Studiuesit publikojnë skanimet e mushkërive të fëmijëve me COVID-19: Pasojat që shkakton infeksioni

Mjekët që kanë publikuar skanimin e fëmijëve pasi kontraktojnë coronavirusin vrasës kanë paralajmëruar që pacientët e shtruar në spital mund të pësojnë dëme në mushkëri
Ekipi nga Spitali i Fëmijëve në Boston vlerësoi skanimet nga rastet pediatrike të COVID-19 për të parë tiparet më të zakonshme.
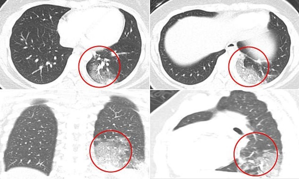
Në një studim të 20 fëmijëve, pothuajse dy të tretat kishin Ground-glass opacity (GGO) (zonë me mjegull të shtuar në mushkëri), një tregues i inflamacionit të përhapur.
Gjysma e pacientëve kishin atë që njihet si ‘shenja halo’, që ndodh kur inflamacioni rrethon një masë, e njohur si konsolidim.
Konsolidimi e bën të vështirë frymëmarrjen sepse qeskat e ajrit të mushkërive janë të mbushura me substanca të tilla si lëngu ose infeksioni.
Fëmijët në përgjithësi duket se janë më pak të prekur nga COVID-19 sesa të rriturit, dhe janë më të rrezikuar nëse kanë një gjendje themelore.
Mjekët, të udhëhequr nga radiologu Alexandra Fuust, vendosën të krahasojnë dëmin e COVID-19 me sëmundje të tjera të ngjashme me frymëmarrjen.
Ata shikuan SARS dhe MERS, të dy coronaviruset e lidhura, H1N1, dhe EVALI – një gjendje e zbuluar rishtazi e lidhur me thithjen e tymit.
Për shkak se SARS-CoV-2, virusi që shkakton COVID-19, është kaq i ri, prova e efekteve të tij në shëndet është e kufizuar, veçanërisht për fëmijët. Të dhënat nga Qendrat për Kontrollin dhe Parandalimin e Sëmundjeve sugjerojnë që vetëm 1.7 përqind e rasteve të diagnostikuara me COVID-19 janë nën 18 vjeç.
Dr Foust dhe kolegët morën pesë studime dhe vunë re ndryshimet më të dukshme në mushkëritë e fëmijëve, duke publikuar gjetjet e tyre në “American Journal of Roentgenology”.
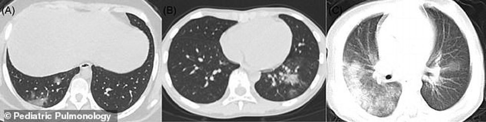
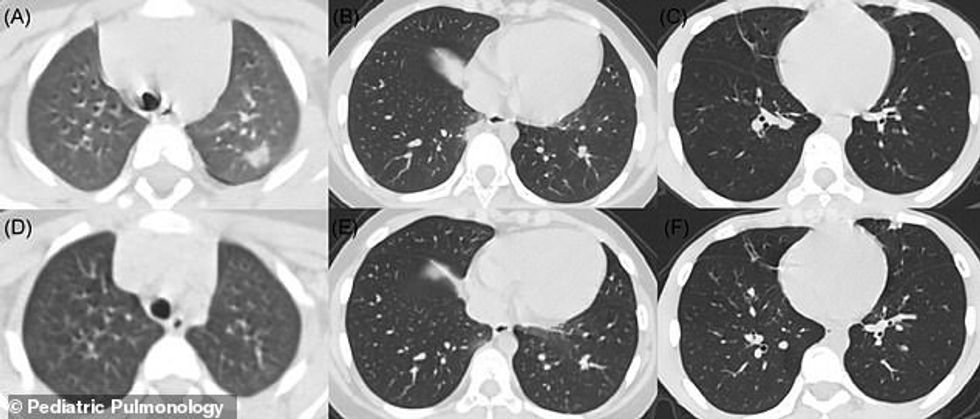
Një studim në qytetin kinez Wuhan shikoi 20 pacientë të spitalit pediatrik me COVID-19 midis moshave të një dite dhe 14 vjeç. Trembëdhjetë ishin meshkuj.
Të gjithë pacientët kishin lezione – një pjesë e indeve që është dëmtuar ose është ndryshuar në mënyrë anormale – në muret e mushkërive.
Gjysma kishte lezione bilaterale në mushkëri, domethënë për të dy palët, ndërsa 30 përqind kishin lezione në vetëm një mushkëri.
Gjashtë në dhjetë pacientë kishin një GGO, e cila është një re e mjegullt mbi mushkëri që tregon një larmi problemesh.
Mund të nënkuptojë që mushkëritë janë të mbushura pjesërisht me lëndë jo të zakonshme, ka trashje të indeve të mushkërive ose kolaps të pjesshëm të valvuleve - qeskat e vogla ajrore të mushkërive.
Gjysma kishte konsolidim, që është hapësira ajrore në mushkëritë e tyre të mbushura me një substancë, zakonisht qelb, gjak ose ujë.
Radiografët e quajnë atë “shenjën e halo”, dhe megjithëse është një tipar i zakonshëm i sëmundjes së mushkërive, mund të jetë më unik për COVID-19.
Mjekët që qëndronin pas këtij studimi, të botuar në “Pulmonologjinë Pediatrike”, thanë se ‘konsolidimi me shenjat rrethore ishte i zakonshëm në pacientët pediatrikë të cilët ishin të ndryshëm nga të rriturit’. /Dailymail






















































