Nuhaste për çdo ditë çorapet e veta të ndotura, shtrihet në spital për infeksion në mushkëri (Foto)

Pacienti i paemëruar që u shtrua në një spital në Zhangzhou të Kinës, me një infeksion të rëndë në mushkëri - besohet se iu shkaktua prej nuhatjes së çorapeve të veta të ndotura.
Raportohet se ai iu merrte erë çorapeve për çdo ditë, sapo të kthehej nga puna e gjatë, transmeton Telegrafi.
Për pasojë, ai u infektua me kërpudhat të mbledhura në papastërti, si dhe këmbët e tij të djersitura.

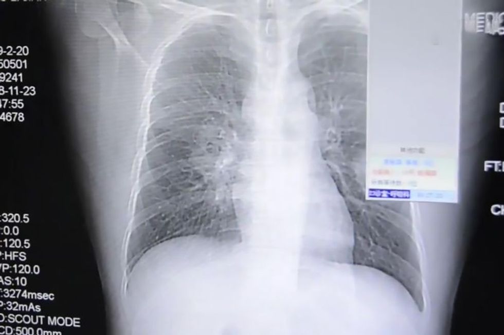
Atë e kishin pranuar në spital, pasi e dërgoi emergjenca me gjendje të rëndë shëndetësore, teksa fotografimi me rreze X, tregoi infeksionin në organet e frymëmarrjes.
Të nuhaturit e çorapeve, ai e praktikonte për një kohë të gjatë. Shkaku i gjendjes së komplikuar, do të vazhdojë të trajtohet në spital për një kohë.
Deri më tani, janë ditur mire fetishet e këmbëve, por jo edhe të nuhaturit e çorapeve.
Vetëm se kohë më parë, një 21-vjeçare nga Shtete e Bashkuara, bëri të ditur, se po ia shet një burri çorapet dhe atletet e saj të përdorura. /Telegrafi/




















































