Coronavirusi, çfarë ndodh me trupin kur sëmuremi? Mjeku publikon mushkëritë e një 28-vjeçari të mbushura me infeksion
Për shumicën e pacientëve, Covid-19 fillon dhe mbaron në mushkëri, sepse, ashtu si gripi, coronaviruset janë sëmundje të frymëmarrjes. Ato zakonisht përhapet përmes kollës dhe teshtitjes së personave të infektuar, përmes mikro-pikave që mund të transmetojnë virusin tek ata që janë në kontakt të ngushtë.
Coronaviruset gjithashtu manifestohen me simptoma të ngjashme me ato tipike të gripit, kjo është arsyeja pse të dy sëmundjet mund të ngatërrohen: pacientët së pari mund të kenë ethe dhe kollë, të cilat më pas përparojnë për tu bërë pneumoni intersticiale.
Si shkakton infeksion ky koronavirus?
Virusi përhapet përmes pikave të përhapura në ajër duke kollitur ose teshtitur nga personat e infektuar, të cilët janë afër dhe mund të thithin përmes hundës, gojës ose syve. Grimcat virale në këto pikëza udhëtojnë shpejt në pjesën e prapme të hundës dhe në mukozën brenda fytit, duke u bashkangjitur në një receptor të veçantë në qelizat.
Si shkakton ky proces probleme me frymëmarrjen?
Kopjet e virusit shumohen, shpërthejnë dhe infektojnë qelizat. Simptomat e para shpesh fillojnë nga fyti me dhimbje të fytit dhe kollë të thatë. Pastaj virusi zvarritet në mënyrë progresive përgjatë bronkeve. Kur virusi arrin në mushkëri, mukozat e tyre acarohen. Kjo mund të dëmtojë alveolat ose qeset e mushkërive që duhet të punojnë më shumë për të kryer funksionin e tyre të furnizimit me oksigjen në gjak që qarkullon në të gjithë trupin tonë dhe largon dioksidin e karbonit nga gjaku. Ellingnjtja dhe rrjedhja e dëmtuar e oksigjenit mund të bëjë që ato zona të mushkërive të mbushen me lëng, qelb dhe qeliza të vdekura duke shkaktuar pneumoni. Pikërisht për shkak të këtij degjenerimi, disa pacientë pësojnë probleme serioze të frymëmarrjes, aq sa duhet të shtrohen në spital në kujdesin intensiv dhe të ventilohen. Në rastet më të këqija, kur shfaqet sindromi i shqetësimit të frymëmarrjes akute, mushkëritë mbushin deri në atë masë me lëng që asnjë mbështetje respiratore nuk mund ta ndihmojë pacientin, i cili nuk mund të marrë frymë më dhe vdes.
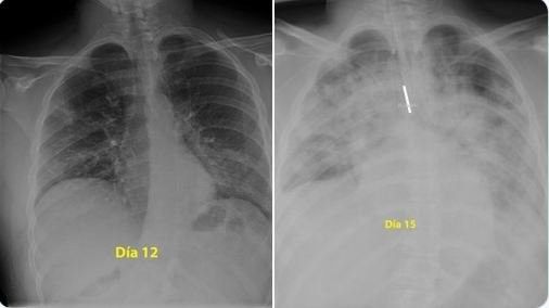
Për ata që j besojnë se nuk preken dhe vazhdojnë të dalin në park pa zbatuar urdhrat e vendosur për të ndjekur në shtëpi, ju ftojmë të shikoni mushkëritë e një djali 28-vjeçar të para me rreze X. Mushkërit janë të zeza ndërsa e bardhë është pneumonia ose lëngu i infeksionit që më pas bllokon frymëmarrjen. Pamjet janë publikuar nga një mjek në Spanjë i quajtur Donni.
Agravimi i virusit është shumë i shpejtë dhe nga dita e 12 në të 15 shihet se mushëkëritë e pacientit janë mbushur plotë me lëngun e infeksionit. /tch/


