Kur është momenti i duhur për t’ia vendosur fëmijës aparatin dentar për drejtim të dhëmbëve?

Një kontroll në kohën e duhur mund të parandalojë probleme të mëdha më vonë dhe t’i japë fëmijës siguri, shëndet oral dhe një buzëqeshje të natyrshme
Ass.Dr.Sci. Visar Disha
Specialist i Protetikes Stomatologjike
Specialist i Ortodoncisë dhe Ortopedisë së Nofullave
Specialist i Kirurgjisë Orale dhe Implantologjisë
Tel. +38344559287
Shumë prindër pyesin: “Kur është koha e duhur për t’ia vendosur fëmijës aparatin dentar?” Kjo pyetje është thelbësore, sepse drejtimi i dhëmbëve nuk lidhet vetëm me pamjen estetike, por edhe me shëndetin oral dhe zhvillimin e duhur të nofullës.
Vizita e parë tek ortodonti rekomandohet të bëhet rreth moshës 6-7 vjeçare, kohë kur dalin dhëmbët e përhershëm dhe mund të vërehen qartë shenjat e para të keqvendosjes së dhëmbëve.

Pse është i rëndësishëm zbulimi i hershëm?
Ndërhyrja në kohë ka shumë përparësi:
- Parandalim i problemeve më të mëdha – Sa më herët të zbulohet shtrembërimi i dhëmbëve ose moszhvillimi i duhur i nofullës, aq më lehtë korrigjohet.
- Zhvillim i shëndetshëm i nofullave – Aparatet e hershme ortodontike mund të udhëheqin rritjen e nofullës, duke krijuar hapësirën e duhur për dhëmbët e përhershëm.
- Vetëbesim i lartë për fëmijën – Një buzëqeshje e bukur ndikon drejtpërdrejt në sigurinë emocionale dhe sociale të fëmijës.
Shenjat që prindërit nuk duhet ti injorojnë !
Prindërit mund të dallojnë disa tregues të hershëm që fëmija mund të ketë nevojë për aparat ortodonik:

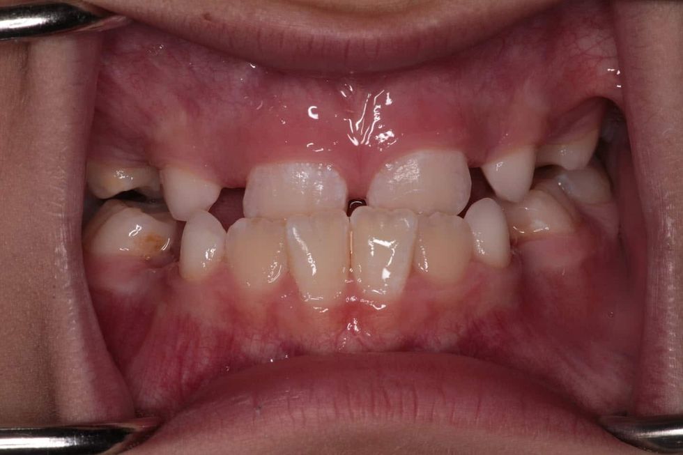
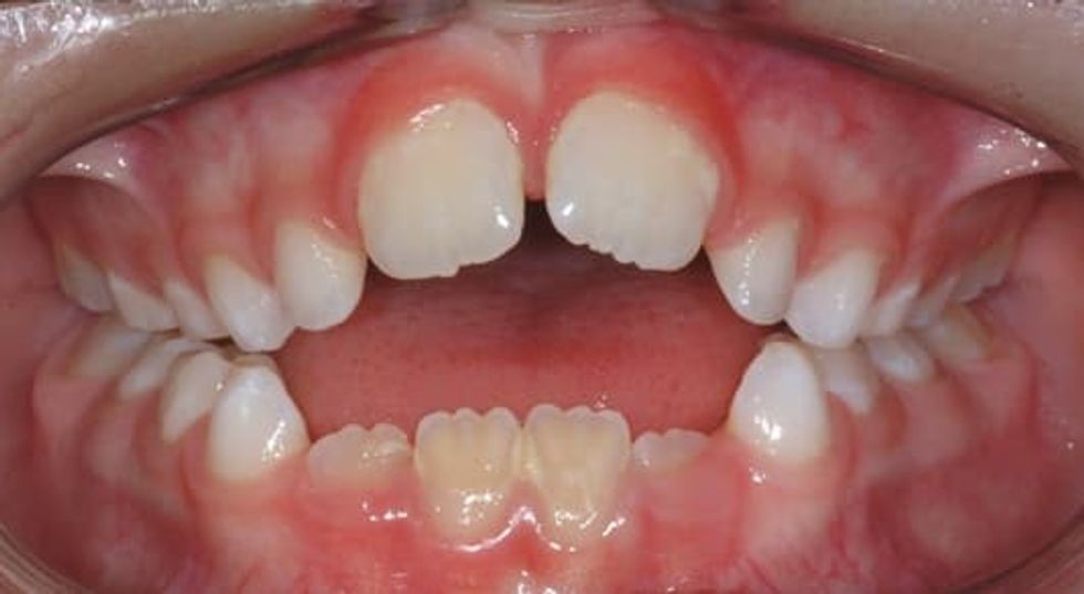
- Dhëmbë të shtrembër ose të grumbulluar

- Kafshim i parregullt (dhëmbët e poshtëm mbulojnë të sipërmet)

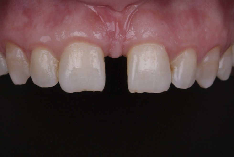
- Hapësira të mëdha mes dhëmbëve (diastema)

- Kafshim i hapur (dhëmbët e sipërm nuk kontaktojnë me dhëmbët e poshtëm)
- Frymëmarrje me gojë
- Vështirësi në shqiptim ose përtypje
Nëse vëreni këto shenja,është koha të konsultoheni me ortodontin.
Llojet e aparateve ortodontike për fëmijë
Aparatet e lëvizshme – përdoren kryesisht në moshat më të vogla, për të ndihmuar rritjen e nofullës dhe për të korrigjuar shenjat e para të shtrembërimit të dhëmbëve.

Aparatet fikse (braketat) – aplikohen zakonisht pas daljes së dhëmbëve të përhershëm, për të arritur drejtimin e plotë të dhëmbëve dhe përmirësimin e kafshimit.
Ortodonti është ai që vendos se cili aparat është më i përshtatshëm për fëmijën tuaj, në bazë të moshës dhe nevojave klinike.
Cilat janë përfitimet e drejtimit të hershëm të dhëmbëve?
- Pamje estetike dhe buzëqeshje natyrale.
- Higjienë orale më e lehtë dhe parandalim i kariesit.
- Përtypje dhe të folur më i saktë.
- Vetëbesim dhe buzëqeshje e sigurt në çdo situatë.

Mesazhi im
Koha më e mirë për të kontrolluar nëse fëmija ka nevojë për aparat dentar është rreth moshës 6-7 vjeçare. Një vizitë e thjeshtë tek Ortodonti mund të bëjë diferencën mes një trajtimi të shkurtër dhe efektiv ose një procesi më të gjatë e të vështirë në të ardhmen.
Mos e lini vendimin për më vonë – një konsultë e hershme i jep fëmijës tuaj mundësinë për të pasur jo vetëm dhëmbë të drejtë, por edhe një buzëqeshje që do ta shoqërojë gjithë jetën. /Telegrafi/





















































