Barku i trashë ndikon edhe në tru

40:"Woman poking man in stomach, mid section 12:"Getty Images
Hulumtimet e reja shkencore të bëra në Universitetin e Medicinës në New York kanë zbuluar sesi te njerëzit me vëllimin e madh të belit janë zvogëluar aftësitë kognitive të trurit.
Në hulumtim janë përfshirë 44 njerëz, të cilët konsiderohen të trashë dhe 19 njerëz të peshës normale.
Ky zbulim është shenjë paralajmëruese për të gjithë njerëzit e trashë.
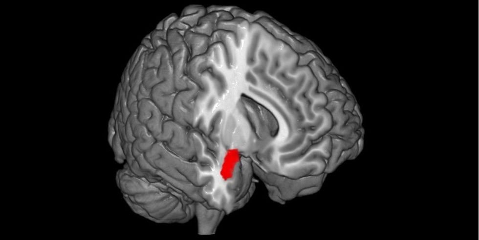
Në zonën e trurit, e cila është e ngarkuar të kontrollojë konsumimin e ushqimit, amigdala, është vërejtur që te njerëzit e trashë mbetet më shumë ujë, çka mund të sjellë deri te zvogëlimi i numrit të neuroneve apo tkurrja e tyre.
Edhe pse ndryshimet në tru nuk janë të rëndësishme, megjithatë janë shenja paralajmëruese të ndikimit negativ të kripës në tru.
Nga
Telegrafi
10/04/2016
Top Lajme
Promo Reklamo këtu
Jobs
Real Estate






















































