Si ndodh stenoza dhe insuficienca e aortës, dy gjendjet më të zakonshme që kërkojnë kirurgji të valvulës

Stenoza dhe/ose insuficienca e aortës janë dy gjendjet më të zakonshme që çojnë në operacionin e valvulës së aortës, sepse nëse nuk trajtohen, ato çojnë në përparimin e simptomave që mund të rezultojnë në vdekje të papritur kardiake
Vetë operacioni i valvulës së aortës zgjat rreth katër orë, kryhet në kushte të qarkullimit të gjakut ekstrakorporale dhe shërimi në spital, nëse shkon sipas parashikimeve, zgjat rreth gjashtë ditë.
Pas daljes nga spitali, pacientët dërgohen në një nga qendrat e rehabilitimit të pacientëve të kardiokirurgjisë.
Çfarë janë insuficienca e aortës dhe stenoza e aortës
Valvula e aortës është një strukturë anatomike e vendosur midis barkushës së majtë të zemrës dhe fillimit të aortës, e cila është ena më e madhe e gjakut në trupin e njeriut. Qëllimi i valvulës është të parandalojë kthimin e gjakut në barkushe pas tkurrjes së zemrës (sistola).
Anatomikisht, valvula e aortës përbëhet nga tri fletëza gjysmëhënore: koronare të majtë, koronare të djathtë dhe jo-koronare. Nëse gjaku kthehet, quhet regurgitim dhe shkaktohet nga dobësia e valvulës, e cila quhet insuficiencë. Insuficienca më së shpeshti shfaqet si pasojë e keqformimeve të kushtëzuara gjenetikisht, të ashtuquajturat valvula aortike bicuspid, kur në vend të tri normale, valvula aortike përbëhet nga dy fletë, transmeton Telegrafi.
Shfaqja e një valvule bikuspidale ka një frekuencë prej rreth 2 për qind në popullatën e përgjithshme dhe është më e shpeshta nga të gjitha defektet e lindura të zemrës.
Mund të ndodhë edhe për shkak të etheve reumatizmale, endokarditit infektiv, si dhe çrregullimeve të përcaktuara gjenetikisht në sintezën e kolagjenit (e ashtuquajtura kolagjenozë).
Shfaqja e një valvule aortale bikuspidale shoqërohet me rritje të rrezikut të komplikimeve kardiovaskulare, përfshirë endokarditin infektiv. Nëse paraqitet insuficienca akute e aortës, është indikacion për kirurgji urgjente në zemër.
Stenoza e aortës ndodh si rezultat i rrjedhjes së turbullt të gjakut nëpër vrimën e aortës, e cila çon në ndryshime degjenerative që rezultojnë në funksion të pamjaftueshëm të valvulës. Stenoza paraqet një pengesë mekanike për qarkullimin normal të gjakut, prandaj, nëse zgjat më shumë, mund të çojë në trashje të muskujve të zemrës dhe/ose zgjerim (zgjerim) të pjesës fillestare të aortës.
Stenoza ose pamjaftueshmëria e valvulës së aortës më së shpeshti manifestohet me:
▪ lodhje
▪ ngufatje
▪ dhimbje në gjoks
▪ marramendje dhe të fikët (sinkopë)
▪ ndjenja e rrahjeve të zemrës
▪ gulçim (veçanërisht gjatë sforcimit).
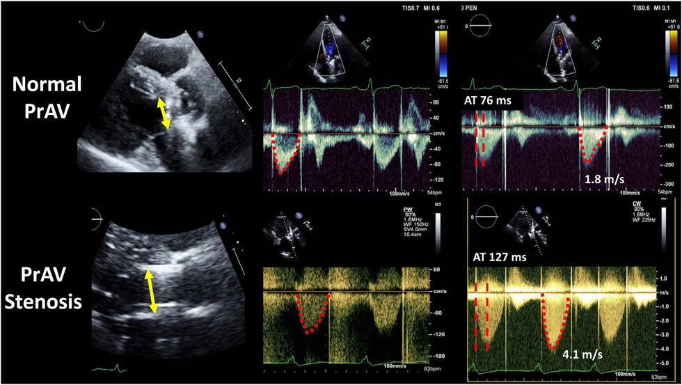
Duke dëgjuar tingujt e zemrës me ndihmën e stetoskopit shfaqet zhurma, e cila mund të ketë një shkallë të ndryshme fuqie dhe përhapjeje. Standardi i artë në diagnostikimin dhe vlerësimin e ashpërsisë së stenozës dhe/ose pamjaftueshmërisë së aortës është ekokardiografia (ekografia e zemrës), e cila mat në kohë reale sipërfaqen e vetë valvulës, shpejtësinë e rrjedhjes së gjakut nëpër vrimën e aortës, si dhe vlerësimi i trashësisë së mureve të barkushes së majtë dhe diametrit të aortës ascendente.
Zgjerimi poststenotik i aortës është një zgjerim i diametrit të aortës ascendente, i cili supozohet se shkaktohet nga rritja e shpejtësisë së rrjedhës nëpër grykën e aortës, si dhe rrjedha e turbullt e gjakut që ndikon në stresin tangjencial të prerjes së murit të aortës, duke shkaktuar rrallimin dhe zgjerimin e tij.
Nëse diagnoza konstaton se sëmundja ka përparuar në atë masë sa të rrezikojë shëndetin e pacientit, vendoset indikacioni për trajtim operativ. /Telegrafi/























































