Tumoret "Borderline“ të vezoreve

Tumoret Borderline të vezoreve janë definuar si tumore me disa, por jo me të gjitha karakteristikat e kancerit të vezoreve Dr. sci. Naim Shabani Gjinekolog-obstetër dhe patolog
Tumoret e vezoreve mund të jenë të ndryshëm. Përpos dy grupeve të mëdha të tumoreve (të ndarë sipas natyrës së tyre - dignitetit) beninj dhe malinj, ekziston edhe një entitet i tumoreve të vezoreve në kufi, në mes këtyre entiteteve 'borderline'.
Meqenëse këto tumore posedojnë disa kritere të tumoreve malinje (karcinomës), janë emëruar edhe si tumore me potencial të ulët malinj (tumors of low malignantpotential = LMP).
Sa janë të shpeshtë këto lloj tumoresh dhe si manifestohen?
Janë relativisht të rrallë. Diku rreth 24 prej 1.000.000 femrave preken nga ky tumor. Në krahasim me kancerin e vezores, nga kjo sëmundje preken femrat më të reja. Mosha mesatare e tyre është 53 vjeç, kurse ajo e femrave të prekura me kancer të vezores - 59 vjeç.
Simptomat e para janë: dhimbje e abdomenit, ndjenja e fryrjes së barkut si dhe gjakderdhje atipike vagjinale.
Ekzaminimi klinik gjinekologjik dhe ultrazëri janë metoda standarde në përgjithësi për diagnostikimin e tumoreve të vezoreve. Në ultrazë mund të konstatohet cista e vezores me madhësi të ndryshme deri 30 cm, me areale solide dhe cistike. Një formacion i tillë (tumor) duhet të operohet dhe të largohet komplet vezorja e përfshirë.
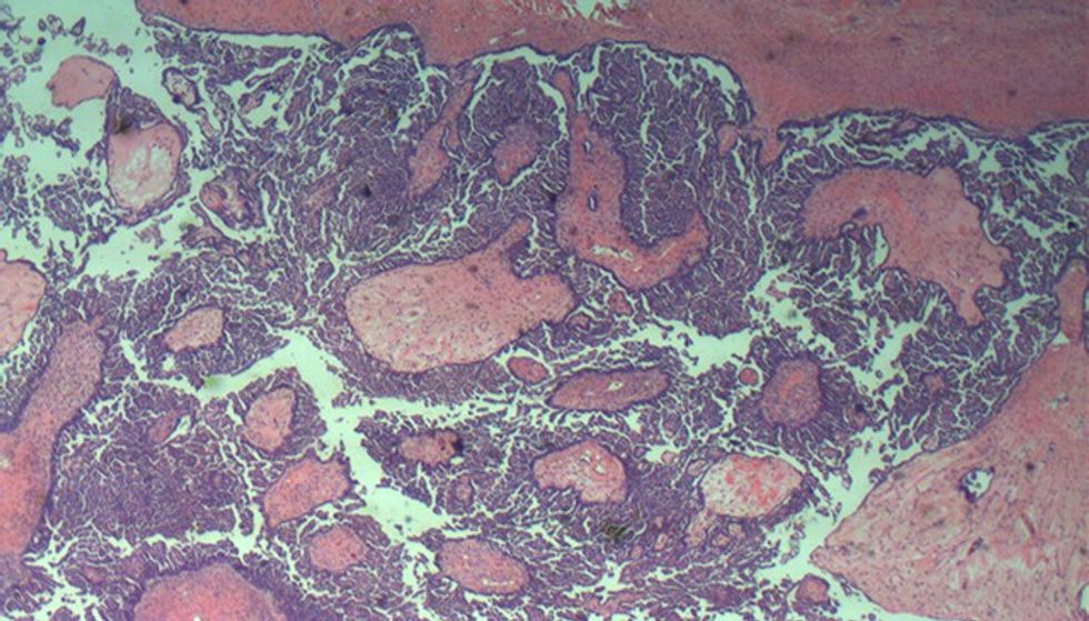
Diagnoza definitive (a bëhet fjalë për tumor beninj cystadenome, për tumor malinj-karcinomë ose tumor kufitar- borderline), bëhet gjatë ekzaminimit histopatologjik të tumorit.
Cila është terapia e këtyre tumoreve
Terapia e tumoreve Borderline është analoge me atë të kancerit të vezores. Pas largimit operativ të tumorit të vezores dhe konstatimit histopatologjik se bëhet fjalë për tumorin "borderline", pacientja duhet t'i nënshtrohet operacionit të dytë.
Nëse pacientja ka përfunduar planifikimin familjar (ka fëmijë) duhet të largohet: mitra, vezorja tjetër, omentumi (mbështjellësi dhjamor i zorrëve); të merren biopsi nga muri i komblikut dhe abdomenit. Intervenimi i dytë mund të bëhet edhe me laparoskopi (nëse spitali posedon aparaturën adekuate dhe ekipin e trajnuar të mjekëve).
Në rastet kur pacientja ka dëshirë të lindë fëmijë (planifikimi familjar nuk ka përfunduar), mund të ruhet mitra dhe vezorja tjetër (duhet të merret biopsia nga ovari patjetër). Pacientes i preferohet të mbetet shtatzënë sa më shpejtë që është e mundur dhe pas lindjes t'i nënshtrohet operacionit për heqje të mitrës dhe vezores së mbetur.
Heqja e nyjeve limfatike pelvine dhe paraortale siç është metode standarde te kanceri i vezores, nuk preferohet të bëhet te tumori borderline.
Pacientet e diagnostikuara me kohë, në stadiumin I, kanë një prognozë të shkëlqyeshme (mbijetesa 15 vjeçare është 99%). Në rastet kur gjejmë pjesë të tumorit jashtë komblikut, mbijetesa është më e ulët.
A është e nevojshme hemoterapia?
Në stadiumet e hershme të tumorit, pacientet nuk përfitojnë nga hemoterapia, andaj edhe nuk ka indikacion që kjo të aplikohet (pacientja më shumë ka dëme sesa dobi nga kjo terapi). Vetëm në stadiumet e avancuara si dhe te të ashtuquajturat 'implantate' të tumorit në abdomen, preferohet të jepet hemoterapi të substancës platin.
Përcjellja klinike e pacienteve (follow-up)
Te rastet me remision komplet (shërim i plotë), preferohet kontrolli klinik. Gjatë tri viteve të para - çdo 3 muaj, pastaj çdo 6 muaj deri sa të bëhen 5 vite pas operacionit e pastaj çdo vit. Gjatë këtyre kontrollimeve klinike, duhet të bëhet anamneza e detajuar, kontrolli i përgjithshëm klinik dhe gjinekologjik me ultrazë vagjinal dhe abdominal.
Për diagnostikë imazherike si CT, RMT, etj. nuk ka indikacion nëse pacientja nuk ka ankesa të theksuara.
Nëse te pacientja me tumor të vezores para intervenimit të parë është konstatuar rritje e tumormarkerit Ca 125, atëherë mund të vazhdohet të kontrollohet vlera e tij në serum gjatë 'follow-up'-it klinik. Rritja e sërishme mund të na sinjalizojë tumorin recidiv.
Rezyme:
Parakusht për terapi adekuate te tumori borderline i vezores, është diagnostikimi me kohë (patologu me përvojë dhe përpunimi i shumë blloqeve të parafinës me tumor - çdo 1 cm e tumorit do të duhej të ekzaminohet nën mikroskop).
Terapia standarde përfshinë adnexektomine bilat (heqje e të dy vezoreve), Hysterektomi (heqje e mitres), omentektomi dhe biopsi të peritoneumit. Heqja e nyjeve limfatike nuk është obligative. Operimi komplet i tumorit nuk kërkon aplikim të hemoterapisë.
Përcjellja klinike (follow-up) duhet të bëhet gjatë tërë jetës.

Pacientja 61 vjeçe, 3G, 2P, me dhimbje barku tash disa javë. Në ultrazë është vërejtur ciste e vezores së majtë 7 cm në diametër.
Pas përgatitjeve rutinore bëhet intervenimi operativ: Heqje e të dy vezoreve me Laparoskopi.
Rezultati histopatologjik tregon se kemi të bëjmë me tumor borderline të vezores së majtë.
Pas 2 javësh planifikohet operimi i dytë për të larguar mitrën dhe në këtë rast edhe omentumin (mbështjellësin e zorrëve). Largimi i mitrës me anë të Laparoskopise nuk paraqet ndonjë problem të madh. Ndërkaq largimi i omentumit të zorrëve zakonisht bëhet me prerje vertikale të abdomenit deri përmbi kërthizë.
Meqenëse unë kisha bërë këtë operim disa herë në Univerzitetin e Jenes dhe poashtu kisha asistuar në disa raste, për të mos ia hapur barkun pacientes, vendosa ta kryej këtë intervenim komplet përmes laparoskopisë.
Intervenimi shkoi me sukses dhe ishte i pari i këtij lloji në historinë e klinikës. Pacientja kur u zgjua nga narkoza ishte shumë e lumtur kur vërejti se nuk ka plagë të madhe në bark.
Analiza histopatologjike e mitrës, biopsive të peritobeumit dhe omentumit, nuk tregoi ndonjë masë tumoroze (metastazë) në këto organe.
Për pacienten, terapia komplete përfundon këtu. Përcjellja e gjendjes së saj duhet të bëhet çdo tre muaj, siç u cekë më lartë në artikull. /Telegrafi/























































