Doktorët kinezë e largojnë gjilpërën 8 centimetërshe të akupunturës nga organi gjenital i një 11 vjeçari

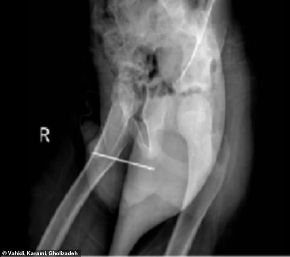
Doktorët mbetën pa fjalë pasi zbuluan një gjilpërë akupunture gjatë një skanimi me rreze X të penisit të një djaloshi.
Mjekët e bënë zbulimin e dhimbshëm pasi ata ekzaminuan pacientin 11 vjeçar i cili kishte vështirësi në urinim.
Në pamundësi për të shpjeguar dhimbjen e djalit, ai u dërgua në Spitalin e Fëmijëve Jiangxi në provincën Jiangxi në pjesën qendrore të Kinëa për një radiografi, transmeton Telegrafi.
Pas skenimit, doktorët u tronditën kur panë se një gjilpërë 8 centimetërshe ishte futur në penisin e tij dhe pastaj kishte shkuar deri në tubin e tij të fshikëzës, shkruan Daily Mail.
Pas marrjes në pyetje të djaloshit, ai e pranoi se e kishte futur vet gjilpërën në uretrën e tij për shkak se donte të zbulonte nëse mund ta bënte atë.
Kryemjeku, Rao Pinde, tha se djaloshi kishte futur gjilpërën 12 orë përpara se të shkonte te mjeku duke e bërë të paaftë të urinonte.
Kur penisi i tij u lëndua, ai kërkoi ndihmë, por nuk e pranoi atë që kishte bërë - ai u dërgua me urgjencë në operacion ku gjilpëra u hoq përmes një operacioni joinvaziv duke përdorur një endoskop që e gjeti gjilpërën.
Djaloshi më vonë u lejua të shkonte në shtëpi pas operacionit të tij. /Telegrafi/






















































