Gingivektomia dhe gingivoplastika në raste trajtimi apo estetike

Dr. Tefta Mjekiqi - BislimiSpecialiste e Parodontologjisë dhe Mjekësisë Orale dhe Dentistrisë estetiketel. +383 49 153 454Kur rekomandohet intervenimi kirurgjik parodontal - Gingivektomia?
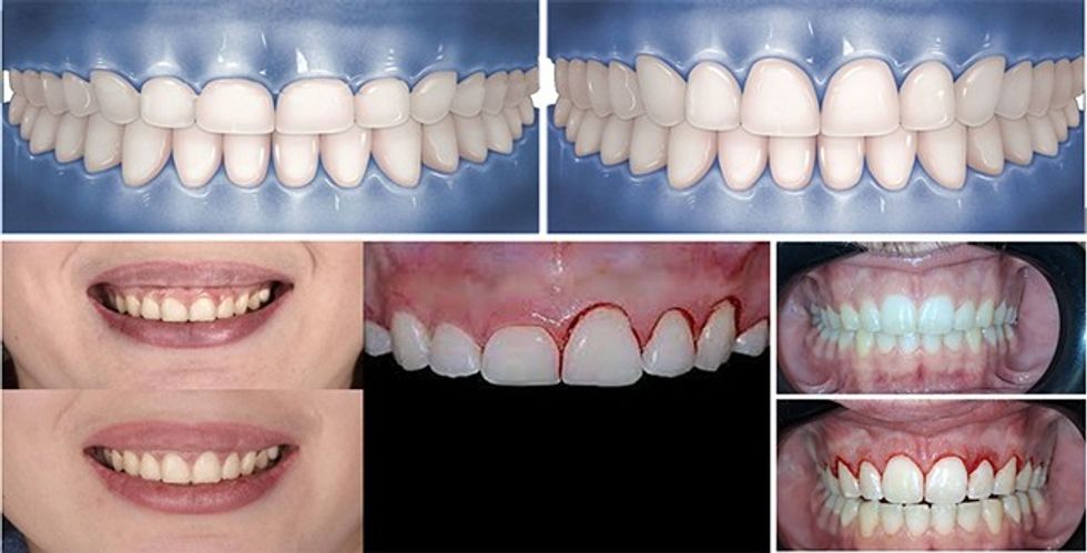
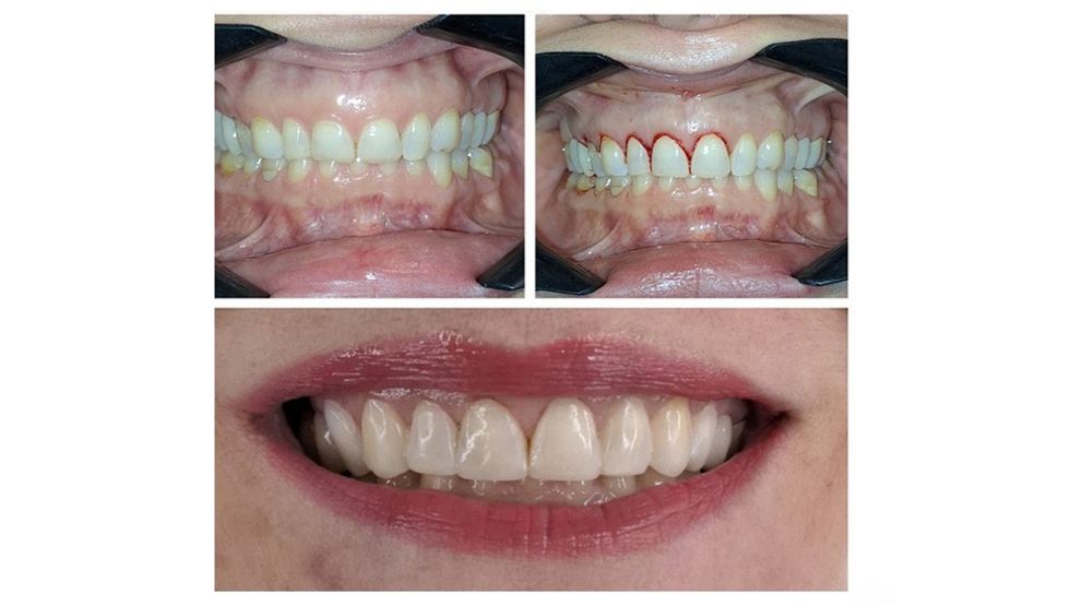
Gingivektomia është procedurë kirurgjike parodontale që zakonisht rekomandohet për pacientët me sëmundje periodontale mjaft të rëndë ose që kanë inde hipertrofike të mishrave të dhëmbëve si rezultat i efekteve anësore të një bari, sëmundjeje apo si rezultat i higjienës së dobët orale.
Me këtë procedurë kirurgjiko-parodontologjike mënjanohet indi gingivalei inflamuar (mishi i sëmurë) përpara se infeksioni i mëtejshëm të dëmtojë parodonciumin - shtratin e dhëmbit ose rrënjët e tyre. Gingivektomia duhet të realizohet si rezultat i një higjiene të dobët orale, punimet jo adekuate protetikore ku vështirësojnë pastrimin e duhur të mishrave të dhëmbëve, duke çuar në infeksion dhe inflamacion kronik.
Intervenimet e tilla gingivale terapeutike apo estetike janë një procedurë, e cila kërkon precizitet maksimal nga ana e parodontologut, pasi që kemi të bëjmë me punime në gingivë (mishin e dhëmbëve), i cili nuk mund të ketë mundësi korrigjimi.
Kjo procedurë kirurgjike është tërësisht pa dhimbje për pacientin, si gjatë intervenimit kirurgjik, poashtu edhe gjatë periudhës pas trajtimit kirurgjik!
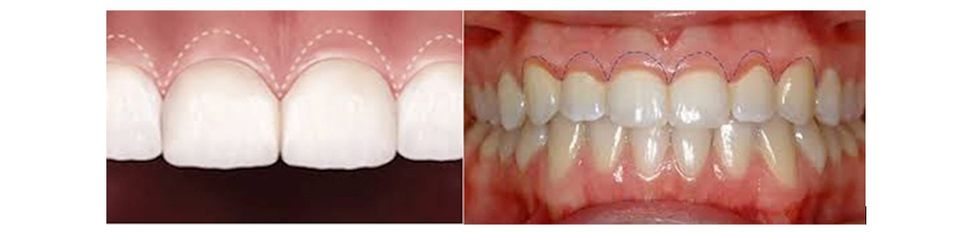
Është intervenim kirurgjik parodontal për të formuar dhe konturuar mishrat e dhëmbëve në mënyrë estetike!
Gingivoplastika rekomandohet për pacientët që kanë skaje gingivale (të mishrave të dhëmbëve) asimetrike ose të çrregullta që ndikojnë në dukjen e bukur të formave të dhëmbëve të tyre!
Gingivoplastika është gjithashtu një opsion për pacientët me dhëmbë të shkurtër, të cilët japin një pamje estetike jo të mirë të formës dhe gjatësisë së dhëmbëve. Gjatë vendosjes së restaurimeve të përparme, dmth., fasetave ose kurorave estetike, një gingivoplastikë është ndonjëherë e nevojshme për të idealizuar konturin gingival (modelimin e skajeve të mishrave te dhëmbëve) që definon dhëmbët ngjashëm me një kornizë të bukur fotografie në një pikturë.
Kjo procedurë kirurgjike parodontale mund të trajtojë gjithashtu te gjitha anomalitë e strukturës gingivale (mishrave të dhëmbëve) duke aplikuar metoda të avancuara nga fusha kirurgjiko-parodontologjike!
Të dyja operacionet përfshijnë heqjen e indit të mishit të dhëmbëve. Dallimi kryesor midis dy procedurave është se gingivektomia heq indin e sëmurë të mishrave të dhëmbëve që rrethojnë xhepin e mishrave të dhëmbëve, ndërsa një gingivoplastikë kryhet për të riformuar indin e mishrave të dhëmbëve zakonisht për arsye kozmetike.
Kjo procedurë kirurgjike është tërësisht pa dhembje për pacientin, si gjatë intervenimit kirurgjik poashtu edhe gjatë periudhës pas trajtimit kirurgjik!
Intervenimet kirurgjike parodontale kryhen nga dentistët specialist - Parodontolog!
Në rastet kur dëshirojmë të arrijmë zgjatje klinike të kurorave frontale (dhëmbët e përparmë të duken më të gjatë), e cila është një teknikë parodontale estetike, nuk shkaktohet recesion gingival (tërheqje e mishit të dhëmbëve apo resorbim kockor (humbje e indit kockor), por arrihet pamje estetikë maksimale e dhëmbëve frontal posaçërisht në gjashtë dhëmbët e parë.
Pacientët të cilët i nënshtrohen këtij intervenimi kirurgjik parodontal, qoftë për aspekstin terapeutik apo estetik, duhet të njoftohen paraprakisht që për të pasë një gingivë të shëndoshë primare dhe e domosdoshme është mbajtja e higjienës orale në nivelin maksimal.
Anomalitë e ndryshme gingivale, sot, trajtohen edhe me metoda të avancuara laserike. Përdorimi i Laserit për trajtime gingivale përcaktohet nga parodontologu varësisht nga gjendja e gingivës.
Me avancimin e fushës së Parodontologjisë, tashmë pacientët mund të arrijnë ëndrrën për dukjen e tyre sa i përket estetikës gingivale (formës se mishrave të dhëmbëve) duke mundësuar edhe dukje të bukur të formës së dhëmbëve! /Telegrafi/
























































