Rëntgeni i narkomanit zbuloi të vërtetën rrëqethëse – qafa e tij ishte mbushur me dhjetëra gjilpëra të thyera (Foto)

Pothuajse të gjithë i dinë dëmet që mund të shkaktoj konsumimi i llojeve të ndryshme të drogave, e në veçanti nëse ato injektohen me shiringë në vena.
Por në rast se dikush nuk i di këto pasoja, fotografitë e postuara më poshtë mund të shërbejnë si ilustrim, transmeton Telegrafi.
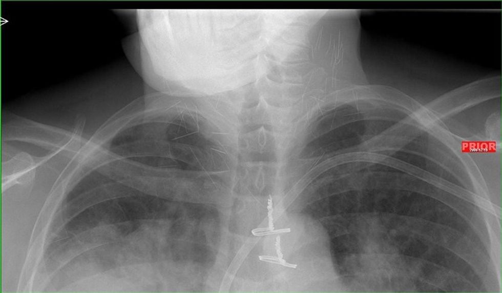
Fotografitë janë postuar në faqen Reddit nga një mjek anonim. Sipas tij, një pacient kishte shkuar në spital në gjendje të rëndë shëndetësore pasi kishte pësuar “kallje” të mushkërive.
Pacienti i cili për një kohë të gjatë kishte qenë i varur nga heroina ka bërë një fotografim me rreze x, i cili ka zbuluar një të vërtetë të tmerrshme.
Fotografia e rëntgenit me rreze x ka nxjerr në pah dhjetëra gjilpëra të thyera në qafën e tij, ndërsa pas rekonstruimit të fotografisë në versionin 3D nga radiologët, është konstatuar se vërtetë bëhet fjalë për dhjetëra gjilpëra.
Mjekët besojnë se ky narkoman i cili sipas të gjitha gjasave nuk kishte pasur ku të shpohet në duar, dhe kështu kishte injektuar heroinën në venat e qafës.
Injektimi i heroinës në qafë mund ta lë pavetëdije narkomanin për disa sekonda, ku si pasojë gjilpëra mund të thyhet dhe një pjesë e saj të mbetet në qafën e tij.
Por, ajo çfarë është për tu habitur, është fakti se si ky burrë ka arritur të largohet nga spitali pa i vërejtur mjekët këto gjilpëra. /Telegrafi/
























































