I këput arteria e qafës nga goditja e një vale të fuqishme - rasti parë i këtij lloji që u shënua ndonjëherë (Foto)

Qëndrimi në plazh do duhej të ishte qetësues, por kështu nuk i ndodhi edhe një turisteje të paemëruar, pushimi i së cilës në plazh pësoi një kthesë të papritur - si dhe e la në spital.
Pensionistja nga Irlanda që është në të 60-at, u godit nga një valë e fuqishme, që ia këputi një arterie në qafë, transmeton Telegrafi.
Mjekët e befasuar, e përshkruan rastin në një zhurnal mjekësor, sikur të parin e këtij lloji, që ka ndodhur ndonjëherë. Mbetet e panjohur, se ku ishte duke i kaluar pushimet.
Sapo të jetë mbuluar prej valës, turistja nisi të ketë dhimbje koke dhe qafe, si dhe turbullira, por nuk shkoi në spital.
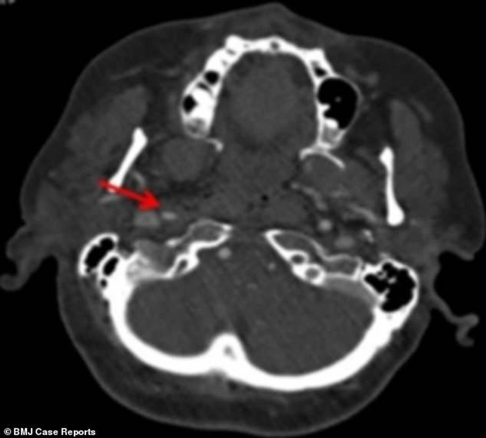
Vizitën e parë e bëri pas dy javësh, kur kapakët e syve po i mbylleshin vet, ndërsa njerëzit i shihte në forma dhe madhësi të ndryshme. Fotografimi me rreze X, ka treguar se i është shkëputur arteria që ia furnizon trurin me gjak dhe oksigjen.
Hulumtuesit po konsiderojnë simulimin e rastit, i cili besohet të jetë i vetmi deri më tani që është parë në literaturën mjekësore, për të buluar edhe ndonjë rrezik që përbën qëndrimi në bregdet. /Telegrafi/
























































