Shikoni me kujdes: Nëse gjuha ju duket kështu, ndoshta do të pësoni sulm në zemër apo do të keni kancer!

Nëse vëreni që ngjyra e gjuhës ka ndryshuar, mos e injoroni. Edhe pse ju dukeni krejtësisht mirë dhe i shëndetshëm, nuk do të thotë që çdo gjë është në rregull
Ndryshimi i ngjyrës mund të thotë që ju mungojnë vitaminat, por edhe ju tregon për shumë probleme të tjera, të cilat kërkojnë urgjentisht ndihmë mjekësore, transmeton Telegrafi.
Puçrrat në majë të gjuhës, ndonjëherë mund të marrin ngjyrë të zezë për shkak të grumbullimit të baktereve dhe kërpudhave. Gjithashtu, sipërfaqja e gjuhës mund të ndryshojë ngjyrën për shkak të ndonjë ushqimi, pijeje, duhani... Shkaktar i tyre shpesh është higjiena e keqe e gavrës së gojës. Kjo gjendje e gjuhës është e parrezikshme, por si pamje duket e keqe.
Edhe ndonjë antibiotik apo ilaç tjetër, si për shembull, mjetet për shpëlarjen e gojës mund të jenë shkaktar i ngjyrës së zezë në gjuhë. Mund të jetë fjala edhe për dehidratimin e organizmit, i cili pi sasi tepër të mëdha të kafes.
Kërkoni këshillë nga mjeku nëse kjo gjendje zgjat më shumë se dhjetë ditë.
Si edhe gjuha e zezë, edhe ngjyra e zezë në gjuhë është rezultat i grumbullimit të baktereve. Veç kësaj, puçrrat mund të jenë përreth gojës tepër të thata, përkatësisht nëse trupit i mungon uji, nëse merrni frymë nëpërmjet gojës (në vend që të merrni nëpërmjet hundës), nëse temperatura e trupit është e ngritur, nëse nëpërmjet gjuhës kalon tepër tym duhani...
Zgjidhja është t’i bëni higjienë të rregullt gavrës së gojës dhe vazhdimisht të pini ujë.
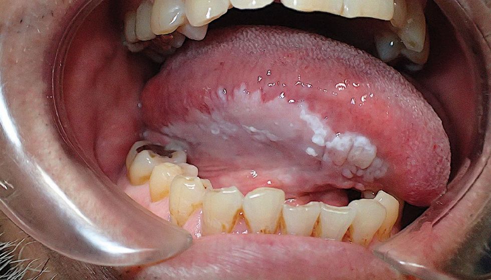
Shkaktarët janë të shumtë. Mund të jetë fjala për dehidratimin, por edhe për infeksion oral. Kjo është sëmundje e gjëndrave të gavrës së gojës me ndonjë kërpudhë nga familja Candida, e cila më së shpeshti i sulmon njerëzit me imunitet të dobët. Njësoj mund të shfaqet te pacientët të cilët pinë antibiotikë të fuqishëm.
Ngjyra e bardhë në gjuhë mund të shfaqet edhe tek leukoplakia – gjendje për shkak të së cilës krijohen njolla të bardha në gavrën e gojës. Fjala është për plagët të cilat ndonjëherë mund të paraqesin fillim të karcinomës, theksojnë ekspertët. /Telegrafi/
























































