Specialistja publikon fotografitë e rëntgenit – dallimi ndërmjet mushkërive të atyre që konsumojnë duhan dhe atyre të prekur nga COVID-19

Incizimet përmes rrezeve X në mushkëritë e pacientëve të shëruar nga COVID-19 tregojnë dëmtime që janë ‘shumë më të këqija’ sesa ata që kanë pirë duhan për vite.
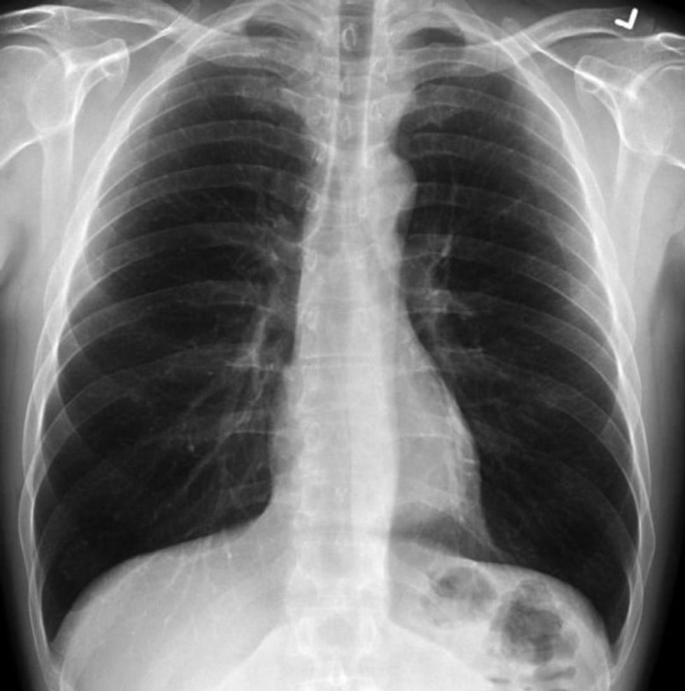
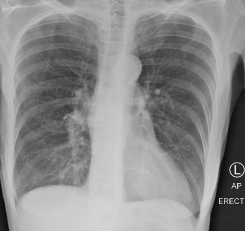
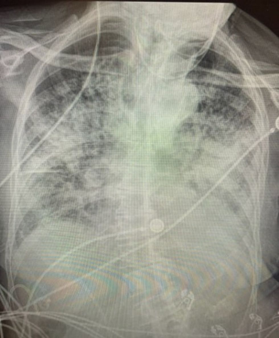
Kështu së paku thotë Dr Brittany Bankhead-Kendall, një asistent-profesoreshë në Tech University Health Sciences Center në Teksas, ka ndarë fotografi të rrezeve X - për të treguar kontrastin, përcjell Telegrafi.

Ajo tha se mushkëritë e njerëzve që kanë pasur coronavirus mund të jenë pothuajse “plotësisht të bardha”.
Në anën tjetër, mushkëritë e duhanpirësve janë më të mjegullt dhe tregojnë më pak dëme, madje edhe në mesin e atyre që kanë pirë duhan për vite, tha Dr Bankhead-Kendall.
Ajo shtoi se mushkëritë e të prekurve nga COVID-19 mund të ‘shemben’ dhe ‘mpiksen’ dhe gulçimi ‘mund të vazhdojë edhe më tej’.

Dr Bankhead-Kendall i tha CBS DFW se ndërsa mjekët janë përqendruar në mbajtjen e njerëzve gjallë, efektet afatgjata të sëmundjes nuk janë kuptuar mirë, shkruajnë mediat e huaja, përcjell Telegrafi.
Ajo tha: ‘Të gjithë janë aq shumë të shqetësuar për vdekshmërinë dhe kjo është e tmerrshme’.

‘Por njeriu, dhe të gjithë të mbijetuarit dhe njerëzit që kanë dalë pozitivë - do të jetë një problem'.
Ndërsa u shfaq në CBS DFW, mjeku ndau tre imazhe të rrezeve X: një nga një pacient i shëndetshëm, një nga një duhanpirës dhe një tjetër nga një pacient me COVID-19. /Telegrafi/





















































