Diabetes mellitus dhe sëmundjet paradontologjike

Dr. Tefta Mjekiqi - Bislimi
Stomatologetel. 044-153-454
Në etiologjinë (shkaqet) e kësaj sëmundjeje rol të veçantë kanë:
Faktorët lokalë
* Pllaku dental që shkakton inflamacione të gingives (mishit të dhëmbëve)
* Kariesi (prishja e strukturës së dhëmbit)
* Punimet joadekuate protetikore
Faktorët e përgjithshëm
* Çrregullimet në sistemin endokrin, posaçërisht sëmundja e diabetes mellitus.
* Ndryshimet endokrine gjatë ciklit menstrual tek femrat, ndryshimet endokrine gjatë shtatzënisë që mund të karakterizohen me inflamacione të gingives, granuloma pyogenicum, kontraceptivët oral.
* Sëmundjet hematologjike si anemitë, leukemitë.
* Sëmundjet paradontologjike mund të jenë akute dhe kronike, që mund të karakterizohen si lokale dhe të gjeneralizuara.
Kësaj radhe do të paraqesim manifestimin e sëmundjes paradontologjike tek personat me Diabetes Mellitus (Sëmundja e sheqerit) .
Diabeti (sëmundja e sheqerit) e pakontrolluar në gjak është njëri ndër faktorët mjaft indikator për shfaqjen e sëmundjeve paradontologjike (sëmundje e mishrave të dhëmbëve).
Mënyra se si vjen deri te shkaktimi i paradontopatisë, është se tek personat me sëmundje të diabetit ngadalësohet furnizimi i mjaftueshëm i gingivës me gjak dhe kështu rritet ndjeshmëria e indeve ngjitëse (gingives) ndaj infeksioneve (që janë pjesë përbërëse e pllakut dental) dhe ndryshimi i pH-së së pështymës ka rol të rëndësishëm në balancimin e gjendjes orale.
Diabeti është sëmundje që ul rezistencën e organizmit ndaj infeksioneve,dhe kështu ndikon edhe në propabilitetin e infeksioneve të gingivës. Nivelet e larta të glukozës në përbërje të pështymës, nxisin rritjen e baktereve që shkaktojnë sëmundje paradontologjike. Personat me sëmundje diabetike tek të cilët pinë poashtu edhe duhan, janë më shumë të prirë për zhvillimin e sëmundjeve paradontologjike.
Në zhvillimin e sëmundjes paradontologjike rol shumë të rëndësishëm luan higjiena e rregullt orale e që është faktor me rëndësi edhe tek personat pa diabet.
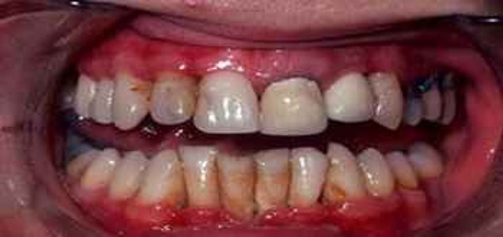
Personi me ndryshime paradontologjike zakonisht karakterizohet me këto simptoma të sëmundjes:
* Gingiva (mishrat)e dhëmbëve gjakosin lehtë gjatë pastrimit të dhëmbëve
* Mishrat e dhëmbëve i kanë të skuqur dhe të fryrë
* Mishrat janë të ndara nga sipërfaqja e dhëmbit ku karakterizohen me zhveshje të dhëmbit, gjegjësisht tërheqje të gingivës (mishit) të dhëmbëve.
* Lëvizshmëri e dhëmbëve e cila karakterizohet si fazë mjaft aktive e paradontopatisë
* Aromë e rëndë nga goja (Fetor ex ore),që vjen si pasoj e infeksionit dhe baktereve prezente në pllakun dental.Parandalimi dhe trajtimi i sëmundjeve paradontologjike tek personat me diabet
Sëmundjet paradontologjike të avancuara nuk mund të shërohen por mund të ndalohen në rrugën e progredimit të tyre dhe të bëhet trajtimi i tyre adekuat stomatologjik.
Tek personat me diabet parandalimi i paradontopatise bëhet:
* Faktori bazë te personat me diabet është mbajtja e sasisë së sheqerit në gjak e balansuar dhe nën kontroll. * Është e ndaluar pirja e duhanit sepse është njëri nga faktorët favorizues të paradontopatisë.
* Higjiena orale të jetë në nivel te lartë, duke bërë pastrimin e dhëmbëve me pasta fluorizuese dhe me efekt të veçantë për periodonciumin pas çdo shujte ushqimi.
* Përdorimin e perit dental për largimin e shtresave të ushqimit ndërmjet hapësirave të dhëmbëve ku nuk mund të depërtojë brusha.
* Përdorimin e brushëzave interdentale (që karakterizohen me numra varësisht nga hapësirat interdentale), kjo posaçërisht te paradontozat e shprehura dhe personat me punime protetikore.
* Përdorimi i antiseptikëve në raste inflamacioni të gingivës të caktuar nga dentisti juaj,
* Të mbahet një dietë ushqimore e shëndetshme dhe mirë e ekuilibruar.
* Kontrolle të rregullta te dentisti, ku duhet ta informoni se jeni person me diabet dhe në këtë mënyrë dentisti juaj mund të zbulojë shenjat e hershme të sëmundjeve të mishrave të dhëmbëve. Kujdes: Nëse trajtimi i periodonciumit nuk bëhet me kohë dhe i rregullt, atëherë sëmundja e paradontopatisë do të bëhet e avancuar çdo herë e më shumë dhe do të sjellë ne humbjen e dhëmbëve në moshë të hershme.

























































