Djali gëlltiti Airpods në gjumë, nuk i gjente derisa pa rrezet X

Një burrë që u zgjua duke luftuar për të marrë frymë u shtang kur i doli se ai kishte gëlltitur AirPod në gjumë.
Brad Gauthier, e dinte se diçka kishte shkuar keq pasi ai nuk ndihej mirë kur u zgjua nga gjumi, ndërsa po përpiqej të pinte një gotë ujë pasi u zgjua herët të martën në mëngjes, ai filloi të ndihej edhe më keq.
Dhe do të dilte se një nga kufjet e tij të vegjël pa tel ishte bërë pengesë në ezofag, duke bërë që fyt i tij të mbushej me ujë, duke e lënë të ndjehej sikur po mbytej. Ai ishte në gjendje të pinte ujë dhe për disa minuta të ndihej më mirë, transmeton Telegrafi.
Pavarësisht kësaj, Brad kaloi ditën ashtu, duke mos kuptuar ashpërsinë e asaj që kishte ndodhur brenda natës, megjithëse ndjeu një ndjesi të çuditshme në gjoksin e tij.
Sidoqoftë, pjesët filluan të bashkohen pasi familja, duke përfshirë gruan e tij, Heather, dhe djali Owen, bënë shaka pasi ndihmuan për të kërkuar kufjen e zhdukur dhe dëgjuan diçka që nuk shkonte me fytin e tij.
Pasi shkoi në spital ai u vlerësua shpejt nga stafi i cili në fillim sugjeroi që ushqimi e ditëlindjes së gruas së tij natën e kaluar ishin shkaku i shqetësimit të tij.
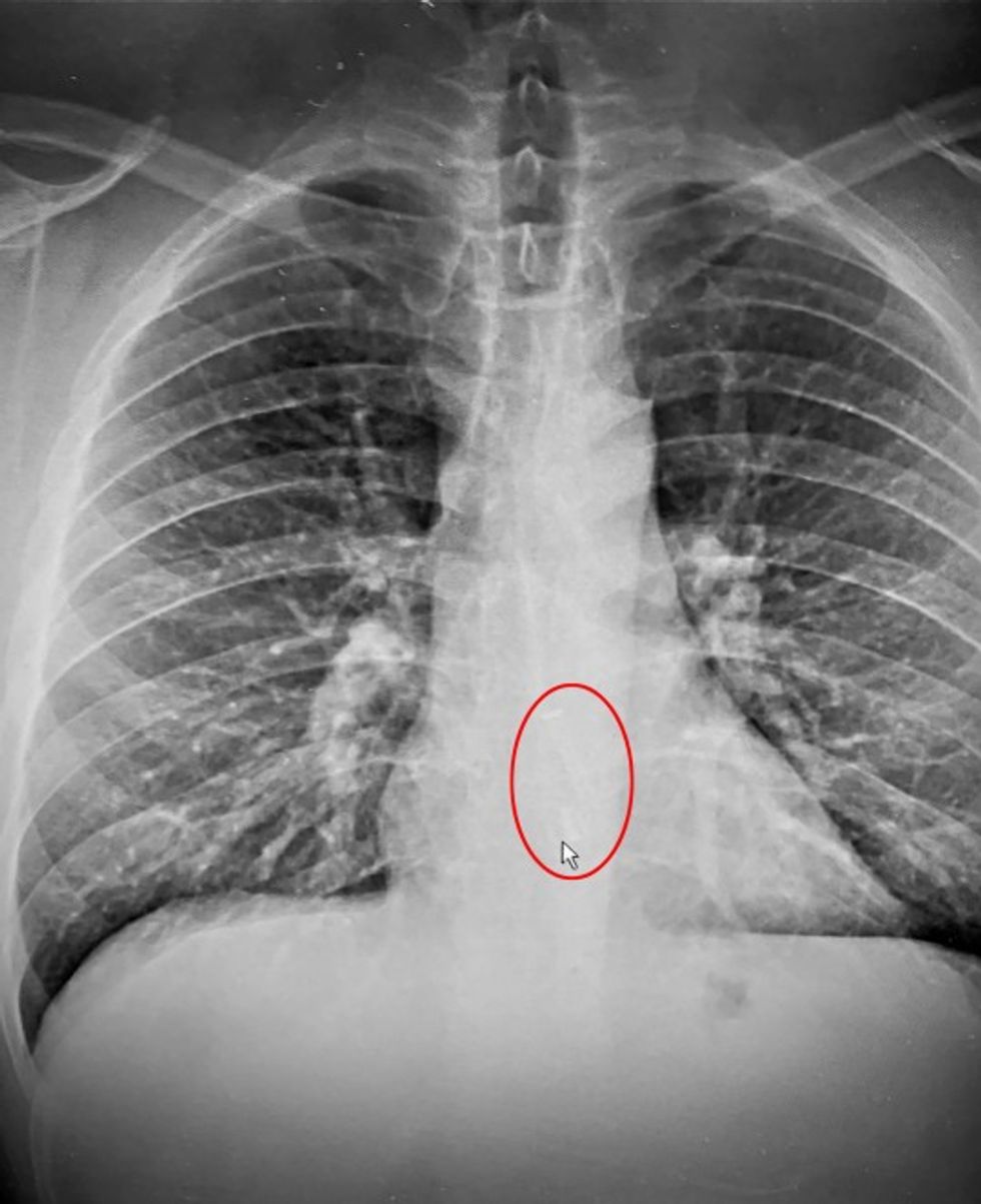
Megjithatë, rrezet X shpejt provuan që kjo ishte gabim.
Në foto shihet se burri kishte gëlltitur kufjen gjatë gjumit, dhe se si kishte ndodhur kjo ai assesi nuk e dinte.
Brad beson se pasi shkoi në shtrat, ai vendosi kufjet e tij, për ta parandaluar atë nga zgjimi i vajzës së tij gjashtë muajshe Avianna, dhe aty ai beson se ajo i kishte hyrë në gojë, ndërsa ai ishte duke fjetur.
Doli se ai kishte qenë tepër me fat, AirPod disi u lidh në një pozicion që e kishte parandaluar atë të shkaktonte dëm serioz.
Endoskopia në vetvete nuk ishte pa rreziqe, me mjekët që paralajmëruan Brad se ndërsa ishin të sigurt për suksesin AirPod mund të zhvendosej, ndoshta duke hyrë në rrugën e stomakut ose mushkërive.
Sidoqoftë, për fat të mirë, operacioni kishte një sukses. /Telegrafi/























































