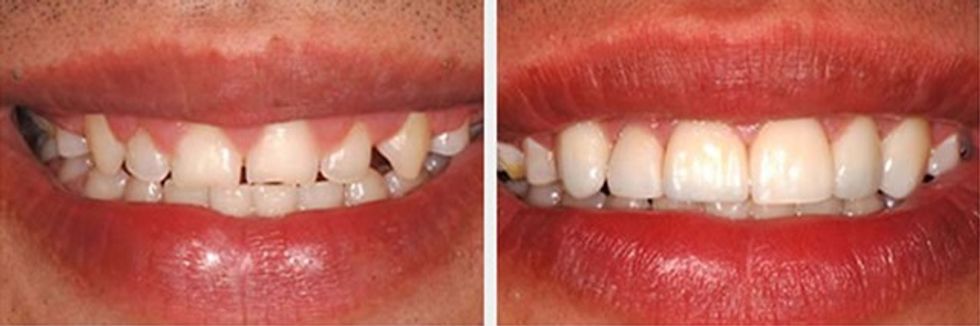
Korrigjimi estetik i buzëqeshjes me Veneers (faseta)

Çka janë Veneers apo Fasetat? Kur aplikohet trajtimi me Veneers? Cilët janë avantazhet e trajtimit me Veneers? Sa është kohëzgjatja e tyre? Dr. Donart Mexhuani Stomatologtel. 044 108 000 www.facebook.com/drdonartmexÇka janë Veneers apo fasetat?
Veneers apo fasetat janë shtresa qeramike (porcelani) të cilat vendosen sipër dhëmbit natyral me ç'rast e imitojnë natyralitetin e dhëmbit maksimalisht dhe njëkohësisht e korigjojnë paraqitjen estetike të dhëmbëve në hark.
Aplikimi i Veneers (fasetave) indikohet në rastet kur pacienti i ka të pranishëm dhëmbët e vet natyral dhe kur dëshirohet që ata të kenë pamje estetike më të mirë gjithmonë duke ruajtur sa më shumë strukturë të dhëmbëve natyral.
Efektet që vendosen në fasetë, japin përshtypjen e dhëmbëve natyralisht të bukur dhe qëllimi i tyre është që të mos dallohen që janë porcelan.
▪ Te dhëmbët të cilët kanë diskolorime - për shkak të trajtimit të kanalit rrënjësorë; njollave nga tetraciklina ose medikamenteve tjera, fluoride të tepruara ose prezencë të mbushjeve të mëdha të rrëshirës që kanë zbardhur dhëmbin.
▪ Te dhëmbët që janë të zhveshur.
▪ Te dhëmbët që janë copëtuar ose thyer.
▪ Te dhëmbët që nuk kanë renditje të drejtë, të barabartë ose në formë të rregullt.
▪ Te dhëmbët me hapësirë mes tyre (për të mbyllur hapësirën midis këtyre dhëmbëve).
2. Gingiva (mishi i dhëmbëve) ka tolerancë të mirë me porcelanin.
3. Ngjyra e një fasete prej porcelani mund të zgjidhet në mënyrë të tillë që të bëjë që dhëmbët e errët të duken më të bardhë.
4. Fasetat ofrojnë një qasje konservatore (ruajtëse e strukturës dhëmbore) për të ndryshuar ngjyrën dhe formën e një dhëmbi.
Sa është kohëzgjatja e fasetave?
Fasetat zakonisht qëndrojnë 7 deri në 15 vjet, mirëpo jetëgjatësia e tyre varet nga kujdesi që e ka pacienti për to. Sidoqoftë, ato nuk kërkojnë ndonjë trajtim special.
Si duhet të jetë përkujdesja për faseta?
Higjiena orale duhet të mbahet mirë dhe të vazhdojë me larjen e dhëmbëve 2 herë në ditë, pastrim me floss dental si dhe shpëlarje me solucione antiseptike. /Telegrafi/






















































