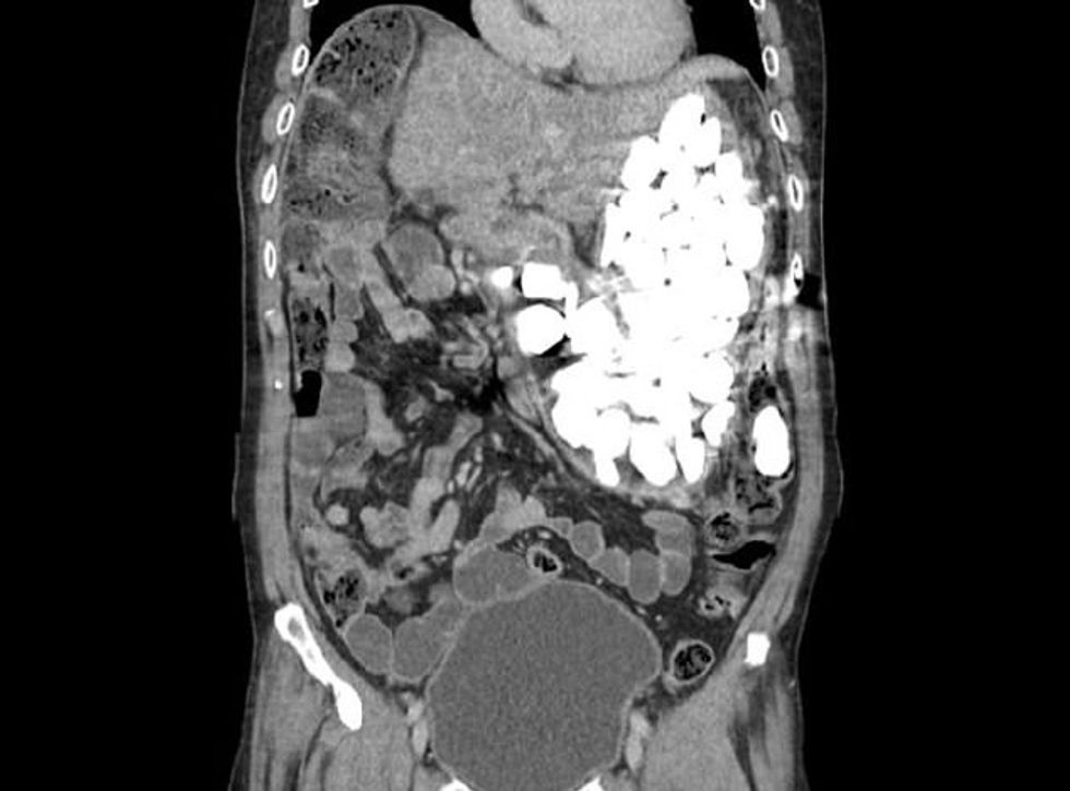
Mjekët i nxorën nga barku masën prej dy kilogramëve, gurët dhe disa objekte iu grumbulluan pasi i përpiu për një kohë të gjatë (Foto)

Nëpërmjet intervenimit kirurgjik, mjekët e një spitali në Korenë e Jugut ia kanë nxjerrë nga barku një pacienti, masën prej dy kilogramëve.
Gurë, kapakë të shisheve dhe disa objekte tjera, janë gjetur në barkun e 54-vjeçarit, pasi i kishte përpirë për një kohë të gjatë, në përpjekje që ta ndalonte ankthin dhe depresionin, transmeton Telegrafi.
Trupi tij e ka pasur të pamundur t’i tretë këto objekte të forta, duke i shkaktuar dhimbje të mëdha dhe mungesë energjie, sepse ishte gjithnjë i fryrë dhe nuk mund të ushqehej si duhej.
Fillimisht, u provua që gurët t’i largohen me gastroskopi, por sasia ishte aq e madhe, sa që u pamundësua përdorja e kësaj teknike.
Intervenimi kirurgjik ka përfunduar me sukses, ndërsa rasti i rrallë po shqyrtohet nga ekspertët e mjekësisë, për shkak të sasisë enorme të objekteve të grumbulluara. /Telegrafi/























































