 muaji ose 2 muajsh. Megjithatë në varësi të artikulacionit të trajtuar dhe artroplastikes, funksioni normal mesatarisht mund të arrihet 3-6 muaj pas operacionit.
I shëruar plotësisht pacienti quhet pas 9-12 muajsh. Aktivitetet “me ndikim të lartë” duhen evituar, sepse rritet rreziku për të dëmtuar protezën duke rritur stresin në artikulacion.
Përfitimet e protezës së kërdhokullave
Protezimi është një hap shumë i rëndësishëm për:
1. Heqja e dhimbjes
2. Rivendosja e funksionit
3. Korrektimi i defekteve të lindura
4. Rritja e kualitetin të jetës dhe rritja e komfortit
Këshillat:

Stili i jetesës pas protezës së kërdhokullave
Ditët e para, javët e para, muajt e parë…




























































