Trajtimi modern urgjent i infarktit të freskët në tru – Trombektomia mekanike

Mr.Sc.Dr. Bujar GjikolliDekan në Fakultetin Teknik të radiologjisë, Kolegji AABRadiolog, Klinika e radiologjisë- QKUKPresident i KOMC; Udhëheqës i shkollave të ultratingullittel. 044140878; bujargjikolli@yahoo.com
Infarkti i freskët në tru dhe dritarja kohore
Infarkti akut iskemik (goditja në tru, anglisht stroke) në tru është gjendje akute e shkaktuar me mbylljen e papritur të arteries që furnizon trurin me gjak. Kjo rezulton me rënie të menjëhershme funksioneve të pacientit të cilat janë udhëhequra nga pjesa e infarktuar e trurit.
Pjesa e infarktuar e trurit brenda disa orëve vdes dhe humbja e funksioneve të pacientit është e pakthyeshme – me pasoja të invaliditetit për pacientin. Invaliditeti si pasojë e goditjeve në tru çdo vit ju ndodh mijëra pacientëve duke lënë pasoja të përjetshme për vet pacientit, familjen dhe shoqërinë.
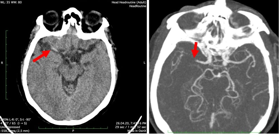
Qarkullimi i gjakut në pjesën më të madhe të trupit të njeriut është i shpërndarë në formë rrjeti i cili komunikon mes veti dhe mbyllja e njërës pjesë nuk vërehet për shkak të kompensimit që vjen nga arteriet me të cilat komunikon (anastomozat).
Mirëpo, në disa organe në tru, në zemër, në veshkë, etj, qarkullimi i gjakut është i organizuar ashtu që degët e enëve janë të fundme (terminale e nuk komunikojnë me arteriet tjera – nuk ka anastomoza. Me mbylljen e një ene, menjëherë vdes (infarkt) pjesa e organit e furnizuar me gjak nga ena e mbyllur e gjakut.
Prezantim vizuel i mungesës së anastomozës mes degëve të fundme të mes arterieve në zemër (ngjashëm është edhe në tru, veshkë, etj).www.vin.com
Marrë parasysh se enët e mëdha të gjakut furnizojnë regjione të trurit, me mbylljen e tyre pjesa e afërt e trurit vdes menjëherë derisa, pjesa e mbetur vdes pas disa orëve (dritarja kohore). Kjo dritare kohore jep mundësinë që nëse reagohet shpejtë dhe rihapet ena e mbyllur e gjakut në tru, mund të shpëtohet nga vdekja pjesa e rrezikuar e trurit (penumbra) me kthim të menjëhershëm të funksioneve të humbura.
Penumbra është pjesa e indit trunor i cili nuk funksionon e si pasojë e okludimit të degës së furnizimit. Kjo pjesë e trurit është në rrezik të vdes nëse nuk rihapet ena dhe kthehet furnizimi me gjak e materie ushqyese. Për çdo orë pas goditjes në tru penumba zvogëlohet.
Dritarja kohore për të rihapur ena e gjakut është rreth 3-6 orë dhe sa më herët që ndërhyhet, aq më shumë ind trunor arrihet të shpëtohet duke zvogëluar ose eliminuar në tërësi invaliditetin.
Kjo dritare kohore, ka shtyrë shkencëtarët në botë të punojnë dhe krijojnë sisteme reagimi të shpejtë për rihapjen e enëve të mbyllur të gjakut që furnizojnë trurin me gjak, STROKE projekte.
Edhe në Kosovë me angazhimin e institucioneve relevante, kemi arritur të krijojmë STROKE projektin për trajtimin e infarktit akut në tru (STROKE).
Me 18 prill 2020, për herë të parë, është trajtuar me urgjencë pacienti me infarkt të freskët në tru, është rihapur ena e trombozuar dhe pacienti është rikthyer nga invaliditeti.
Trombektomia mekanike – largimi mekanik i trombit nga brendia e enëve të gjakut në tru
Trombektomia mekanike (largimi mekanik i trombit nga brendia e enës së gjakut në tru) është njëra prej metodave më kosto efektive në shëndetësi, e cila duhet të shërbejë si katalizator për krijimin e kujdesit më të mirë shëndetësor në gjithë̈ vendin.
Kjo nënkupton fasilitimin e kujdesit primar shëndetësor, që pacientët të cilët pësojnë infarkt të freskët iskemik në tru të sillen sa më parë në qendra diagnostike radiologjike të pajisura me tomografi të kompjuterizuar (TK), të punohet në urgjencë TK native e kokës dhe TK-angjiografia e arterieve supraaortale.
Me konfirmimin e okludimit të arterieve të mëdha intrakraniale të gjakut, të transportohet pacienti sa më parë në Stroke Qendrën, në mënyrë që ekipi i radiologëve e teknikëve të ra diologjisë në gatishmëri, të realizojë sa më parë trombektominë mekanike, dhe shpëtojnë sa më shumë parenkimë trunore në zonën e rrezikuar (penumbra) të vdes pas infarktit iskemik në tru.
Trombektomia është procedurë minimale invazive radiologjike mekanike e cila konsiderohet intervenim ndryshues i fatit të pacientit (game changing intervention).
Nëse një person pëson infarkt në tru në varshmëri nga madhësia e zonës së infarktuar, pacienti do të pësojë deficite neurologjike (rënie e funksioneve) deri në hemiplegji (pamundësi të lëvizë) e invaliditet të përjetshëm. Invaliditeti do të ndikojë jo vetëm në jetën e pacientit e të familjes, por edhe për shoqërinë e cila duhet të përkujdeset për pacientin i cili nuk mund të përkujdeset për veten e as të gjenerojë më të mira familjes së tij.
Përndryshe, deri në vitin 2020, në të gjitha hartat profesionale të shërbimeve të ofruara terapeutike evropiane lidhur me infarktin e freskët në tru, Republika e Kosovës ka figuruar si vend për të cilin nuk ka informata për këto shërbime (nuk ekzistojnë këto shërbime).
Përvojat e para në Republikën e Kosovës
Me 18 mars 2020, është realizuar trombektomia e parë në Republikën e Kosovës e deri më tani janë realizuar 6 procedura të suksesshme tek pacientët e moshës 21-70 vjeçare, tri femra dhe tre meshkuj. Te dy pacientët meshkuj kemi pasur trombozim të ACM majtas, e tek i treti djathtas, me afazi (pamundësi të flas) dhe hemiplegji (pamundësi për të lëvizur gjysmën e trupit) djathtas te dy të parët, derisa i treti me hemiplegji të sipërme majtas. Nga ana tjetër, pacientët femra kanë pasur trombozim të ACM djathtas me hemiplegji majtas.
Të gjithë pacientët fillimisht janë diagnostikuar me tomografi të kompjuterizuar (TK) dhe TK-angiografi në urgjencë dhe përbrenda dritares kohore është realizuar rikanalizimi në angjiosallë. Të nesërmen të gjithë pacientëve u është realizuar rezonanca magnetike (RM) dhe është filluar me terapi fizikale. Pacientet janë kontrolluar edhe pas 90 ditëve për t’i përcjellë rezultatet e arritura të procedurës së rikanalizim- it.
Rasti i parë
Me 18 mars 2020 për herë të parë është realizuar trombektomia mekanike në Kosovë tek pacienti mashkull 58 vjeç. Ai ka pësuar infarkt iskemik akut në anën e majtë të trurit (trombozë e ACM majtas) me humbje të menjëhereshme të të folurit (afazion) dhe aftësisë për të lëvizur gjymtyrët e anës së djathtë (hemiplegji).
Në urgjencë përbrenda dritares kohore është realizuar trombektomia mekanike me aspirim dhe nxjerrur trombi në gjatësi rreth 1.5 cm.
Në imazhet e ADS rekanalizim i arteries trurore të mesme majtas (ACM).
Post procedural, pacientit i rikthehet aftësia për të folur dhe lëvizur trupin.
Pacienti është në gjendje të flas dhe lëviz sikur para se të ndodh goditja në tru
Rasti i dytë
Pacienti 21 vjeç, ka pësuar infarkt akut iskemik në anën e majtë të trurit (trombozë e ACM majtas) me çrregullim në të folur (disleksia) dhe humbje të aftësisë për të lëvizur gjymtyrët e anës së djathtë (hemiplegji djathtas).
Pacienti flet pa kuptueshëm dhe nuk mund të lëvizë gjymtyrët e anës së djathtë
Pacientit i realizohet trombektomia mekanike brenda dritares kohore, nxjerret trombi me gjatësi rreth 2 cm dhe rekanalizohet ACM në tërësi.
Pacientit i rikthehet aftësia e të folurit dhe e lëvizjes së gjymtyrëve djathtas (majtas kanë qenë të lëvizshme).
Pacienti flet kuptueshëm dhe mund të lëvizë gjymtyrët e anës së djathtë
Pacienti i kthehet jetës normale me aktivitete fizike – çdo ditë bënë deri 20 km me biçikletë.
Pacienti pas një viti, i kthyer në normalitet të plotë
Rasti i tretë
Pacientja femër 45 vjeçare vjen në urgjencë me hemiplegji (të papritur) të anës së majtë.
Pacientja nuk mund të lëvizë gjymtyrët e anës së majtë
Te ky rast, kemi realizuar për herë të parë trombektominë mekanike të kombinuar me përdorim të aspirimit me trombektomi mekanike dhe të stent retreiver.
Pas rekanalizimit, në imazhet e ADS prezantohet ACM djathtas e rekanalizuar në tërësi
Edhe pse është rekanalizuar në tërësi, funksionet nuk iu kthyen menjëherë, por me angazhimin e saj në terapi fizikale, rezultatet e arritura vetëm sa janë shtuar.
Pacientja ka rikthyer lëvizshmërinë e këmbës së majtë por të dorës akoma jo
Në kontrollin pas një viti, pacientja ka rikthyer në masë të madhe edhe lëvizshmërinë e dorës së majtë.
Pacientja lëvizë edhe dorën e majtë në kontrollin pas një viti
Rasti i katërt
Pacientja femër 70 vjeçare vjen në urgjencë me hemiplegji të anës së djathtë, nuk është në gjendje të lëviz gjymtyrët e anës së majtë. Goditja e papritur në tru ka ndodhur 3 orë më parë.
Pacientja nuk është në gjendje të lëviz gjymtyrët e anës së majtë (dorën dhe këmbën) derisa djathtas - po
Në ADS imazhe konstatohet mbyllja e arteries trunore të mesme djathtas (ACM).
Okludim – mbyllje e arteries së mesme trunore djathtas (ACM)
Realizohet metoda e kombinuar e trombektomisë mekanike: aspirimi dhe përdorimi i stent retrivier (stentit tërheqës).
Arrihet rihapja – rekanalizimi i arteries së mesme trurore djathtas dhe rivendoshet qarkullimi i plotë i gjakut në tru.
Në imazhet e ADS pas realizimit të trombektomisë, konfirmohet rihapja dhe rivendosja e qarkullimit të gjakut në arterien e mesme trunore djathtas
Pacientja pas trombektomisë mekanike, rikthen funksionet e humbura të gjymtyrëve të anës së djathtë.
Pacientja ecë dhe lëvizë gjymtyrët e anës së djathtë
Rasti i pestë
Pacientja femër 69 vjeçare vjen në urgjencë me hemiplegji të anës së majtë, nuk është në gjendje të lëviz gjymtyrët e anës së majtë. Goditja e papritur në tru ka ndodhur 3-4 orë më parë.
Pacientja nuk mund të lëvizë gjymtyrët e anës së majtë
Realizohen procedurat diagnostike imazherike dhe konfirmohet okludimi i arteries trunore të mesme djathtas.
Realizohet trombektomia mekanike dhe rivendoset qarkullimi në pjesën më të madhe të ACM djathtas.
Imazhet me ADS konfirmojnë rihapjen e ACM djathtas
Pacientja rikthen në masë të madhe lëvizshmërinë e gjymtyrëve majtas e cila duhet stimuluar më tutje me terapi fizikale.
Pacientja në masë të madhe ka kthyer lëvizshmërinë e gjymtyrëve majtas
Rasti i gjashtë
Pacienti 60 vjeçar, pëson goditje në tru (infarkt akut) në vendin e punës në orën 5 të mëngjesit është rrëzuar dhe nuk ka mundur të lëvizë dorën e majtë.
Pacienti nuk mund të lëvizë dorën e majtë
Me imazheri me TK dhe ADS konfirmohet mbyllja e arteries trunore të mesme djathtas.
Me mundësitë me materiale në dispozicion kemi arritur të rekanalizojmë vetëm degën e poshtme të ACM djathtas.
Në kënaqësinë e gjithë ekipit, pacienti akoma në tavolinën e angjiografisë ka rikthyer funksionin e humbur.
Pacienti akoma në tavolinën e angiografisë, menjëherë pas rekanalizimit të ACM djathtas ka rikthyer funksionin e dorës së majtë
Nga seria e rasteve të prezantuara, mund të të shihet rëndësia e realizimit të trombektomisë mekanike në orët e para pas goditjes në tru. Me rihapjen e hershme të arterieve të mbyllura të gjakut në tru, mund të rikthehet funksionimi dhe parandalimi i invaliditetit të pacientëve që është me pasoja të rënda për të gjithë. /Telegrafi/




































































