Familja 14 anëtarëshe që ka nga gjashtë gishta, i urojnë mirëseardhje në këtë botë anëtarit më të ri të familjes që ka të njëjtin sindromë gjenetike (Foto/Video)

Një familje 14 anëtarëshe ku secili prej tyre ka lindur me nga gjashtë gishta në duar e këmbë, i kanë uruar mirëseardhjen në këtë botë anëtarit më të ri të familjes, i cili ka trashëguar të njëjtin “çrregullim” gjenetik.
Familja e pazakontë De Silva thonë se numri më i madh i gishtërinjve në duar dhe këmbë, u ka ndihmuar në shumë raste për të mirë, transmeton Telegrafi.
Alessandro i cili së fundmi është bërë baba i një djaloshi të vogël, thotë se është i lumtur që i biri i tij ka trashëguar gjenin me gjashtë gishtërinj.
“Kjo është një dëshmi që askush tjetër përpos familje tonë nuk mund t’i ketë nga gjashtë gishtërinj”, ka shtuar ai.
Alessandro ka gjashtë gishtërinj, derisa bashkëshortja e tij Katie vetëm pesë – që do të thotë se ekzistojnë vetëm 50 përqind të gjasave që fëmijët e tyre të kenë nga gjashtë gishtërinj.
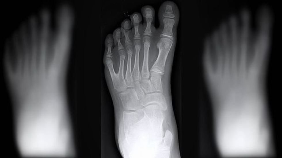
Ky sindrom gjenetik që i bën njerëzit të lindin me nga gjashtë gishtërinj në duar dhe këmbë quhet Polydactyly. Ajo prek një në një mijë persona, dhe për çudi në familjen De Silva ka prekur të gjithë. /Telegrafi/

































































