Simptomat e kancerit në mushkri që çdo njeri duhet t’i ketë parasysh

Nuk keni nevojë të pini duhan që të jeni të prekur nga kjo sëmundje.
Është e lehtë të supozoni se nuk keni pirë kurrë duhan, dhe kështu nuk duhet të brengoseni për kancerin në mushkri, transmeton Telegrafi.
Por, fatkeqësisht, kjo nuk është e vërtetë: Nga 5 deri në 15% e njerëzve që janë diagnostikuar me kancer në mushkri nuk janë duhanpirës, thonë ekspertët.
Ja edhe një fakt tjetër më shqetësues: Kanceri në mushkri është lloji kryesor i kancerit që vret më shumë gra amerikane sesa kanceri në gji dhe prostatë.
Sidoqoftë, më poshtë i keni disa prej simptomave kryesore që shërbejnë si indikatorë se mund ta keni këtë sëmundje:
Keni kollitje që nuk ndalet
Nëse keni kollitje për muaj të tërë dhe jeni duke pretenduar se çdo gjë është në rregull, bëni një kontroll te doktori.
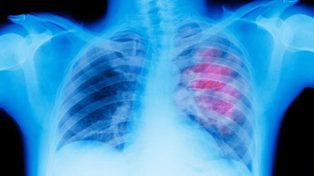
Rrezatimet ultraviolete në gjoks janë hapi kryesor, por nuk janë të mjaftueshme. Skanimet e CT-së janë të rëndësishme për të parë më mirë gjendjen e shëndetit tuaj.
Veç kësaj, CT është mënyra më e mirë për të njohur shkallët e para të sëmundje në gjoks, duke përfshirë edhe simptomat e kancerit në mushkri.
Keni bronkit ose infeksione tjera
Infeksionet e vazhdueshme të gjoksit, si bronkiti ose pneumonia kronike janë shenja të tumorit të cilat mund të jenë duke jua bllokuar rrugët e frymëmarrjes.
Me bllokadë, ajri është i limituar dhe sekrecionet e mukozës mund të ngecin, duke shkaktuar infeksione të vazhdueshme. Nëse nuk mund të shëroheni nga infeksionet në gjoks jeni duke pasur problem me pneumoni, flisni me doktorin.
Jeni duke humbur peshë pa dashur
Humbja e pashpjegueshme e peshës është gjithmonë shenjë paralajmëruese – sidomos kur flitet për kancerin. Sëmundja merr shumë nga nutricionet që trupi duhet t’i absorboj, plus sekreton hormone të cilat e nxisin sindromën e paraneoplastikës, gjendje e ndërlidhur me kancerin që mund të shpijë deri te simptomat si humbja e peshës.
Nëse humbni më shumë se 5-10% të peshës së trupit në mënyrë të pashpjegueshme, atëherë konsultohuni me doktorin.
Jeni duke pasur ënjtje në qafë dhe fytyrë
Këto simptoma janë më prezente në disa lloje të caktuara të kancerit, por gjithmonë mbesin shenja se diçka e keqe mund të jetë duke i ndodhur trupi – në këtë rast kanceri.
Muskuj ndjehen të dobët
Kanceri në mushkri prekë edhe muskujt njëjtë sikur organizmin. Një nga zonat e para të ndikuara janë: ijët. Dobësimi në kraharorë, duar dhe këmbë janë gjithashtu të zakonshme.
Simptomat zakonisht shkojnë dorë pas dore me lodhje dërrmuese, dhe mund të jetë e vështirë për njerëzit që të bëjnë dallime mes dyve. Nëse nuk jeni duke u ndjerë mirë vazhdimisht, vizitoni mjekun. /Telegrafi/


















































