Nxjerrja e dhëmbëve të qumështit nuk shkakton dhimbje te fëmijët (Video + Foto )

Me rregull, dhëmbi i parë i qumështit del rreth muajit të gjashtë. Zakonisht, dhëmbi i parë që del mbi sipërfaqe është dhëmbi i parë prerës- incizivi i parë në nofullën e poshtme, në anën e majtë dhe të djathtë. Dr. Xheladin Ujkani Klinika Dentare "Dent-In" Udhëheqës i projektit "Dhëmbë të shëndoshë, fëmijë të lumtur"
Janë po këta dy dhëmbë, incizivët qëndrorë në nofullën e poshtme që në të shumtën e rasteve fillojnë të lëvizin të parët, rreth moshës 6-7 vjeçare.
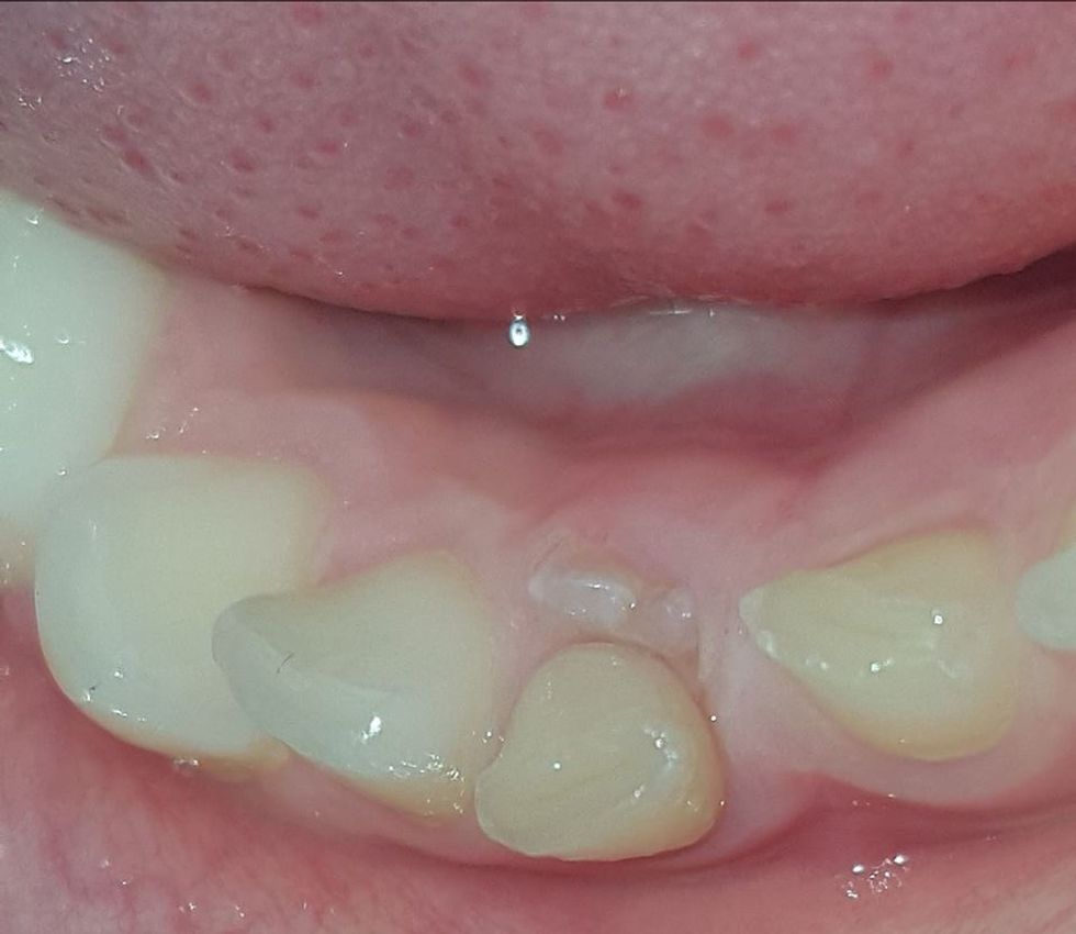
Në përgjithësi te dhëmbët e qumështit me kalimin e kohës rrënjët shkrihen (rezorbohen) dhe në momentin që këta dhëmbë fillojnë të lëvizin, mbetet vetëm kurora, gjë e cila e lehtëson procedurën e nxjerrjes së këtyre dhëmbëve. Kjo procedurë mund të kryhet vetëm me sprej anestezion.
Në raste më të rralla, tek disa dhëmbë të qumështit nuk shkrihet rrënja dhe procedura e nxjerrjes së tyre mund të vështërsohet dhe mund të sjellë ndjeshmëri e dhimbje tek fëmijët dhe ky është momenti kur shumë fëmijë marrin trauma dhe humbin besimin tek dentisti.
Shih foton sipër si duken dhëmbët ku janë shkrirë rrënjët dhe njëri prej tyre ku rrënja nuk është shkrirë.
Duke marrë parasysh se shumë fëmijë kanë të gjithë dhëmbët e shëndoshë dhe takimi i parë me dentistin ndodh pikërisht në kohën kur këta dhëmbë duhet të nxjerren, është më se e domosdoshme që edhe dentistët, por edhe prindërit të mos u bëjnë presion fëmijëve, por të gjejnë një moment më të përshtatshëm për nxjerrjen e tyre.
Kjo ruan raportet miqësore mes fëmijëve e dentistëve.
/Telegrafi/























































