De Rossi lëshohet nga spitali, ku qëndroi nga 9 prilli pasi kishte zhvilluar pneumoni nga COVID-19

Ish-kapiteni i Romës, Daniele De Rossi, është lëshuar nga spitali Spallanzani të martën dhe do të vazhdojë shërimin në shtëpi.
Pjesëtari i stafit të kombëtares së Italisë ka qëndruar i hospitalizuar që nga 9 prilli si pasojë e infeksionit me coronavirus, prandaj largimi nga spitali është lajm i mirë.
La Gazzetta dello Sport njofton se ekzaminimet e reja mjekësore kanë rezultuar më mirë, ashtu që 37-vjeçari është lejuar të shkojë në shtëpi me ndihmën e ekipit mjekësor.

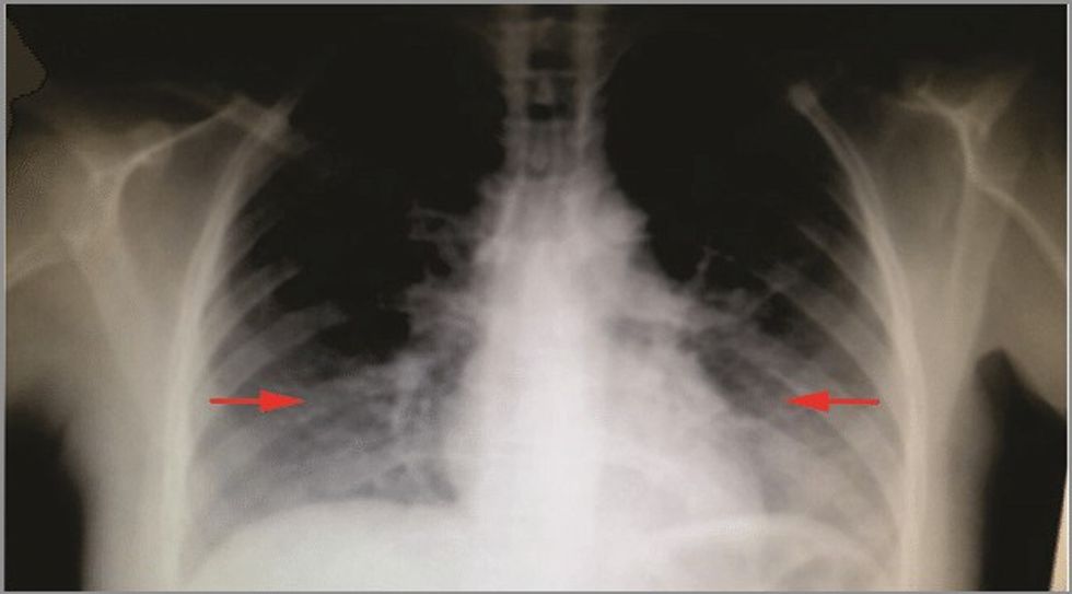
De Rossi do ta vazhdojë periudhën e shërimit në shtëpi, duke qenë se arsyeja e shtrirjes në spital ka qenë pneumonia bilaterale intersticiale si pasojë e infeksionit me COVID-19.
Pneumonia bilaterale intersticiale është një infeksion serioz që mund të shkaktojë inflamacion dhe cikatrizime në mushkëri.
Është një nga format e shumta të sëmundjeve intersticiale të mushkërive që përfshin indin përreth qeskave të vogla të ajrit (alveole) të mushkërive tuaja.

Këtë lloj pneumonie mund ta zhvilloni si pasojë e COVID-19. Format bilaterale të pneumonisë i përfshijnë të dy mushkëritë.
Me rastin e daljes nga spitali, ish-mesfushori italian i ka falënderuar mjekët dhe infermierët për kujdesin që kanë treguar ndaj tij. /Telegrafi/























































