Nuk ishte i kënaqur me gjatësinë, 30-vjeçari nga Nju Jorku iu nënshtrua ndërhyrjes kirurgjikale për t’u “rritur” - nga 162 tani i ka 170 centimetra

Çdo vit qindra njerëz nëpër botë i nënshtrohen ndërhyrjeve kirurgjikale me shumë dhimbje, por së fundmi është bërë trend që një gjë të tillë ta bëjnë që t’i zgjatin këmbët - me qëllim që të duken për disa centimetra më të gjatë, shkruan BBC.
Por procedura komplekse nuk është pa rreziqe, dhe për këtë ekspertët e kësaj fushe pretendojnë se disa prej tyre po kanë për një kohë të gjatë probleme të shumta, transmeton Telegrafi.
Sam Becker ishte fëmija më i gjatë në fillim të shkollës së mesme, por deri në përfundim të vitit të katërt bashkëmoshatarët e kaluan.
“Kur shkova në kolegj, e vërejta se isha më i shkurtër se shumica e djemve dhe vajzave. Kjo padyshim se ndikon në jetën tuaj. Sinqerisht, femrat në përgjithësi nuk dalin me djem që janë më të shkurtër se ato. Gjëja më e vështirë nganjëherë është ndjenja se kurrë nuk do të jeni në gjendje të gjeni një grua”, ka thënë Becker
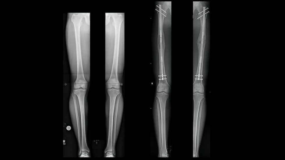
Sam, tani 30-vjeç nga Nju Jorku, shpresonte se mund të rritej ende, pavarësisht se thellë ne zemër e dinte se ka arritur moshën e adoleshencës dhe nuk kishte më gjasa.
“Gjithmonë mendoja se të qenit i gjatë dhe i suksesshëm kanë lidhje me njëra-tjetrën. Kështu vendosa të marrë një vendim”, ka shtuar ky i ri.
Vendosi të shtrihet në spital që ta zgjidh këtë problem në shtratin e sallës së operacionit - në vitin 2015 nga 162 centimetra sa i kishte, arriti të bëhet 170 centimetra falë ndërhyrjes kirurgjikale.
“Në takimin e parë, mjeku ma bëri të qartë se sa i vështirë do të jetë operacioni. Brengosesha se çfarë mund të bëja me ato centimetra të fituara. A do te jem sërish në gjendje të eci? A do të jem në gjendje sërish të vrapojë?”, ka thënë ndër tjera ky i ri nga SHBA-të.
“Pas operacionit isha në terapi fizikale ndoshta nga tre ose katër herë në javë për disa orë në ditë. Këtë e praktikova ndoshta për gjashtë muaj. Ishte një përvojë shumë sfiduese. Duket si ndërhyrje kozmetike, por për mua ishte diçka më shumë”, tha Sam.
Zgjatja e këmbëve përmes ndërhyrjeve kirurgjikale mund të kryhet në dhjetëra shtete, ku disa pacientë madje arrijnë të rriten për 13 centimetra. Derisa është e vështirë të thuhet se sa njerëz në vit i nënshtrohen ndërhyrjeve të tilla, klinikat po fitojnë çdo ditë e më shumë popullaritet.
Një ndërhyrje e tillë ka edhe kosto të lartë, varësisht nga vendi se ku kryhet - nga 75 mijë deri në 280 mijë dollarë. /Telegrafi/























































