Shkencëtarët në gjurmë të shkaktarit? Janë zbuluar ndryshime misterioze në trurin e njerëzve që vuajnë nga migrena

Shkencëtarët kanë gjetur gjurmë për të cilat besohet që do të mund të ndihmojnë në zbulimin e shkaktarit të migrenës
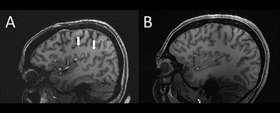
Neurologët me ndihmën e rezonancës magnetike të rezolucionit ultra të lartë kanë zbuluar që hapësirat perivaskulare – hapësira të mbushura me lëng midis enëve të gjakut dhe trurit - në mënyrë të pazakonshme janë rritur te pacientët të cilët kanë migrenë kronike dhe herëpashershme.
Edhe pse kjo lidhje apo rol ende nuk është shqyrtuar më në detaje, sipas tyre, ky zbulim mund të përfaqësojë një udhërrëfyes të mirë për kërkimet e ardhshme, transmeton Telegrafi.
“Te njerëzit me migrenë kronike apo episodike, ekzistojnë ndryshime të konsiderueshme në hapësirat perivaskulare, domethënë në regjionin e trurit i cili quhet centrum simiovale”, thotë shkencëtari Wilson Xu i Universitetit të Kalifornisë Jugore në Los Angeles.
Krahas dhembjes së tmerrshme të kokës, migrena gjithashtu mund të shkaktojë edhe marramendje, dëmtim të shikimit, fotisensitivitet dhe krupë që çojnë në të vjella. Deri më sot, shkaku i shfaqjes së saj nuk dihet, megjithëse prek rreth 10 për qind të popullsisë. Me fjalë të tjera, gjetja e shkakut dhe strategjitë më efektive të menaxhimit do të përmirësonte jetën e miliona njerëzve.
Për qëllimet e studimit të tyre, Xu dhe kolegët e tij vendosën të ekzaminojnë 20 pacientë të cilët kanë migrenë, të moshës 25 deri në 60 vjeç - 10 që kanë migrenë kronike dhe pjesa tjetër që vuajnë nga migrena të herëpashershme. Përveç tyre, si grup kontrolli janë përfshirë edhe 5 pacientë të tjerë të shëndetshëm që nuk kanë asnjë problem shëndetësor. Më pas ata kryen skanime MRI që treguan se hapësirat perivaskulare në centrum semiovale të pacientëve me migrenë ishin zgjeruar ndjeshëm në krahasim me grupin e kontrollit.
Me atë rast, u zbulua gjithashtu se kishte një ndryshim në shpërndarjen e lezionit të njohur si hiperintensitet i lëndës së bardhë - njolla të vogla të indeve të vdekura ose pjesërisht të vdekura të shkaktuara nga rrjedhja e reduktuar e gjakut, të cilat konsiderohen si një fenomen normal.
Gjithashtu, është vërejtur se nuk ka dallim në frekuencë mes subjekteve, por thellësia e lezioneve është më e madhe te personat me migrenë. Studiuesit besojnë se kjo tregon se hapësirat e zgjeruara perivaskulare çojnë në formimin e gropave më të mëdha.
Megjithëse natyra e lidhjes midis hapësirave perivaskulare të zgjeruara dhe migrenës mbetet e paqartë, rezultatet sugjerojnë se ajo vjen nga problemet me sistemin glimpfatik përgjegjës për heqjen e mbetjeve nga truri dhe sistemi nervor, i cili përdor kanalet perivaskulare për transport.
Përfundimi i shkencëtarëve është se këto zbulime mund të na ndihmojnë të zhvillojmë mënyra të reja dhe të personalizuara për të diagnostikuar dhe trajtuar migrenën. /Telegrafi/






















































