Si duket shpëlarja e vërtetë e trurit?

Mbase këtë nuk e keni ditur, mirëpo organizmi ynë çdo natë shpëlan trurin tonë
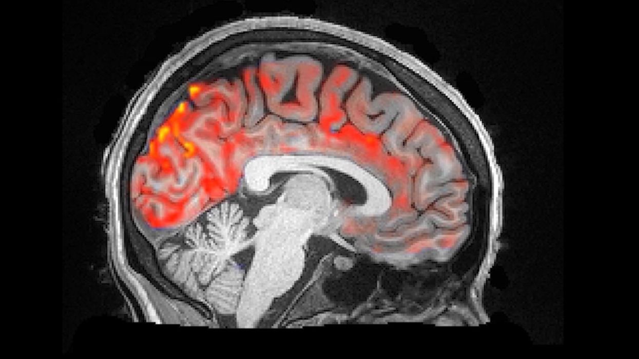
Neuro-shkencëtarët kanë bërë xhirim të mrekullueshëm në të cilin shihet pastrimi pulsues i aparatit tonë të trurit, shkruan Science Alert, transmeton Telegrafi.
Sipas hulumtimit më të ri, gjatë natës nëpër trurin tonë rrjedhin valët e lëngut cerebrospinalë, duke pulsuar ritmikisht derisa ne flemë gjumë dhe eliminojnë toksinën e dëmshme.
Lëngu cerebrospinal plotëson hapësirën përreth trurit dhe palcës kurrizore dhe i mbron nga prekja e drejtpërdrejtë me kafkën përreth trurit.
“Tashmë një kohë të gjatë e dimë që në neurone ekzistojnë valë të aktiviteteve elektrike. Mirëpo, sapo i kemi vërejtur valët në lëngun cerebrospinal”, ka thënë neuro-shkencëtarja Lora Lusi nga Universiteti i Bostonit.
Duke pasur parasysh që gjatë procesit të plakjes bie frekuenca e ngadalshme e valëve të trurit, ky studim më i ri do të mundë të ndihmojë me rastin e hulumtimit të problemeve të lidhura me plakjen, bashkë me çrregullimet specifike karakteristike për moshën vjetër.
/Telegrafi/





















































