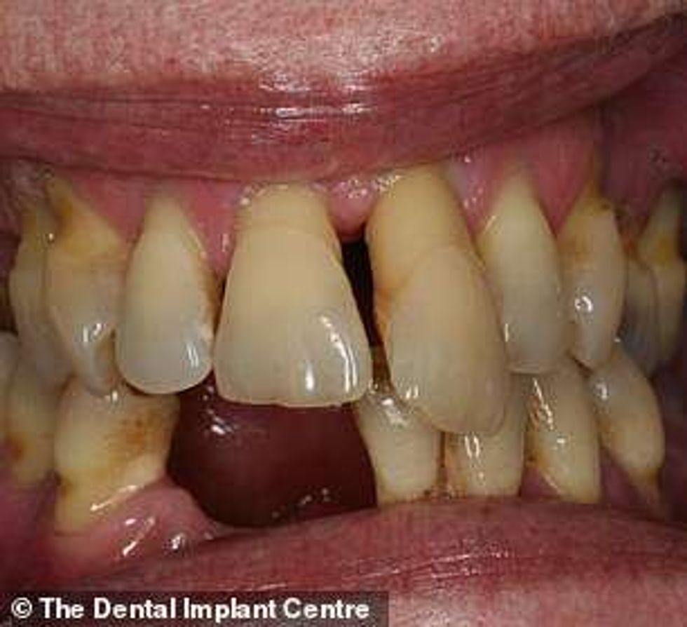
Dentisti britanik tregon rastet më ekstreme, çfarë i ndodhë dhëmbëve kur shmangen vizitat mjekësore (Foto)

Imazhet tronditëse tregojnë se çfarë i ndodhë dhëmbëve kur shmangen vizitat mjekësore, ndërsa dëmtimet vazhdojnë të rriten në mënyrë enorme.
Megjithatë, gjithçka mund të rregullohet dhe të kthehet buzëqeshja e duhur, pavarësisht herës së fundit kur pacienti është ulur në karrigen e dentistit, transmeton Telegrafi.
Për Ditën Botërore të Buzëqeshjes, dentisti britanik Dr Bill Schaeffer, ka treguar disa prej rasteve më ekstreme që i ka trajtuar, në mënyrë që t’i inkurajojë njerëzit të shkojnë te mjeku dhe të mos turpërohen prej gjendjes që e kanë.
Derisa një pacient i tij nuk kishte shkuar te mjeku për disa dekada shkaku i fobisë, që i ishte krijuar nga një eksperiencë e keqe si fëmijë, një tjetër kishte dhëmbë tepër të dëmtuar shkaku i shmangies së vizitave dhe tymosjes së mbi 20 cigareve në ditë.
“Kishte raste kur i kishin dhëmbët tërësisht të shëndoshë, por të dëmtuar përjashta dhe u desh vetëm t’i zbardhja”, ka thënë Dr Schaeffer.
Në raste tjera, ai është dashur të përdorë edhe teknika më të vështira dhe implante, që t’ju përmirësojë pacientëve dhëmbët dëmtuara. /Telegrafi/

































































