Lëndimi i komplikuar i Neymarit: Gjithçka që duhet të dini për frakturën që ka pësuar

Tashmë është konfirmuar se sulmuesi i Paris Saint-Germainit, Neymar, do të mungojë në ndeshjen kthyese të 1/8 së finales të Ligës së Kampionëve kundër Real Madridit.
Futbollisti brazilian u lëndua në ndeshjen kundër Marseille në fundjavë në kuadër të Ligue 1 dhe tash duhet të operohet për ta tejkaluar problemin.
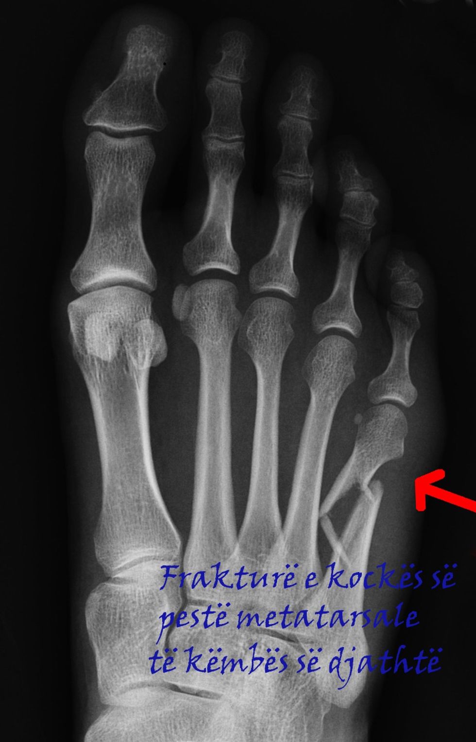
Krahas ndrydhjes në këmbën e djathtë, ai ka pësuar edhe një frakturë në ashtin e pestë metatarsal, për mjekimin e të cilës duhet t'i nënshtrohet ndërhyrjes kirurgjike.
Më poshtë, Telegrafi ju sjell të dhëna në lidhje me kockën të cilën e ka lënduar futbollisti 26-vjeçar:
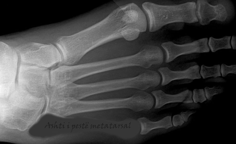
Ashti i pestë metatarsal
Ashti i pestë metatarsal është kockë e gjatë në këmbë dhe është i prekshëm në pjesën e jashtme të këmbës. Është ashti i dytë më i vogël nga pesë kockat metatarsale. Është kocka e gjatë në pjesën e jashtme të këmbës që lidhet me gishtin e vogël.
Frakturat e ashtit të pestë metatarsal
Frakturat (thyerjet) janë të shpeshta në ashtin e pestë metatarsal - ashti i gjatë në pjesën e jashtme të këmbës që lidhet me gishtin e vogël. Dy format më të shpeshta të frakturave që ndodhin në këtë kockë janë, fraktura me shkëputje të një pjesë të vogël të kockës dhe fraktura Jones, e cila mund të jetë stres-frakturë (që ndodh si pasojë e ngarkesës dhe veprimit të vazhdueshëm të forcës në të njëjtin vend) dhe frakturë e përnjëhershme si pasojë e traumës.
Vështirësi në ecje
Mavijosje
Trajtimi jokirurgjik Pushimi, vendosja e akullit, mbështjellja me kompresë, ngritja e këmbës mbi nivelin e zemrës.Mjeku do ta imobilizojë këmbën, ndoshta nevojiten edhe paterica për të penguar vendosjen e peshës në këmbën e lënduar. Për të përshpejtuar shërimin aplikohet stimulimi i eshtrave.
Kur nevojitet ndërhyrja Nëse si pasojë e lëndimit ka ndodhur zhvendosje e kockës, thyerje mulitple (më shumë se një fragment i thyer i kockës) ose nuk ka ndodhur shërimi adekuat - atëherë nevojitet ndërhyrja kirurgjike.

Duke qenë se lëndimi i Neymar është i komplikuar, për një mjekim adekuat nevojitet ndërhyrja kirurgjike. Pikërisht, kështu kanë vendosur stafi mjekësor i Paris Saint-Germainit dhe kombëtares së Brazilit.
Lojtari tashmë ndodhet në Brazil dhe do t’i nënshtrohet ndërhyrjes kirurgjike në fundjavë. Ai do të operohet nga Dr. Rodrigo Lasmar, i shoqëruar nga profesori Saillant që e përfaqëson PSG-në.
Për t'u shëruar nga ky operacion nevojiten së paku dy muaj e gjysmë apo tre muaj, prandaj Neymar pritet t'i mungojë PSG-së deri në fund të sezonit.
Po ashtu, ai do ta ketë të vështirë të përgatitet në kohë për Kampionatin Botëror me Brazilin, duke qenë se riaftësimi i tij, nga ajo që parashikohet, do të ndodhë vetëm dy javë para se të nisë turneu i madh në Rusi. /Telegrafi/


























































