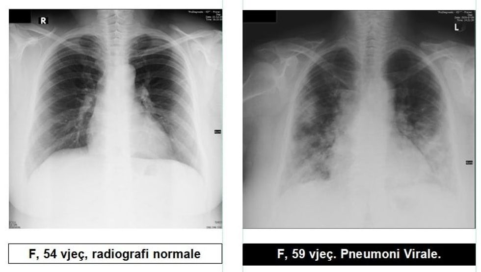
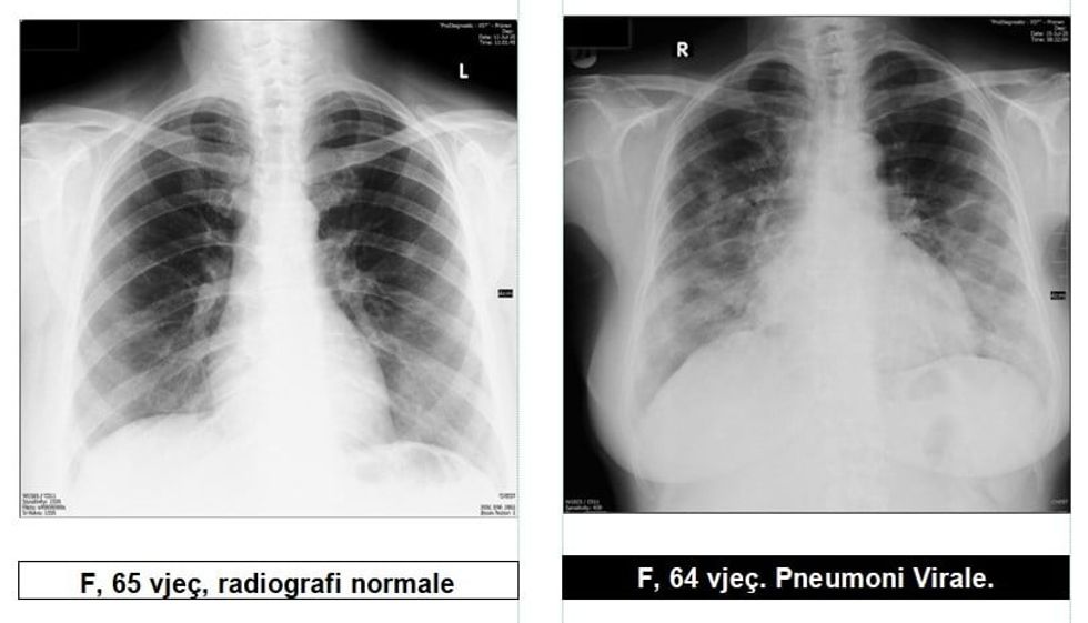
Radiologu Krasniqi tregon pamjet e mushkërive të pacientëve me COVID-19: Virus ka, pandemi ka dhe situata nuk është e mirë

Radiologu në Spitalin Rajonal të Prizrenit, Sylejman Krasniqi tregon pamjet e mushkërive të pacientëve me pneumoni virale.
Krasniqi më anë të një shkrimi në Facebook, thotë se virusi COVID-19 ekziston dhe se situata nuk është e mirë.
“Për te gjithë ata që maskat i kane veç si dekorim, për ata që distancën sociale e kanë diçka të huaj dhe për të gjithë ata që nuk i respektojnë këshillat e institucioneve relevante Shëndetësore, këto imazhe le të ju shërbejnë që ta kuptoni se megjithatë virus ka, pandemi ka dhe situata nuk është e mirë”, ka shkruar Krasniqi, përcjell Telegrafi.
Ai thotë se përgjegjësia e secilit nga ne është individuale.
Sipas Institutit Kombëtar të Shëndetësisë Publike të Kosovës, numri i rasteve aktive ka shkuar në 2 mijë e 995. Numri total i rasteve pozitive në Kosovë ka arritur në 6 mijë e 917 që nga 13 marsi kur u konfirmuan rastet e para.
Kurse deri më tani, 169 persona e kanë humbur betejën me COVID-19 në Kosovë. /Telegrafi/



























































