Ishte qëlluar me armë nga rusët, plumbi kishte shpuar qafën dhe kishte dalë nga nofulla – shpëton mrekullisht ukrainasi 16-vjeç

Një djalë nga Ukraina i cili u qëllua me armë nga afërsia gjatë pushtimit rus të vendit të tij – ka shpëtuar mrekullisht.
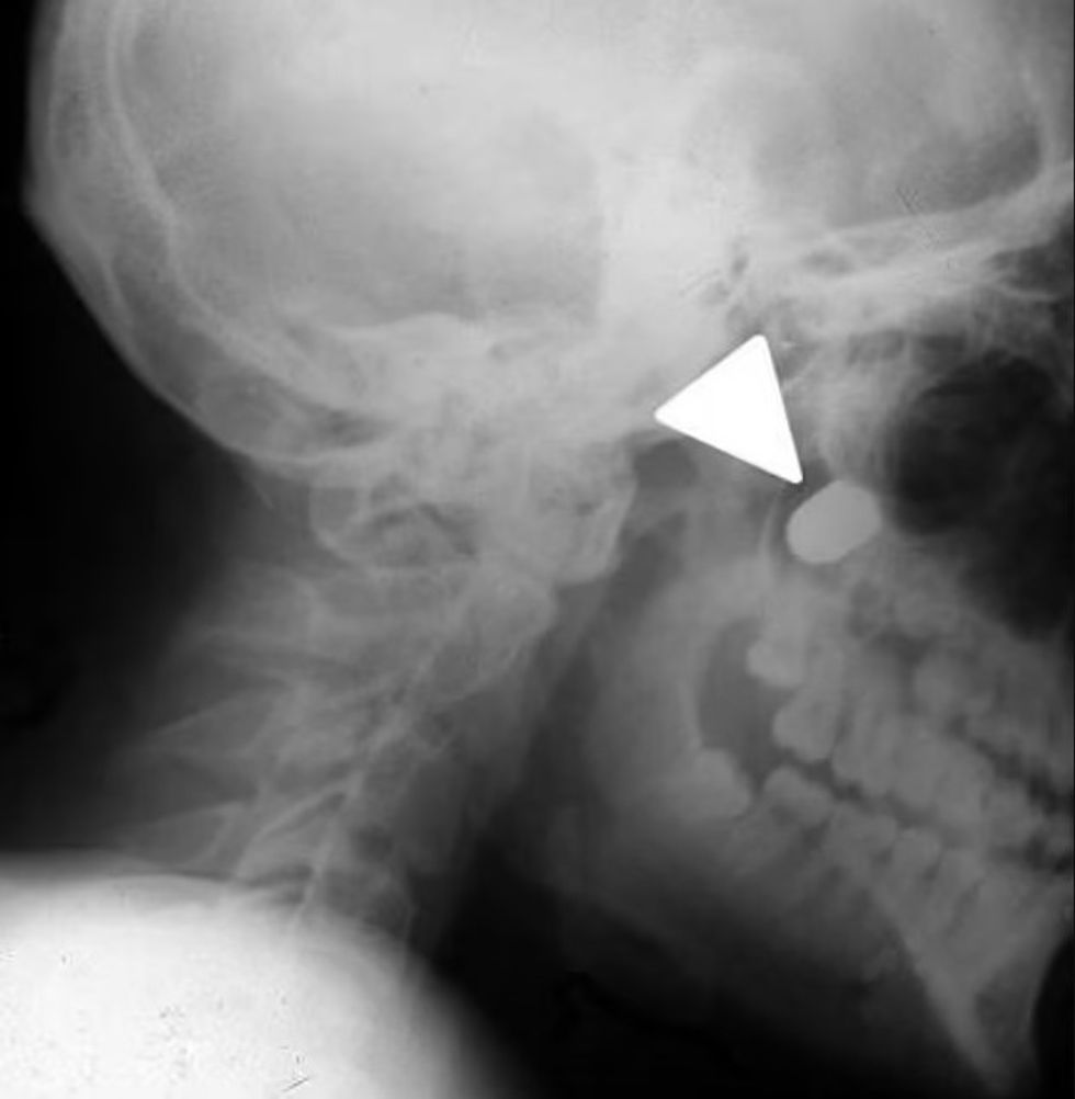
16-vjeçari, emri i të cilit nuk është zbuluar, ishte qëlluar me plumb pas kokës në stilin e ekzekutimit sovjetik – duke e gjuajtur me revole nga afërsi, transmeton Telegrafi.
E ky tentim ekzekutim, bëri që plumbi i kalibrit 9 milimetra të depërtojë në qafën e tij, të prek boshtin kurrizor dhe të del përmes nofullës.
Adoleshenti ishte dërguar në spital në qytetin Vinnytsia të Ukrainës, dhe mrekullisht ka arritur të rikuperohet plotësisht.
Historia e tij u publikuar në një artikull të revistës shkencore amerikane “American Journal of Case Reports”.
Fytyra e djalit ishte shpërfytyruar, kryesisht ana e majtë dhe qafa i ishte ënjtur dhe nuk mund të hapte plotësisht gojën apo të lëvizte kraharorin e majtë, kjo për shkak të lëndimit në boshtin kurrizor.
E gjykuar nga plaga 6 milimetërshe e plumbit, mjekët vlerësuan se ai ishte qëlluar nga një distancë prej 15 centimetra me revolen Makarov. /Telegrafi/

























































