Elastografia në diagnostikën e gjirit

Dr. Burim Polloshka
Specialist radiologO.S. “B/Med”, Gjakovëtel. 044 179 660
Me zhvillimin e vazhdueshëm të teknologjisë edhe në sferën e diagnostikës, dita-ditës po arrihen sofistikime nga më të ndryshme për të bërë sa më preciz diagnostikimin e patologjive të ndryshme. Një nga këto zhvillime aktuale është edhe Elastografia si rezultat i hulumtimeve multidisciplinare.
Aparaturat aktuale të sofistikuara të ultrazërit përmbajnë paketat softuerike për aplikim të elastografisë të integruara në platformat bazë ose që mund të integrohen në aparatura ekzistuese, kuptohet, të viteve të fundit.
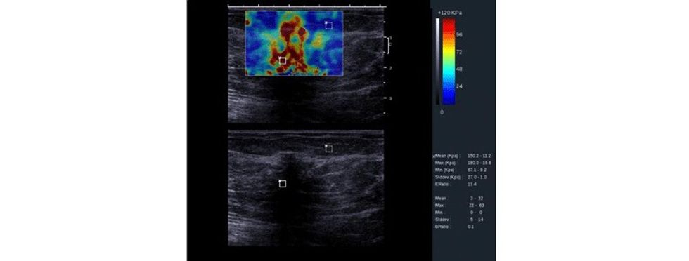
Të dhënat e fituara përpunohen përmes paketës softuerike në formë të color mapping apo grayscale për të vizualizuar zonën me interes e cila ekzaminohet.
Çfarë është elastografia
Elastografia është një teknikë dinamike e zhvilluar kohëve të fundit që përdor ultratingullin (US) për të vlerësuar ngurtësinë e indeve, duke matur shkallën e deformimit apo zhvendosjen e indit të caktuar pas aplikimit të një force të jashtme.
Parimet bazë te elastografisë bazohen në dukurinë që indet nën kompresion shfaqin tendosje dhe kjo do të paraqitet me karakteristika të ndryshme. Prandaj, nën kompresion, në boshtin aksial, duke bërë matjet, mund të vlerësohet ngurtësia dhe elasticiteti i indit, para dhe pas kompresionit, ndërsa imazhi i paraqitur dhe i llogaritur quhet elastogram, ku fushat me ngurtësi të rritur dhe elasticitet të ulur paraqiten me ngjyrë të kaltër.
Elasticiteti ndryshon në inde të ndryshme (yndyrore, kolagjen, etj.) si dhe në gjendje të caktuara inflamatore.
Indet paraqesin tendencë të ngurtësisë në ndërrimet malinje dhe imazhet rezultojnë me një kontrast me të rritur meqë kanë tendencë të ngurtësimit dhe fortësisë që rezulton me tendosje dhe ulje të elasticitetit nën kompresion të aplikuar.
Elastografia si metodë gjen aplikim të rëndësishëm në diagnostikën e gjirit. Nëse me mamografi detektohet një formacion (masë tumoroze) e dyshimtë, atëherë për evaluim të mëtutjeshëm aplikohet ultrazëri qëllimor i regjionit suspekt.
Me aplikimin e elastografisë krahas ultrazërit konvencional, mundësohet që të rritet specificiteti i ultrazërit, sidomos në lezionet e kategorizuara me BiRads 4, duke bërë përcaktimin e elasticitetit të indit, detektim të qartë të nivelit të elasticitetit të indit dhe, marrë parasysh që formacionet me natyrë malinje kanë dendësi më të lartë dhe elasticitet të ulur gjatë aplikimit të kompresionit në boshtin aksial e shprehur në kPa. Pastaj me anë të mapingut qartë detektohet natyra e lezionit.
Si rezultat kemi reduktimin e biopsive meqë në 90% të rasteve me saktësi mund të vërtetohet natyra e formacionit. Sipas disa studimeve të publikuara në Radiological Society of North America (RSNA), është vërtetuar që rreth 80% e biopsive të kryera në formacione suspekte të detektuara rezultojnë të jenë me natyrë beninje.
Përveç caktimit të natyrës së formacionit, me saktësi më të duhur mund të përcaktohen edhe dimensionet e formacionit duke detektuar më me saktësi ndryshimet në indet përreth, të cilat me metodën e ultrazërit konvencional, nuk mund të detektohen me saktësi.
Duke analizuar benefitet, elastografia, në të ardhmen do të gjej aplikim të gjerë si metodë shtesë krahas metodave të screeningut (mamografia) dhe atyre diagnostike (ultrazëri, MRI).
Shembuj konkret ilustrativë:





Telegrafi/






















































