Diagnostikimi i hershëm i kancerit të gjirit, shpëton jetën!

Prof.dr. Emine Devolli DishaRadio-onkologe & ultrasonisteTel. 044 193 445
Çdo e 8-ta grua është e rrezikuar nga kanceri i gjirit. Edhe përkundër përparimit të diagnostikimit dhe terapisë, kanceri i gjirit është shkaktari më i shpeshtë i vdekjes te gratë e moshës 40-50 vjet.
Sa i përket morbiditetit dhe mortalitetit vjetor, kanceri i gjirit përben 32% të malignomave dhe është përgjegjëse për 15% te vdekjeve. Faktorët e rrezikut janë të shumtë. Shumicës së pacientëve të prekur nga karcinoma e gjirit, nuk iu është identifikuar asnjë faktor rreziku.
Faktorët e rrezikut ndryshojnë varësisht nga tipet dhe nëntipet biologjike të kancerit. Faktorët e rrezikut mund t’i ndajmë në faktorë të rrezikut të cilat nuk mund t’i ndryshojmë dhe në faktorë të rrezikut të cilat mund t’i kontrollojmë.
2. Mosha - Rreziku rritet me moshë. Incidenca është e ulët në moshën 20 vjeçare, rritet mbi moshën 30 e sidomos 40 vjeçare. Rritje drastike kemi mbi moshën 50 vjeçare, ku mbi 75% e grave të diagnostikuara me kancer të gjirit, janë mbi moshën 50 vjeçare.
3. Anamneza familjare pozitive - Të sëmurët nga kanceri i gjirit në 5-15% të rasteve kanë anamnezë familjare pozitive, përafërsisht mbi 85% të grave me kancer të gjirit kanë anamnezë familjare negative.
4. Anamneza personale - Gratë që janë mjekuar nga kanceri i njërit gji, janë 3-4 herë më të rrezikuar të fitojnë kancer diku tjetër (në gjirin tjetër rreth 6% të rasteve).
5. Rrezatimi në regjionin e gjoksit ka ndikim të dëmshëm nëse është bërë në periudhën e zhvillimit të gjinjve, në moshë të re.
6. Faktorët gjenetik - Mutacionet në gjenin BRCA1 ose BRCA2 e rrisin rrezikun nga kanceri i gjirit. BRCA1 dhe BRCA2 janë tumor supresor gjene që luajnë rol të rëndësishëm në riparimin e molekulës së ADN-së. Përafërsisht 10% e karcinomave familjare, janë të lidhura me mutacione në gjenin BRCA1 dhe BRCA2. Gjeni BRCA1 është i lokalizuar në kromozomin e 17. BRCA1 mutacionet trashëgohen në mënyrë autosome dominante dhe janë të përcjella me rritjen e rrezikut nga kanceri i gjirit në 56-85% te rasteve dhe me rritjen e rrezikut të kancerit të ovareve në 15-45% të rasteve. Gjeni BRCA2 është i lokalizuar në kromozomin e 13. Alterimet në gjenin BRCA2 janë të përcjella me rritjen e incidences së kancerit të gjirit të femrat dhe të meshkujt në 6% të rasteve, si dhe është i rritur edhe rreziku nga kanceri i ovareve, pankreasit, prostatës dhe melanomës.
7. Faktorët reproduktiv - Gratë që nuk kanë lindur, lindja e parë pas moshës 30 vjeçare, kanë 40% rrezik më të lartë të sëmurën nga kanceri i gjirit.
2. Ushtrimet - Disa studime tregojnë se femrat që ushtrojnë më tepër gjatë jetës, janë me pak të rrezikuara nga kanceri i gjirit. Studimet tjera tregojnë se ecja e shpejt 1-2.5 orë në javë, e redukton rrezikun nga kanceri i gjirit për 18%, si dhe ecja më tepër se 10 orë në javë e redukton edhe më tepër rrezikun nga kanceri i gjirit.
3. Gjidhënia më e gjatë se 12 muaj, e redukton rrezikun nga kanceri i gjirit, sepse gjate gjidhënies, niveli i estrogjenit është i ulët.
4. Përdorimi i alkoolit më tepër se 1 gotë në ditë, e rrit rrezikun nga kanceri i gjirit.
5. Përdorimi i terapisë plotësuese hormonale, sidomos të kombinuar estrogjen progesteron, e rrit rrezikun nga kanceri i gjirit.
6. Përdorimi i terapisë kontraceptive sipas disa studimeve, shkakton rritje të lehtë të rrezikut nga kanceri i gjirit. Lindja pas moshës 30 vjeçare e rrit rrezikun për kancer të gjirit.

Karcinoma dukale është forma më e shpesht, dhe më agresive e kancerit të gjirit. Ajo përbën rreth 78% të rasteve. Kur qelizat kanceroze depërtojë në membranën bazale dhe kalojnë në indin përreth, kemi stadin invaziv. Karcinoma duktale karakterizohet me përhapje multicentrike në 32% të rasteve.
Karcinoma lobulare invasive përbën rreth 5-11% të rasteve, karakterizohet me përhapje multicentrike 22-50% të rasteve. Mund të paraqitet njëkohësisht në të dy gjinjtë 14 - 46% të rasteve.
Llojet tjera të kancerit të gjirit janë: Karcinoma medulare përbën 5% të karcinomave invazive të gjirit. Karcinoma mucinoze përbën 1%-2%, karcinoma tubulare përbën 1-2% të karcinomave invazive të gjirit.
Morbus Paget- është formë e karcinomës duktale që përhapet në mamillë dhe areolën retromamilare, pastaj përfshinë lëkurën përreth gjirit. Paraqitet në 1-2% të rasteve, më shpesh te moshat e vjetra dhe në kohën e operimit shpesh janë prezente metastazat në 30-40% të rasteve.
Karcinoma inflamatore e gjirit përbën 1-3% të rasteve, është forma më agresive, karakterizohet me skuqje, ënjtje dhe lëkura ka dukjen si lëvorja e portokallit.

Si simptomë e kancerit të gjirit që më së shpeshti lajmërohet, është nodusi që nuk shkakton dhimbje. Varësisht prej stadit të sëmundjes, mund të jetë i lëvizshëm (në stadet e hershme) ose i fiksuar për bazë ose lëkurë.
Simptomë tjetër është sekrecioni me ngjyrë të kuqe nga mamilla, edhepse në 50% të rasteve shkaktohet si pasojë e ndërrimeve beninje intraduktale (papilloma), kurse 10% të rasteve, si pasojë e karcinomës. Simptomë tjetër është retrahimi i mamillës, retrahimi i lëkurës, rritja e gjëndrave limfatike në aksillë.
Çelësi i zbulimit të kancerit të gjirit është detektimi i hershëm. Çelësi i detektimit të hershëm është skriningu. Në metodat skrininge bënë pjesë: Vetëkontrollimi i gjinjve, ekzaminimi klinik, mamografia. Në metodat diagnostike bëjnë pjesë: Ultrazëri, mamografia, galaktografia, ekzaminimi citologjik (FNA biopsia, core needle biopsia), rezonanca magnetike, biopsia.
Edhepse kanceri i gjirit është shumë i rrallë në këtë moshë, vetëkontrollimet janë të nevojshme që të bëhen, sepse në këtë moshë mund të lajmërohen ndërrimet beninje, siç janë fibroadenomat që duhen operuar ose duhet mbajtur nën kontroll.
Njëherë në muaj duhet qëndruar para pasqyrës me duar të lëshuara poshtë, duke i ngritur ngadalë mbi kokë që të vërehet a janë gjinjtë simetrikë, mos vërehet ndonjë ndryshim në lëkurë, retrahim i mamillës, në shtrydhje të mamillës a rrjedh sekret me ngjyrë të tejdukshme, kafe apo të kuqe. Duhet patjetër të kontrollohen edhe regjionet aksillare.
Vetëkontrollimi bëhet në pozitë të shtrirë dhe në këmbë.
Sipas Shoqatës Amerikane për Kancer (ACS), duhet të bëhet: Çdo 3 vite te gratë e moshës 20-39 vjet; çdo vit te gratë e moshës mbi 40 vjet. Te pacientët e rrezikuar, ekzaminimi klinik rekomandohet të bëhet më shpesh. Arsyeja për ekzaminim klinik mund të jetë: dhimbja në gjinj, nodus në gjinj, sekrecion prej mamillës, inflamacioni i gjirit, rritja e gjëndrave limfatike në aksillë.
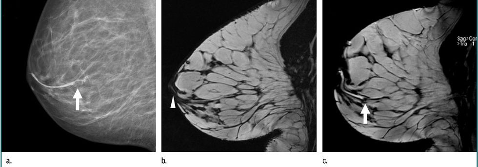
Mamografia është metodë diagnostike radiologjike, me të cilën mund të zbulohet kanceri i gjirit, mesatarisht 2 vite, para se gruaja me vetëkontroll ta palpon tumorin, andaj te gratë më të vjetra se 40 vjet, me aplikimin e mamografisë, mund të prevenohet 15-30% e vdekshmërisë nga kanceri i gjirit. Mamografia bëhet në dy drejtime: kraniokaudale dhe medio-laterale oblikve. Gjatë fotografimit, gjiri komprimohet me kompresor plastik, me ç’rast zvogëlohet trashësia e gjirit. Mbi gjinj është gypi i rëntgenit prej nga nëpër gjinj, kalojnë rrezet x të përshtatura trashësisë e dendësisë së tyre dhe regjistrojnë vizatimin e indit në filmin e rëntgenit të vendosur nën gjinj.
Ekzistojnë dy lloje të mamografisë: mamografia skrininge dhe mamografia diagnostike. Mamografia skrininge është ekzaminim i gjirit me rreze X te gratë që nuk kanë simptoma. Ka për qëllim zbulimin e kancerit të gjirit kur është me madhësi aq të vogël, sa që nuk mund të zbulohet me vetëkontroll ose me ekzaminim klinik.
Sipas Shoqatës Amerikane për Kancer (ACS), mamografia skrininge rekomandohet të bëhet çdo vit te gratë e moshës mbi 40 vjet. Te gratë me anamnezë familjare pozitive, rekomandohet të bëhet në moshën 30-35 vjeçare.
Mamografia diagnostike përdoret për zbulimin e kancerit të mundshëm në gjinj te gratë që kanë shenja ose simptoma të sëmundjes. Shenjat ose simptomat mund të jenë: nodusi palpabil në gjinj, sekrecion nga gjiri, retrakcion i mamillës, retrakcion i lëkurës ose ndonjë ndryshim tjetër në gjinj.
Tregues i rëndësishëm i kancerit të gjirit që vërehen me mamografi janë: mikrokalcifikatet që paraqiten në 20-25% të rasteve të kanceri i gjirit. Kur kemi sekret nga gjiri që sipas ngjyrës dhe ekzaminimit të citologut është vend i dyshimtë i pranisë së procesit patologjik në gjinj, duhet të bëhet galaktografia.
Ultrazëri i gjirit është metodë diagnostike radiologjike që nuk ka rrezatim jonizues. Bëhet me aplikimin e sondave me frekuencë të lartë prej 7-15 MHz. Me zhvillimin e aparaturës me rezolucion të lartë, sot mund të zbulohen malignomat e gjirit me diametër 4-5 mm. Me ultrazë bëhet diferencimi i cisteve dhe tumoreve solide, të cilat mund të zbulohen me diametër prej 4 mm.
Ultrazëri është metodë themelore diagnostike tek mosha e re, kur parenkima gjëndërore është e dendur; tek grat që nuk kanë lindur; shtatzënat; tek gratë në fazën e laktacionit, si dhe tek grat që marrin terapi plotësuese hormonale. Ultrazëri poashtu ka rëndësi në ekzaminimin e gjëndrave limfatike, muskujve pektoral me ç’rast mund të vërehet thellësia e infiltrimit të këtyre muskujve dhe strukturave tjera që ka rëndësi për planifikimin e intervenimit kirurgjik.
FNA (Fine needle biopsia- Biopsia) - Biopsia me gjilpërë të hollë rekomandohet te ekzaminimi i cisteve, te ekzaminimet e seromave dhe të punksioneve postoperative. Shumë rrallë bëhet për ekzaminimin e limfonodeve aksillare.
CNB (Core needle biopsia) – Biopsia me gjilpërë të gjerë ka rëndësi të posaçme për paraoperativën, për planifikimin e terapisë dhe tretmanin kirugjiko - onkologjik. Bëhet tek të gjitha tumoret, posaçërisht tek ato malinje. Nga tumori merren së paku 3 biopsi. Nga pjesët me mikrokalcifikate merren së paku 5 biopsi. Nëse CNB është e pamundur të bëhet me ultrazë, atëherë bëhet me mamografi stereotaktike. Poashtu bëhet edhe CNB e limfonodeve aksillare nëse kanë morfologji patologjike në ultrazë.
Rezonanca Magnetike (RM) rekomandohet si metodë skrininge tek gratë me predispozitë gjenetike – ndërrime në gjenin BRCA 1 dhe BRCA 2. RM është shumë e saktë në vlerësimin e përgjigjes së tumorit në kimioterapinë neoadjuvante dhe kimioterapinë primare si dhe në diferencimin në të mes tumorit të mbetur dhe fibrozës. RM ka rëndësi në diagnostikimin e karcinomës multicentrike në gjinj, diagnostikimin e përfshirjes së limfonodeve aksillare, diagnostikimin e dëmtimit të mundshëm nga radioterapia të fijeve nervore axillare etj.
RM luan rol të rëndësishëm në zbulimin e rupturave të implanteve të silikonit në gjinj te gratë që i janë nënshtruar intervenimeve kirurgjike kozmetike. Te më pak se 2% e pacientëve me limfonode palpabile në aksillë, mamografia dhe ultrazëri janë negative. Disa studime kanë treguar se RM mund të zbulojë kancerin, i cili nuk shihet në mamograf deri në 33% të pacientëve.
RM nuk duhet të përdoret si zëvendësim për mamografi, ultrazë dhe diagnozë histopatologjike. Nuk ka studime që vërtetojnë efikasitetin e RM si metodë skrininge në popullatën e përgjithshme. Jo të gjithë pacientët kanë përfitime nga RM. Në 8% të rasteve i nënshtrohen intervenimit kirurgjik për lezione të cilat janë ndërrime beninje. Kundërindikacionet për ta bërë RM janë: Pejsmejkeret kardiak, klipsat ferromagnetik te aneurismat intrakraniale, neurostimulatorët, implantet kohleare, implantet ferromagnetike, pajisjet elektronike.
PET-CT (Positron Emission Tomography - Computed Tomography) paraqet një kontribut të madh në diagnostikimin dhe monitorimin e rrjedhjes së sëmundjes dhe suksesin e trajtimit të pacientëve me kancer të gjirit. Mundëson zbulimin e ndërrimeve tumorale me madhësi rreth 5 mm. por jo në diagnozën e tumorit primar. Nuk përdoret si metodë skrininge për zbulimin e hershëm të kancerit të gjirit.
PET- CT është e rëndësishme për vlerësimin e sëmundjes pas diagnostikimit të kancerit të gjirit dhe atë, për të përcaktuar nëse kanceri është përhapur në nyjet limfatike dhe në pjesët tjera të trupit, për të vlerësuar nëse kanceri metastatik i gjirit është duke iu përgjigjur trajtimit. Ka rëndësi diagnostike te pacientët me tumor marker të ngritur.
Për zvogëlimin e vdekshmërisë nga kanceri i gjirit, duhet të bëhet edukimi shëndetësor i popullsisë dhe aplikimi i programit për zbulimin e hershëm të kancerit të gjirit; ekspozimi sa më i vogël ose largimi i plotë i faktorëve të rrezikut, me aplikimin e mënyrës së shëndosh të jetesës siç janë: mospirja e duhanit, ushqimi i rregullt, aktiviteti fizik, mbajtja e peshës normale të trupit, moskonsumimi i alkoolit, kontrollimi i stresit, largimi i eksponimit të tepërt ndaj burimeve të rrezatimit, diellit etj.
/Telegrafi/




























































