Shtrëngimi i dhëmbëve – Bruksizmi

Dr. Arianita Shala – Zeka, stomatologe
Ordinanca Stomatologjike "Dr. Nita"
044 695 002 & 038 754 926
Rr. Eqrem Çabej nr. 9, Bregu i Diellit (Prishtinë)
arianita.shala@gmail.com
Me këtë mund të konstatojmë se është një ves mjaft i përhapur dhe kërkon trajtim të hershëm përmes të cilit mund të mbrohen dhëmbët nga dëmtimet serioze apo edhe nga humbja e tyre.
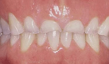
Shtrëngimi i dhëmbëve apo bruksizmi siç njihet shkencërisht, është një dukuri mjaft e shprehur në mesin tonë. Kjo shfaqet kryesisht gjatë natës kur në mënyrë të pavullnetshme shtrëngohen dhëmbët, kjo mendohet se vjen nga shkaktarët psikologjik dhe fiziologjik, ndër to stresi, frika, ankthi, zemërimet, etj. Poashtu mendohet se është gjenetike e cila mund të trashëgohet.
Kjo dukuri mund të shkaktojë dëme aq të mëdha për ju saqë as që i keni pararendur ndonjëherë. Përveç që dhëmbët abradohen (harxhohen) ato preken nga erozioni (gërryeja) që çon deri tek dëmtimi i shtresës mbrojtëse të dhëmbëve (smalti) dhe më këtë rast aty rritet ndjeshmëria dhe rrezikohet më tepër nga sëmundjet e dhëmbit, si kariesi, ndezja e indeve të dhëmbit që mund të ju çoj në nevojën e terapisë së shërimit të rrënjës me kanale apo edhe më keq kur dhëmbët zvogëlohen, bëhen të hollë dhe të dobët, shumë shpejtë mund të vie të thyerja apo dhe humbja e plotë e tyre. Si pasojë, mund të ndryshojë edhe forma e kafshimit e cila është shumë e rëndësishme në procesin e të ushqyerit.
Poashtu bruksizmi ndikon edhe në lodhjen e nyjës temporomandibullare (nyjës së nofullës) dhe bënë që këtë lodhje ta ndjej edhe gjatë ditës.
Dentisti juaj mund të ju ndihmojë që ta gjeni shkaktarin e kësaj dukurie në rastin e caktuar e poashtu dhe tejkalimin e tij përmes terapisë, ndërhyrjeve apo edhe formave mbrojtëse. Trajtimi i dukurisë së shtrëngimit apo kërcitjes së dhëmbëve bëhet në ordinanca stomatologjike duke u kërkuar thelbi i problemit dhe duke arritur në evidentimin e shkaktarëve. Fillimisht nëse kjo është shkaktuar nga radhitja jo e rregullt e dhëmbëve, numri jo adekuat i tyre, pozita e dhëmbëve, madhësia e tyre, forma por edhe pozita e nofullave. Në këto raste intervenohet në shkaktarin kryesor dhe më pas mënjanohet problemi.
























































