Lemza e vazhdueshme mund të jetë simptomë e re e coronavirusit, paralajmërojnë mjekët

Mjekët kanë paralajmëruar se lemza e vazhdueshme mund të jetë një simptomë e re e mundshme e COVID-19.
Një raport i botuar në Gazetën Amerikane të Mjekësisë treguan rastin e një burri që rezultoi pozitiv me sëmundjen vdekjeprurëse pasi kishte lemzë për katër ditë, shkruan themirror.
Një 62-vjeçar nga Chicago, fillimisht nuk kishte treguar simptoma të tjera. Ai u pranua në spital dhe më pas u konstatua se kishte temperaturë prej 37.3C.
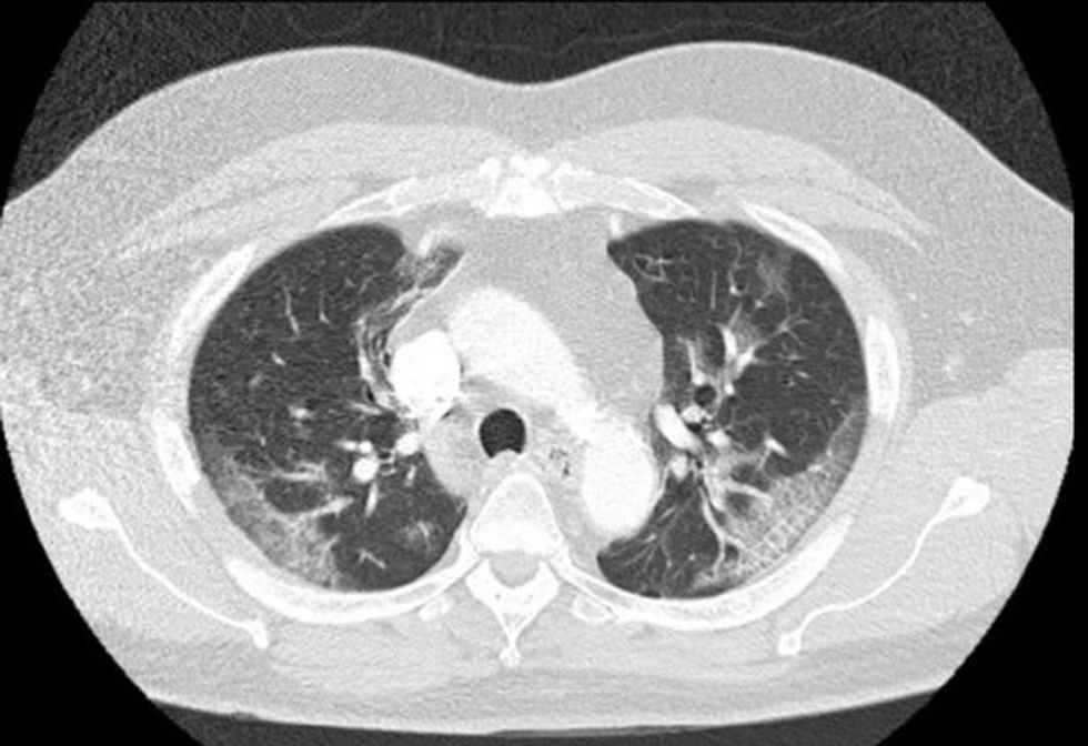
Por një skanim në mushkëri tregoi indikacionet se po luftonte me një sëmundje. Burri u vendos në një dhomë izolimi, ku u testua për coronavirus. Temperatura më vonë iu rrit në 38.4 grad celzius, transmeton Telegrafi.
"Këtu ne po paraqesim një rast të fshehjes së vazhdueshme të një simptome të infeksionit me COVID-19 tek një burrë 62-vjeçar”, njoftoi spitali i Chiccagos.
"Për njohurinë tonë, ky është rasti i parë i një simptome të re e të prekurit me COVID-19”, shkruan më tutje.
Kjo ka bërë që mjekët nga Cook County Health, Chicago, të konstatojnë se nuk duhet të përjashtuar edhe lemzën si simptomë të coronavirusit.
Ndryshe, Shumica e njerëzve mendojnë se lemza nganjëherë zgjat disa minuta. Zakonisht duhet të prisni që vetvetiu të largohet. /Telegrafi/






















































