Sëmundjet e parodonciumit, mukozave orale dhe roli i vitaminës D

Dr.Tefta Mjekiqi- BislimiSpecialiste e Parodontologjisë dhe Mjekësisë Orale dhe Dentistrisë estetiketel. +383 49 153 454
Sëmundjet parodontale janë sëmundje inflamatore të shkaktuara nga pllakat bakteriale dentogingivale dhe nëse nuk trajtohen, shkaktojnë shkatërrim progresiv të indeve periodontale (shtratit të dhëmbëve), duke çuar përfundimisht në humbjen e dhëmbëve.
Shkaku më i shpeshtë i krijimit të sëmundjeve parodonale është pllaku bakterial i cili krijohet si rezultat i higjienës së dobët orale e poashtu edhe nga vlerat e ulëta të vitaminës D në organizmin e njeriut.
Mungesa e vitaminës D e zvogëlon mundësinë e përthithjes së kalciumit, magnezit dhe fosforit, minerale këto të cilat luajnë rol në ndërtimin e eshtrave të trupit dhe strukturës së dhëmbëve.
Mungesa e vitaminës D shkakton demineralizim të strukturës së dhëmbëve, gjë që mundëson terren të përshtatshëm për zhvillimin e kariesit të dhëmbëve (prishjes së dhëmbëve).
Vitamina D është pjesë përbërëse e organizmit të njeriut, e cila luan rol të rëndësishëm në zhvillimin e eshtrave dhe dhëmbëve, ruajtjen dhe ngritjen e forcës imunitare për t’i rezistuar sëmundjeve të ndryshme dhe për funksionimin e sistemin hormonal të organizmit të njeriut.
Sot statistikat tregojnë se një numër i madh i njerëzve në mbarë globin vuajnë nga shumë probleme shëndetësore si pasojë e mungesës së vitaminës D. E gjithë kjo po ndodh si rezultat i një jete dinamike dhe e bërë kryesisht në hapësira të mbyllura (zyre, salla sportive, shkolla, etj.).
Vitamina D, poashtu luan rol të veçantë tek sëmundjet e shtratit të dhëmbit (parodonciumit), ku mungesa e saj mund të sjell deri tek luhatja dhe humbja e dhëmbëve si pasojë e humbjes së masës kockore të të dy nofullave.
Shumë pacientë të cilët kanë një higjienë të mirë orale dhe tek të cilët nuk kemi predispozita gjenetike për zhvillim të parodontopatisë, por edhe që nuk janë diagnostikuar me ndonjë sëmundje sistemike (sëmundje të gjëndrës tiroide, sëmundje të gjakut, etj.), por që kanë humbje të masës kockore (ashtërore) në të dy nofullat, atëherë duhet analizuar vlerat e vitaminës D.
Dallimi mes strukturës së shëndoshë të dhëmbëve dhe dëmtimi i strukturës së tyre nga mungesa e vitaminës D
Mungesa e vitaminës D, përveç çrregullimeve të përgjithshme që shkakton në organizmin e njeriut, ajo mund të na sjellë edhe deri tek shumë ndryshime në hapësirën orale.
Shkaqet më të shpeshta që sjellin deri tek mungesa e vitaminës D janë:
▪ Ekspozimi shumë i ulët ndaj diellit, i cili nuk arrin të krijojë depo adekuate brenda trupit të njeriut
▪ Shumë njerëz sot kryesisht bëjnë jetë në ambiente të mbyllura duke pamundësuar që të qëndrojnë një kohë optimale në prani të rrezeve të diellit.
▪ Shkaktar tjetër i cili ndikon në mungesën e vitaminës D është stili i të ushqyerit jocilësor.
Simptomat që shfaqen në hapësirën orale nga mungesa e vitaminës D janë:
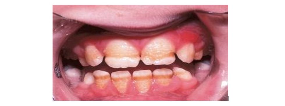
▪ Kariesi apo prishja e dhëmbëve ndodh brenda një afati kohor shumë të shpejtë dhe të shkurtër, ku struktura e dhëmbëve është e brishtë dhe e demineralizuar.
▪ Dhëmbët kanë strukturë të dobët, që thyhen lehtësisht apo krijohet derdhje e strukturës së tyre, e cila pastaj është teren i përshtatshëm për retencion dhe atakim nga kariesi dhe sëmundjet gingivale e parodontale (sëmundjet e mishrave dhe shtratit të dhëmbit).
▪ Dhëmbët duken të plasaritur, kjo mundëson thyerje të lehtë të tyre.
▪ Kockat e të dy nofullave resorbohen (zvogëlohen - harxhohen), gjë që mund të sjell deri te humbja e dhëmbëve.
▪ Personat me mungesë të vitaminës D, kanë mukozë të thatë të gojë, ndjenjë të thatësisë si dhe sekretim të zvogëluar të gjëndrave pështymore; kjo sjell ndryshime në florën normale të gojës dhe atakim nga infeksionet e ndryshme virale, bakteriale dhe mykotike (kërpudhore).
Si ta kompensojmë vitaminën D?
Sasia e nevojshme ditore e vitamines D mund të arrihet nëse çdo ditë qëndrojmë nën rrezet e diellit në kohëzgjatje për 15-30 minuta, duke ekspozuar një pjesë të lëkurës që të arrihet absorbimi i dëshirueshëm.
Fëmijët duhet që çdo ditë të eksponohen në diell së paku 15 min dhe atë gjithsesi në periudhën para orës 12 të paradites, në mënyrë që rrezet e diellit të mos jenë të theksuara për dëmtime të lëkurës (djegie).
Gjithmonë, së pari duhet të konsultoheni me dentistët specialist dhe të vlerësohet gjendja e hapësirës orale si: gjendja e dhëmbëve, mukozat orale, gjendja e mishrave të dhëmbëve, vlerësimi i gjendjes së parodonciumit dhe kockës së të dy nofullave nga specialistët parodontolog dhe të mjekësisë orale.
Është shumë me rëndësi që dieta ushqimore të jetë e pasur me sasi të nevojshme të vitaminës D.
Ushqimet e pasura me vitamine D që duhet konsumuar janë:
Ushqimet nga deti janë shumë të pasura me vitaminë D, si vaji i mëlçisë së merlucit, salmoni, sardelet, peshku ton, guacat, etj.
Por edhe disa ushqime nga përditshmëria jonë janë të pasura me vitamine D, si lëngu i portokallit i fortifikuar me vitaminë D, qumështi dhe qumështi i drithërave, e kuqja e vezës, drithërat, kërpudhat, etj.
Në rastet kur vlerat e vitaminës D janë të ulëta dhe është e pamundur që ato të plotësohen vetëm nga dielli dhe ushqimi, duhet të konsultoheni me profesionistët shëndetësor që të kompensohet sasia e nevojshme ditore me anë të suplementeve shtesë të vitaminës D.
Për të pasur dhëmbë, hapësirë orale, mukozë orale të shëndetshme, por edhe organizmin në përgjithësi, duhet te krijojmë një stil cilësor dhe ushqyeshmëri të shëndetshme, e cila na mundëson të gëzojmë shëndet të mirë e me një buzëqeshje plot jetë! /Telegrafi/



























































