Çfarë duhet të dijnë për shëndetin oral pacientët që duhet t’i nënshtrohen trajtimit onkologjik?

Nga zbulimi i sëmundjes malinje deri tek shërimi, është një udhëtim i gjatë dhe i dhimbshëm që prek jo vetëm pacientin, por edhe familjen dhe shoqërinë Ass.Dr.Sci. Visar Disha, Protetikë Stomatologjike +38344559287
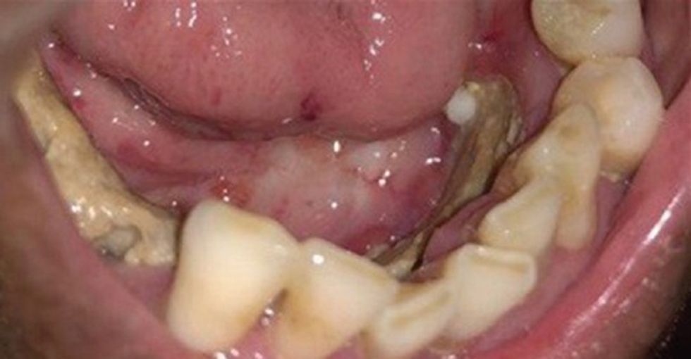
Rrezatimi i kokës dhe qafës, si dhe kimioterapia, mund të kenë efekte serioze në shëndetin e zgavrës së gojës.
Meqenëse ndryshimet në zgavrën e gojës mund të komplikojnë gjendjen shëndetësore të pacientit në mënyrë të konsiderueshme, të vonojnë trajtimin si dhe shpesh mund të jenë edhe arsyeja e ndërprerjes së trajtimit, stomatologu si pjesë e një ekipi multidisiplinar mund të jetë i një rëndësie parësore për shëndetin oral të pacientëve në rrezatim.

Barërat e përdorura në kimioterapi, nuk veprojnë në mënyrë selektive vetëm në qelizat malinje, ato përveç në qelizat malinje ndikojnë edhe në qelizat e shëndosha, duke përfshirë edhe qelizat e mukozës orale.
Komplikimet orale ndodhin në forma dhe shkallë të ndryshme. Disa ndodhin gjatë trajtimit, të tjerat pas disa viteve. Fatkeqësisht, të sëmurët me kancer shpesh nuk marrin kujdes adekuat të dhëmbëve derisa të shfaqen ndryshime serioze.
Komplikimi më i zakonshëm i rrezatimit është tharja e gojës - kserostomia
Tharja e gojës paraqitet si rezultat i mosfunksionimit të gjëndrave të pështymës si efekt anësor nga rrezatimi. Sekretimi i zvogëluar ose mos sekretimi i pështymës çon në lagështi të pamjaftueshme të mukozave, dhe si pasojë e kësaj kemi të folurit, përtypje dhe gëlltitje të vështirësuar. Pasiqë pështyma luan një rol të rëndësishëm imunitar, goja e thatë në mënyrë kronike, e rritë rrezikun për karies të dhëmbëve dhe për ndryshime inflamatore në mukozën orale, si dhe për infeksione sistemike.
Këto ndryshime mund të pengojnë funksionin normal të zgavrës së gojës dhe të çojnë në çrregullime të ngrënies që shkakton kequshqyerje duke komprometuar edhe më tej gjendjen tashmë të dobët shëndetësore të pacientit.

Ndryshimet inflamatore dhe ulcerative të mukozës orale rezultojnë me ndjeshmëri të mukozës, dhimbje, infeksione lokale ose sistemike dhe vështirësi në përtypje, gëlltitje, të folur dhe në tretjen e ushqimit.
Trizmusi
Trizmusi është vështirësia në hapjen e gojës, si pasojë e fibrozës së muskujve të përtypjes nga rrezatimi, që pamundëson mbajtjen e higjienës orale, të folurit dhe ngrënien e ushqimit.
Infeksionet
Infeksionet virale, bakteriale dhe kërpurdhore që shkaktohen nga imunosupresioni, mukoziti dhe kserostomia.
Ndryshimet në ndjesinë e shijes
Mund të jenë nga shija e pakëndshme deri në humbjen e plotë të shijes, ndjenja e djegies së zgavrës së gojës, e cila është një reagim i hershëm ndaj rrezatimit.
Kariesi
Kariesi pas rrezatimit ndodh kryesisht si rezultat i tharjes së gojës dhe ndryshimeve cilësore në përbërjen e pështymës.

Dëmtimi i qelizave endoteliale çonë në ulje të rrjedhës së gjakut në kocka dhe rrjedhimisht shpie te nekroza e kockës, më së shpeshti prek nofullën e poshtme.
Terapia me bifosfonate
Terapia me bifosfonate luan rol në parandalimin e komplikimeve skeletore që mund të ndodhin tek mieloma multiple, kanceri i gjirit, kanceri i prostatës, si dhe metastazat kockore .
Para se pacienti të fillojë terapinë me bifosfonate, duhet të bëjë një vizitë te stomatologu, t’i trajtojë dhëmbët me probleme, të kryejë ekstraksionet e nevojshme dhe të këshillohet se si të ruajë higjienën orale. Më pas mund t’i fillohet terapia me bifosfonate, me një rrezik më të ulët për të zhvilluar osteonekrozë mandibullare ose maksillare.
Në rastin e një risku të ulët për osteonekrozë, pacientit i këshillohet vetëm një higjienë e mirë orale dhe sa herë të vizitohet te stomatologu t’i tregojë për terapinë që është duke përdorë.
Në rastin e një risku të mesëm për krijimin e osteonekrozës , duhet marrë në konsideratë profilaksa me antibiotikë përpara dhe pas çdo procedure dentare, nëse e sheh të arsyeshme stomatologu. Në rastin e riskut të lartë për osteonekrozë është e detyrueshme profilaksa me antibiotikë para dhe pas një procedure dentare si dhe kontrolli i vazhdueshëm te stomatologu.
Çfarë mund të bëjmë për të përmirësuar shëndetin oral?
Para fillimit të trajtimit me rrezatim, rekomandohet patjetër një vizitë tek stomatologu dhe një ekzaminim i plotë i dhëmbëve dhe kavitetit oral të paktën tre javë para fillimit të rrezatimit. Në këtë mënyrë minimizohet rreziku nga shkaktimi i osteoradionekrozës duke eleminuar nevojën për nxjerrjen e dhëmbëve pas rrezatimit poashtu duhet të bëni korrigjimin e protezave dentare nëse nuk janë të përshtatshme dhe sanimin e dhëmbëve të prishur.

Shpërlani gojën çdo dy orë me tretje uji të ngrohtë me kripë dhe sode buke (1 lugë çaji kripë + 1 lugë çaji sode buke dhe 1 l ujë); kjo përgatitje mund të lehtësojë ndjesinë e thatësisë ose djegies së gojës.
• Përdorimi i perit dental •
Përdorni të paktën një herë në ditë perin dental. Përdorni tretësirë anestetike të lidokainës përpara përdorimit të perit dental, nëse është e nevojshme.
• Larja e dhëmbëve •
Përdorni tretësirë anestetike të lidokainës përpara se të lani dhëmbët tuaj, përdorni brushë me fije të buta, pastroni dhëmbët tuaj butësisht pasi të keni ngrënë dhe para gjumit.
• Splintet dentare •
Çdo të dytën ditë pasi të keni larë dhëmbët aplikoni xhelin e fluorizimit mbi splintin e përgatitur nga stomatologu juaj. Mbajini splintin në gojën tuaj për të paktën gjysmë ore dhe pastaj mos e shpëlani gojën për gjysmë ore. Ky splint ofron mbrojtje ndaj kariesit, remineralizim të dhëmbëve dhe forcimin e smaltit dhe dentinës.
• Tharja e gojës •
Stimuloni sekretimin e pështymës me çamçakëzë ose bonbone pa sheqer. Përdorni preparate të pështymës artificiale sipas nevojës, pini sasi të vogla lëngu çdo 10 minuta, mbani kubëza akulli në gojë. Lyeni buzët pesë deri në gjashtë herë në ditë me krem vitaminoze. Shmangni produktet e higjienës orale që përmbajnë alkool pasi ato e thajnë dhe e irritojnë mukozën orale.
• Ushtrimet për muskujt e përtypjes •
Për të parandaluar trizmusin, ushtroni muskujt e nofullës tri herë në ditë duke hapur dhe mbyllur gojën, për njëzet përsëritje. Me ushtrime të vazhdueshme që nga fillimi i terapisë me rrezatim, është e mundur të parandaloni trizmusin, ose të paktën të ngadalësoni përparimin e tij. Stomatologu juaj do t'ju mësojë teknikat e duhura të ushtrimeve.
• Higjiena e protezave dentare •
Pastroni protezat pas ngrënies dhe para gjumit. Vendosni protezat në tretësirën e pastrimit për të paktën 8 orë. Nëse jeni duke përdorur barëra kundër infeksionit të kërpudhave në gojë, vendosni protezën dentare në tretësirën e këtij bari.

Secili pacient që duhet t’i nënshtrohet trajtimit me rrezatim duhet të bëjë patjetër një vizitë te stomatologu para rrezatimit.
Pas përfundimit të rrezatimit një herë në tre muaj, gjeni kohë për shëndetin tuaj oral dhe vizitoni stomatogun tuaj. /Telegrafi/





















































