Rikonstruksioni i recesioneve gingivale: Mënyra efektive për të rigjeneruar gingivën

Recesioni ose tërheqja e mishrave të dhëmbëve, është një proces ku mishrat e dhëmbëve largohen nga dhëmbët dhe ekspozohen rrënjët poshtë Ass.Dr.Sci. Visar DishaSpecialist i Protetikes StomatologjikeSpecialist i Ortodoncisë dhe Ortopedisë së NofullaveSpecialist i Kirurgjisë Orale dhe ImplantologjisëTel. +38344559287
Rrënjët e ekspozuara të dhëmbëve rrisin :
1. rrezikun e prishjes së dhëmbëve,
2. ndjeshmërinë
3. humbjen e kockës rreth dhëmbëve.
Recesioni i mishrave të dhëmbëve është një problem i zakonshëm dentar; prek 4% deri 12% të të rriturve dhe shpesh kalon pa u vënë re derisa situata bëhet më e rëndë.
Shumë njerëz as që e vënë re që mishrat e dhëmbëve ju janë tërhequr, sepse është një proces gradual. Megjithatë, me kalimin e kohës, një rrënjë dhëmbi e ekspozuar jo vetëm që mund të duket e shëmtuar, por mund të shkaktojë ndjeshmëri të dhëmbëve, veçanërisht kur hahen ushqime të ftohta ose të nxehta.
Përfundimisht, recesioni i mishrave të dhëmbëve, nëse nuk trajtohet, mund të shkaktojë humbje të dhëmbëve. Për të riparuar dëmtimin dhe për të parandaluar probleme të mëtejshme dentare, mund të nevojitet një transplant i indit të mishit të dhëmbëve.
• Teknika jo adekuate e larjes së dhëmbëve: Studimet e reja kanë treguar se larja shumë e fortë ose me furça dhëmbësh me fije të forta konsumon smaltin e dhëmbëve në vijën e mishrave të dhëmbëve dhe irriton indet e mishrave të dhëmbëve duke shkaktuar recesion (tërheqje të mishrave të dhëmbëve).
• Kujdesi i dobët dentar: Mungesa ose pamjaftueshmëria e higjienës dentare mund të shkaktojë recesion të mishrave të dhëmbëve. Pllaku dentar i cili përmban bakterie, akumulohet në vijën e mishrave të dhëmbëve duke shkaktuar inflamim dhe konsumim të rrënjës së dhëmbit dhe mishit të dhëmbëve.
• Gjenetika: Njerëzit që kanë një ose të dy prindërit që vuajnë nga kjo sëmundje mund të jenë më të ndjeshëm ndaj saj.
• Konsumimi i duhanit: Përdorimi i vazhdueshëm i duhanit kontribuon në recesionin e mishrave të dhëmbëve duke bërë që pllaku dentar të akumulohet më shumë.
• Shtrëngimi i dhëmbëve.
• Sëmundja periodontale (gingiviti): Gingiviti është një infeksion ose akumulim i pllakut dentar që prek mishrat e dhëmbëve dhe kockën që mbështet dhëmbët. Zakonisht shkaktohet nga higjiena e dobët orale ose nga diabeti.
• Piercing për buzët ose gjuhën: Piercing-et e trupit fërkohen me mishrat e dhëmbëve duke e bërë atë të tërhiqet me kalimin e kohës.
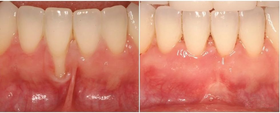
Graftimi i gingivës (mishrave të dhëmbëve) është një procedurë dentare për trajtimin e hollimit të mishrave të dhëmbëve ose recesionit (tërheqjes) së mishrave të dhëmbëve. Kjo procedurë zëvendëson indin e humbur rreth dhëmbëve tuaj dhe përmirëson shëndetin tuaj të përgjithshëm oral.
Graftimi i gingivës mbulon rrënjët e ekspozuara të dhëmbëve dhe i shton vëllim mishrave të dhëmbëve, duke përmirësuar shëndetin e përgjithshëm oral.
Rimëkëmbja zakonisht zgjat një javë deri në dy javë, por mund të zgjasë më shumë. Graftimi i gingivës ka një shkallë të mirë suksesi dhe mund të zvogëlojë rrezikun e sëmundjes së rëndë të mishrave të dhëmbëve.
Graftet e indeve të mishit të dhëmbëve ofrojnë një sërë përfitimesh. Për shembull, ato mund të:
• Zvogëlojnë rrezikun e sëmundjes së mishrave të dhëmbëve.
• Zvogëlojnë rrezikun e dëmtimit të dhëmbëve. (Rrënjët e ekspozuara të dhëmbëve janë të ndjeshme ndaj prishjes).
• Ulja e ndjeshmërisë së dhëmbëve.
• Përmirëson pamjen e buzëqeshjes suaj.
Rikonkstruksioni i recesioneve gingivale me grafte gingivale është një procedurë që ndihmon në rivendosjen e mishrave të dhëmbëve që janë tërhequr.
Ky intervenim mund të ndihmojë në mbrojtjen e dhëmbëve dhe të përmirësojë pamjen e buzëqeshjes suaj. /Telegrafi/

























































