COVID-19 dhe pasojat e infeksionit tek të sëmurit kardiovaskular?

Sipas Organizatës Botërore të Shëndetit (OBSH), COVID-19 është sëmundje infektive e shkaktuar nga coronavirusi i zbuluar më së fundmi. Ky virus dhe sëmundja e re ishin të panjohura deri para shpërthimit të epidemisë në Wuhan të Kinës, në dhjetor 2019 Daut Gorani, dr.sc.Internist & kardiolog049 560 172
Simptomat më të zakonshme të COVID-19 janë ethe, lodhje dhe kolla e thatë. Disa pacientë mund të kenë dhimbje fyti, nyjesh, rrjedhje nga hunda, kongjestion të hundës, dhimbje të fytit ose diarre.
Këto simptoma janë zakonisht të lehta dhe fillojnë gradualisht. Disa njerëz infektohen por nuk shfaqin ndonjë simptomë dhe nuk ndjehen mirë.
Shumica e njerëzve (rreth 80%) shërohen nga sëmundja pa pasur nevojë për trajtim të veçantë. Rreth 1 nga çdo 6 persona që infektohen me COVID-19 sëmuret rëndë dhe zhvillon vështirësi në frymëmarrje.
Njerëzit e moshuar dhe ata me probleme kronike mjekësore si presioni i lartë i gjakut, problemet me zemër ose diabet, kanë më shumë gjasa të zhvillojnë sëmundje serioze.
Njerëzit me ethe, kollë dhe vështirësi në frymëmarrje duhet të kërkojnë kujdes të menjëhershëm mjekësor.
Më 30 Janar 2020, Organizata Botërore e Shëndetit (OBSH) u takua dhe përcaktoi që shpërthimi është një Urgjencë e Shëndetit Publik të Shqetësimit Ndërkombëtar (PHEIC). Më 11 Mars 2020, OBSH vlerësoi se COVID-19 mund të karakterizohet si një pandemi.
Pra, COVID-19 është një sëmundje globale, andaj, urgjentisht nevojitet të kuptohet më mirë patobiologjia dhe implikimet klinike të infeksionit viral që çon në sëmundshmërinë dhe vdekshmërinë kaq të madhe nga virusi COVID-19.
Hulumtimet në 55.924 raste të konfirmuara laboratorike në Kinë tregojnë se raporti i papërpunuar i vdekshmërisë për pacientët COVID-19 është shumë më i lartë në mesin e atyre me sëmundje kardiovaskulare, diabet, hipertension, sëmundje kronike të frymëmarrjes ose kancerit sesa ata që nuk kanë sëmundje kronike para-ekzistuese. Kjo tregon se këto gjendje para-ekzistuese mund të kontribuojnë në rritjen e ndjeshmërisë së individëve të tillë ndaj virusit Covid-19.
Infeksioni koronavirus (sëmundja koronavirus, COVID-19) nuk tregon shenja të përkeqësimit të shpejtë.
Ashtu si sëmundjet e tjera që lidhen me familjen koronavirus siç është SARS (SindromiAkut Respirator i Rëndë), COVID-19 është një sëmundje e cila fillimisht prekë sistemin e frymëmarrjes. Ndërsa, sipas të dhënave në dispozicion, virusi që shkakton COVID-19 (SARS-CoV-2) është nga e njëjta familje si MERS-CoV dhe SARS-CoV, të cilat poashtu kanë qenë të shoqëruara edhe me dëmtim të sistemit kardiovaskular (qoftë akut ose kronik).
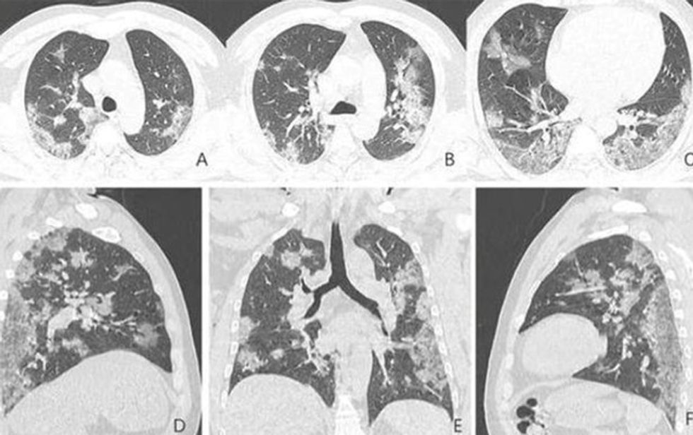
Imazhe të mushkërive në radiogramet e pacientëve të sëmurë me COVID -19
Fatmirësisht shumica e njerëzve me coronavirus (Covid-19) kanë simptoma të lehta dhe bëjnë një shërim të plotë. Të kesh një sëmundje të zemrës dhe sistemit të qarkullimit të gjakut ndoshta nuk ju bën më të predispozuar të infektoheni nga coronavirusi në krahasim me të tjerët. Por, kushdo që ka një sëmundje të zemrës konsiderohet se ka rrezik më të lartë të komplikimeve më të rënda të coronavirusit Covid 19.
Pacientet me hipertension dhe sëmundje kardiovaskulare duket se janë shumë të ndjeshëm ndaj efekteve të rënda të saj, me shkallë të vdekshmërisë 2-3 herë më të lartë, sesa popullsia e përgjithshme (Raporti i Misionit të Përbashkët WHO-Kinë). Raportet e fundit për miokarditin e rëndë dhe aritmitë fatale sugjerojnë ndikimin e mundshëm kritik të COVID-19 në sistemin kardiovaskular.
Përveç kësaj, ka prova që coronaviruset mund të udhëtojnë në mënyrë retrograde nga mushkëritë në qendrën kardiorespiratore të sistemin truror përmes sinapseve neuronale, duke kontribuar potencialisht në manifestimin e pamjaftueshmërinë (insuficiencës) respiratore.
Coronavirusi SARS, për cilit lidhet ngushtë virusi pandemik aktual SARS-CoV-2, është gjetur në trurin si te pacientët ashtu edhe tek kafshët eksperimentale, dhe është parë që sistemi truror ishte i infektuar rëndë. Në shpërthimin e COVID-19 në Kinë, manifestimet neurologjike ndodhën në 36% të pacientëve, duke përfshirë goditje trurore në 6% dhe encefalopati në 15%.
Disa pacientë me sëmundje të zemrës konsiderohen me rrezik jashtëzakonisht të lartë. Sidomos ata që kanë kryer transplantim të ndonjë organi, përfshirë edhe transplant të zemrës, gratë shtatzëna dhe ata që kanë sëmundje të rëndë të zemrës (të çdo lloji, përfshirë kongjenitale).
Këta njerëz tani këshillohen të mbrojnë veten duke qëndruar në shtëpi dhe duke minimizuar kontaktin me njerëzit me të cilët jetojnë, për 12 javët e ardhshme. Kjo quhet mbrojtje. Nëse jeni në një nga këto grupe, do të duhej të kontaktoheni direkt nga institucioni kompetent dhe të merrni këshilla tjera.
Nëse nuk i takoni grupit me rrezikshmëri shumë të lartë, akoma mund të jeni në rrezik veçanërisht nëse:
▪ keni sëmundje të zemrës dhe jeni mbi 70 vjeç
▪ keni sëmundje të zemrës dhe sëmundje të mushkërive ose sëmundje kronike të veshkave
▪ keni anginë pektorale që kufizon jetën tuaj të përditshme dhe e mvarur nga përdorimi shpeshtë i nitroglicerinës
▪ pamjaftueshmëri të zemrës, veçanërisht nëse ajo kufizon jetën tuaj të përditshme.
▪ sëmundja e rëndë e valvuleve të zemrës e shoqëruar me simptoma (si p.sh. frymëzënie, ose
▪ jeni duke pritur për operacionin e valvuleve)
▪ jeni duke u rikuperuar nga operacioni në zemër të hapur në tre muajt e fundit (përfshirë operacionin e By-passit të zemrës)
▪ kardiomiopatia (e çfarëdo lloji)
▪ sëmundje kongjenitale e zemrës (çfarëdo lloji) dhe ndonjë nga sëmundjet tjera:
- sëmundje të mushkërive
- hipertension pulmonar
- shtatzënia
Nëse bëni pjesë në një nga këto grupe, këshilla është e njëjtë si për të gjithë njerëzit (por nëse jeni veçanërisht vulnerabil - të rrezikuar, duhet të jeni edhe më të kujdesshëm për të mbrojtur veten): qëndroni në shtëpi larg edhe nga nevojat thelbësore.
Nëse nuk bëni pjesë në një nga grupet e mësipërme, pra nuk keni probleme të mëdha me zemër ose ndonjë prej këtyre gjendjeve do të thotë që nuk jeni në rrezik të lartë - përsëri, duhet të qëndroni në shtëpi, përveç nevojave thelbësore:
▪ keni sëmundje iskemike e zemrës, si sulmi në zemër, i stentuar, pas operimit në zemër.
▪ jeni mbi 70 vjeç
▪ keni presion të lartë të gjakut (hipertension)
▪ jeni shtatzënë
▪ diabet
▪ sëmundje të mushkërive, përfshirë astmën
▪ sëmundje kronike e veshkave
▪ goditje në tru
▪ demencë vaskulare ose sëmundje të enëve të vogla në tru.
Nëse keni sindromën Brugada ose sindromën Long QT intervalin dhe vëreni simptoma të coronavirusit (veçanërisht një temperaturë të lartë), duhet sa më parë të kontaktoni mjekun kardiolog dhe t'i tregoni për gjendjen tuaj të zemrës, si dhe nëse ju thuhet të shkoni në spital. Kjo për shkak se ju mund të keni nevojë për EKG shtesë për të monitoruar zemrën tuaj, dhe gjendja juaj e zemrës indikon trajtim adekuat për Covid-19.
Nëse keni fibrilacion atrial, nuk ka informacione të mjaftueshme për momentin që tregojnë nëse ajo ose probleme të tjera jonormale të ritmit të zemrës ju vë në rrezik më të madh nga koronavirusi. Duket e mundshme nëse keni fibrilacion atrial të kontrolluar mirë, që rreziku juaj është më i ulët sesa për grupet e përmendura më lart.
Koronavirusi Covid-19 është një sëmundje e re dhe ne nuk dimë gjithçka se kush rrezikohet më shumë nga komplikimet. Pacientët e tjerë me sëmundje të zemrës mund të jenë akoma në rrezik shumë të lartë ose me rrezik të lartë.
Kjo listë bazohet në informacionin më të mirë të disponueshëm nga ekspertë përkatës. Është e mundur që kushte të tjera mund të ju rrezikojnë që nuk dimë ende, prandaj është e rëndësishme që të gjithë të angazhohen shumë për të mos u infektuar ose përhapur coronavirusin.
Nëse keni simptoma të coronavirusit, është thelbësore të shkoni sa më parë në spitalin më të afërt.
Meqenëse në këtë periudhë karantine dhe izolimi të plotë ose të pjesërishëm shumë duhanxhinj nuk përmbahen nga tymosja e duhanit, këshillat për përmbajtje nga tymosja e duhanit janë jetike.
Cilat janë marrëdhëniet e mundshme midis përdorimit të duhanit dhe epidemisë COVID19?
Çdo lloj pirje e duhanit është e dëmshme për sistemet trupore, përfshirë sistemin kardiovaskular dhe atë të frymëmarrjes në veçanti. Kjo lidhje midis COVID-19 dhe shëndetit kardiovaskular është e rëndësishme sepse përdorimi i duhanit dhe ekspozimi ndaj tymit të dorës së dytë janë shkaqet kryesore të sëmundjeve të zemrës në përgjithësi. Efekti i COVID-19 në sistemin kardiovaskular mund të bëjë që sëmundjet para-ekzistuese kardiovaskulare të përkeqësohen.
Duhani ka një ndikim të madh sidomos në sistemin e frymëmarrjes. Lidhja midis përdorimit të duhanit dhe kancerit të mushkërive është i njohur, duke qenë përdorimi i duhanit shkaku më i shpeshtë i kancerit të mushkërive. Duhani gjithashtu rrit ndjeshëm rrezikun e infeksionit të tuberkulozit.
Më tej, përdorimi i duhanit është gjithashtu faktori më i rëndësishëm i rrezikut për sëmundjen pulmonare obstruktive kronike (COPD), duke shkaktuar ënjtje dhe qarje të qeskave të ajrit (alveolave) në mushkëri, gjë që zvogëlon aftësinë e mushkërive për të marrë oksigjenin dhe larguar dyoksid karbonin, zvogëlon formimin e mukusit, që rezulton në kollitje të dhimbshme dhe vështirësi në frymëmarrje.
Kjo mund të ketë pasoja për duhanpirësit, duke pasur parasysh që pirja e duhanit konsiderohet të jetë një faktor rreziku për çdo infeksion të traktit të poshtëm të frymëmarrjes dhe virusi që shkakton COVID-19 prek kryesisht sistemin e frymëmarrjes, duke shkaktuar shpesh dëme prej atyre të lehta deri te ato shumë të rënda të frymëmarrjes.
Informatat nga Kina, ku ka origjinën COVID-19, tregojnë se njerëzit që kanë sëmundje kardiovaskulare dhe të frymëmarrjes të shkaktuar nga përdorimi i duhanit, janë në rrezik më të lartë për të zhvilluar simptoma të rënda të përshkruara në epideminë COVID-19. Për më tepër, një sistem kardiovaskular më i dobët në mesin e pacientëve me COVID-19 me një histori të përdorimit të duhanit mund t’i bëjë pacientët e tillë të ndjeshëm ndaj simptomave të rënda, duke rritur dukshëm edhe mundësinë e vdekjes.
Nga sa u tha më lartë, rrjedh se është shumë e rëndësishme që të ndiqni këshillat e shërbimeve mjekësore të qeverisë, në përballimin e kësaj pandemie që ka përfshirë tërë globin, me një shpërthim të fuqishëm dhe me një shkallë të lartë të sëmundshmërisë dhe vdekshmërisë. /Telegrafi/

























































