Nyja artificiale (proteza) e gjurit

Dr.Visar Nushi
Kirurg Ortoped - Traumatolog
Spitali Amerikan, Prishtinë
e-mail: vnushi@spitaliamerikan.com
tel: 038 221 661; cel: 045 500 910
Çka është proteza e gjurit?
Artroplastika totale e gjurit, e njohur te ne edhe si proteza e gjurit, është një procedurë kirurgjike e cila realizohet për të zëvendësuar pjesën e dëmtuar të kockës apo kërcit kockor në nyje me një nyje artificiale, apo me protezë, e cila përbëhet nga pjesët metalike dhe të plastikës. Me këtë procedure mundësohet eliminimi i dhembjes dhe rikthimi në aktivitetet e përditshme. Poashtu, personat tek të cilët është shkaktuar lakimi i këmbëve në formë te shkronjës “O” apo “X” mundësohet korrigjimi i boshtit. Në shumicën e rasteve është i mundur edhe korrigjimi i gjatësisë deri në një masë të caktuar.
Informata të rëndësishme për pacientin dhe përcjellësin
Është me rëndësi që ta zgjidhni një person të afërm për t’ju përcjellë gjatë këtij procesi. Përcjellësi është person ii cili do t’ju përcjellë para operimit, gjatë kohës sa jeni në spital dhe në fazën e rehabilitimit postoperator. Përcjellësi mund të jetë familjar, mik apo profesionist i kujdesit shëndetësor. Ai është prezent kur ju i merrni udhëzimet nga mjeku në fazat e ndryshme të trajtimit.
Çfarë nyje është gjuri?
Gjuri është nyje që ka lëvizje vetëm në një drejtim. Përbëhet nga tri kocka, të cilat te gjuri i shëndoshë janë të mbështjella me kërce kockore. Kërci i shëndoshë mundëson lëvizjen e lirë pa dhembje të gjurit.
Kur duhet ta bëj artroplastikën e gjurit?
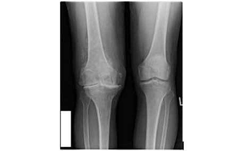
Artriti i gjurit është shkaktari më i shpeshtë për t’iu nënshtruar këtij operimi. Artriti dëmton kërcin dhe shkakton që sipërfaqet e nyjës të mos jenë të lëmuara. Si pasojë, lëvizja dhe ecja janë të përcjella me dhembje, kurse nyja humb amplitudën e lëvizjeve dhe humbet forca muskulore. Shpeshherë gjuri ënjtet dhe mbushet me sasi të tepërt të lëngut nyjor. Kur i keni këto simptoma, mjeku do t‘ju rekomandojë këtë intervenim. Sot, mosha nuk është faktor limitues për të vendosur protezën e gjurit – mund të kryhet praktikisht në të gjitha moshat. Megjithatë, janë disa faktorë që duhet marrë parasysh, si: sëmundjet tjera, mosha biologjike (vitaliteti i pacientit) etj.
Çka është artroplastika e gjurit?
Me këtë intervenim nënkuptohet zëvendësimi i pjesëve kockore në nyje, të dëmtuara nga sëmundjet e ndryshme apo lëndimet, me nyje artificiale e cila quhet protezë. Proteza ka disa komponente, të cilat ndonjëherë duhet fiksuar për kockë me një material special i cili quhet cement kockor.
Proteza totale e gjurit ka 3 pjesë kryesore: në kockën e sipërme dhe të poshtme vendosen pjesët metalike, kurse në mes tyre një pjesë nga polietileni i cili ka dukje të plastikës. Në disa raste vendoset edhe një implant nga ana e brendshme e kapakut të gjurit (patellës).
Çfarë mund të pres nga ky operim?
Shumica absolute kanë rezultate shumë të mira pas operimit, përfshirë:
• Shumë më pak/fare dhembje
• Lëvizje dhe forcë të plotë
• Rikthim në aktivitetet e përditshmePjesët e protezës totale të gjurit
Cilat janë alternativat?
Në fazat e hershme, aplikohen terapia fizikale, medikamente për kontroll te dhembjes dhe ndonjëherë injeksione në gju (kortikoide). Në fazat e avancuara, këto masa mund të jenë të pamjaftueshme, sepse natyra e sëmundjes është progresive, pra gjendja me kohë zakonisht keqësohet.
Si është protokolli i trajtimit?
Së pari duhet të informoheni nga mjeku për gjendjen tuaj. Për këtë, ai do të kërkojë incizime radiografike dhe analiza për të arritur deri te diagnoza. Pastaj mjeku do t’ju japë opsionet e trajtimit. Nëse jeni kandidat për një protezë të gjurit, vendimi i parë që duhet ta merrni është koha kur do ti nënshtroheni operimit. Për këtë duhet të merrni parasysh disa faktorë, në rend të parë të informoheni për kohëzgjatjen e procesit. Pra, ky është operim që mund dhe duhet planifikuar.
Më poshtë janë disa fakte që mund t’ju ndihmojnë për të marrë këtë vendim:
1. Konsulta preoperative. Ky është hapi përfundimtar para operimit. Zakonisht realizohet 7-10 ditë para operimit. Gjatë kësaj vizite, kryhen konsultat me mjekët tjerë specialist (kardiolog, kirurgë apo tjerë sipas nevojës), analizat laboratorike, EKG dhe incizime radiologjike sipas nevojës. Në këtë vizitë rekomandohet pjesëmarrja e përcjellësit tuaj.
2. Mjeku do të kërkojë edhe konsultën anesteziologjike, gjatë së cilës do të informoheni për mënyrat e anestezionit.
3. Nëse keni ndonjë pyetje, kjo vizitë është koha ideale për këtë!
4. Do të informoheni për ditën dhe kohën e pranimit në spital.
5. Në fazën para operimit, duhet të keni kujdes të mos pësoni ndonjë infeksion apo edhe ftohje të thjeshtë, sepse kjo mund të shtyjë operimin deri në shërim të infeksionit.
Hospitalizimi – koha e qëndrimit në spital
Njerëzit kanë aftësi të ndryshme të rekuperimit, prandaj edhe qëndrimi në spital ndryshon. Por, si rregull, hospitalizimi zgjat 3-5 ditë. Nëse jetoni vetëm, planifikoni që përcjellësi të jetë me juvë paku 2 javë pas operimit.
Ilaçet për sëmundjet tjera
Disa ilaçe duhet ndërprerë disa ditë para intervenimit. Mjeku do t’ju informojë për këtë gjatë konsultës preoperative. Zakonisht kërkojmë që të ndërpritni medikamentet të cilat shkaktojnë gjakderdhje gjatë dhe pas operimit, si: warfarin (Coumadin®, Taro-Warfarin®), acid acetylsalicylic (Aspirin®, Andol®, clopidogrel (Plavix®), ibuprofen (Brufen®, Ibutop®), etj.
Paisjet ortopedike
Do t’ju nevojiten patericat për një periudhë prej së paku 6 javë. Zakonisht këto apo pajisjet tjera ortopedike, si korniza për shëtitje, ulëse për banje etj. sigurohen nga pacienti.
Anestezioni dhe kontrolli i dhembjes
Qasja e Spitalit Amerikan, sikur edhe e spitaleve tjera me mjekësi të avancuar, është që kjo procedurë të kryhet pa dhembje. Për këtë përkujdeset ekipi i anesteziologëve, të cilët kanë në dispozicion aparaturë dhe medikamente efikase për të realizuar këtë qëllim. Të gjithë pacientëve që operohen për protezë të gjurit apo kërdhokullës, ekipi ynë i anesteziologëve ju vendosë një gyp për kontroll të dhembjes, i cili lidhet jashtë me një pompë dhe përmes saj aplikohen ilaçet kundër dhembjes. Për këtë dhe aspektet tjera të kontrollit të dhembjes, mund ta pyetni anesteziologun gjatë vizitës preoperative, si dhe gjatë qëndrimit në spital.
Transfuzioni i gjakut
Një risi në Spitalin Amerikan është se këto operime sot i kryejmë pa transfuzion të gjakut në shumicën e rasteve! Rrallëherë kërkojmë disa doza me produkte gjaku për të zëvendësuar humbjen gjatë operimit.
Disa të dhëna të rëndësishme
• Plaga operatore kontrollohet dhe pastrohet çdo ditë derisa jeni në spital. Pastaj, plagën duhet ta kontrolloni dhe pastroni çdo 3 ditë. Vendi i plagës mund të dhemb dhe të jetë i mpirë disa javë.
• Ushqimi: Filloni me ushqim dietal të lëngshëm, pastaj sipas shijes. Mos harroni: mund të keni mungesë apetiti disa ditë pas operimit.
• Ënjtja e këmbës është normale pas operimit. Ndonjëherë mjeku juaj mund t’ju rekomandojë bartjen e çorapeve elastike për përmirësim të qarkullimit të gjakut.
• Aktivizimi pas operimit: zakonisht do të ecni ditën e parë pas operimit! Fiziatri do t’ju udhëheqë në hapat e parë – dëgjoni me kujdes udhëzimet e tij për ulje ngritje nga shtrati, në karrige, në automobil, banje, pozitë të këmbës etj. Shtroni pyetje!
Punët në shtëpi pas operimit
Nuk rekomandohen punët e rënda të shtëpisë, si pastrimi i oborrit, heqja e borës, bartja e peshave mbi 5 kg e të ngjashme së paku 3 muaj. Punët e lehta mund të kryhen, nëse nuk kërkojnë përkulje, mbështetje me gju, zgjatje të tepërt dhe, sidomos, rrotullim të trupit me gju të mbështetur në sipërfaqe!
Detektorët e metalit në aeroport
Materialet që ju implantohet mund të aktivizojnë detektorët e metaleve. Për këtë arsye, ju rekomandoj të keni me vete fletëlëshimin e vulosur nga spitali, apo kartelën me të cilën vërtetohet se bartni protezë.
Aktivitetet postoperative
Afërsisht 3 muaj pas operimit, ju mund t’i ktheheni këtyre aktiviteteve, nëse kirurgu juaj i aprovon: noti (disa stile nuk lejohen për një kohë!), biçiklizmi (çojeni ulësen më lartë!), ecja rekreative në sipërfaqe të rrafshët apo me pjerrtësi të lehtë, ushtrime fizikale mesatare (aerobik, jogë e lehtë…), punët në oborr (përdorni vegla me shkop të gjatë!).
KUJDESI AFATGJATË
Prevenimi i infeksionit. Ju do të jeni në rrezik paksa të shtuar nga përhapja e infeksionit prej regjioneve tjera. P.sh. nëse keni infeksion të grykës (fytit), infeksion urinar, të dhëmbit etj. lajmërohuni menjëherë te mjeku familjar. Zakonisht duhet marrë antibiotikë sipas udhëzimeve të mjekut tuaj. Me rëndësi: njoftojeni stomatologun që keni protezë të gjurit nëse planifiokeht intervenim i madh në dhëmbë.
Lëvizja e protezës. Me kohë, zakonisht pas së paku 10 vitesh, disa pjesë të protezës mund të lirohen. Kjo ndodh për shkak të ngarkesës së tepërt të protezës. Këshillë: tentoni mos ta shtoni peshën trupore – mund të ndikoni që proteza juaj të zgjasë përgjithmonë!
Proteza e gjurit mundëson ecje të lirë, pa dhembje!























































