Për cilën procedurë diagnostike radiologjike ju keni nevojë?

Metodat diagnostikuese radiologjike janë të pashmangshme kur ato duhen kryer dhe para se t’i realizoni ato, ju duhet të jeni të informuar se si ato kryhen dhe çfarë mund të jenë përfitimet dhe rreziqet që rrjedhin prej tyre Mr.Sci.Dr. Bujar Gjikolli,PhD candidatetel. 044 140 878
Për shumë vite radiologjia ka kontribuar në arritjen e diagnozës së pacientëve pa pasur nevojë të hyhet në trupin e njeriut për t’u fituar diagnoza. Ajo me zhvillimin e teknologjisë të cilën e aplikon, ka krijuar dhe krijon metoda diagnostike gjithnjë më të përsosura për të përfituar informata sa më të sakta dhe sa më të detajizuara për sëmundjen dhe gjendjen e pacientit.
Ekzistojnë metoda diagnostike radiologjike jo invazive dhe ato minimale invazive me të cilat pacienti u shmanget shumicës së ndërhyrjeve kirurgjike të dhimbshme e shpesh herë edhe të panevojshme që janë praktikuar me parë për qëllime diagnostike.
Fotografia përfitohet me bartjen e rrezeve të reflektuara të dritës nga objekti i fotografuar dhe për fotografi përdorë rrezet e dritës.
Imazheria radiologjike nuk përdor rrezet e dritës dhe imazhi i fituar me rreze rëntgen, ultratingull ose me rezonancë magnetike i bartur në film, në CD ose në letër - nuk mund të quhet fotografi pasi që ajo nuk përdorë rrezet e dritës për përfitimin e imazhit.
Doza e rrezatimit: në natyrë çdo ditë jemi të ekspozuar rrezatimit kozmik, burimeve radioaktive në natyrë si radoni, në punë, nga fushat magnetike të largpërçuesve, antenave të telefonisë mobile, televizorëve, etj.
Dozat mesatare të rrezatimit prezantohen përmes njësive ndërkombëtare mili sivert (mSv).
Nga të dhënat e poshtëshënuara mund të merrni informata bazike për rreziqet e përditshme dhe nga disa prej procedurave radiologjike:
⦁ Fluturimi pesë orësh me aeroplan: 0,03 mSv
⦁ Dhjetë ditë rrezatim natyror: 0,1 mSv.
⦁ Imazhimi i dhëmbit me rëntgen: 0.04-0.15 mSv
⦁ Imazhimi i gjoksit me rëntgen: 0.1 mSv
⦁ Mamografia: 0.7 mSv
⦁ TK e gjoksit: 7 mSv që është e barabartë me 24 muaj rrezatim natyror.
⦁ TK e kokës: 2 mSv.
⦁ TK e e barkut dhe pelvikut: 10 mSv.
⦁ Tk e zemrës për Ca score: 2 mSv.
Në vijim në pika të shkurtra do të gjeni informata bazë për secilën nga këto metoda radiologjike diagnostike, për përfitimet, përparësitë dhe për rreziqet që pacienti u kanosen pacientit.
Kur duhet të kryeni kontrollime radiologjike, mos ngurroni të pyetni mjekun referues dhe radiologun për informata praktike që juve ju intereson lidhur me procedurën që do t’i nënshtroheni, ose për informata tjera që juve ju interesojnë.
Imazhimi me rëntgen
Imazhimi me rreze rëntgen aplikohet që nga 8 nëntor 1895 kur Wilhelm Conrad Röntgen aplikoi rreze me gjatësi të vogël valore për përfitimin e imazhit të shuplakës së bashkëshortes së tij.
Rrezet rëntgen janë rreze të depërtueshme dhe në mjekësi përdoren për imazhimin e pjesëve të trupit. Gjatë kalimit të rrezeve rëntgen nëpër inde të ndryshme të trupit me dendësi të ndryshme (eshtrat, muskujt, organet, mushkëritë, gjinjtë) ato absorbohen në masë të ndryshme nga këto inde dhe si pasojë imazhi i përfituar merr karakteristikat e pjesës së trupit të imazhuar.
Imazhi i përfituar është dy dimenzional (gjatësinë dhe gjerësinë e pjesës së vizualizuar të trupit). Pjesët me dendësi më të madhe paraqiten si hije (rrezet nuk kanë depërtuar nëpër indin ose me depërtim minimal) dhe në imazhin filmik vizualizohen si të bardha, derisa pjesët e indeve të buta vizualizohen si transparencë (rrezet kanë kaluar me absorbim minimal nga indi) në film paraqiten si të errëta.
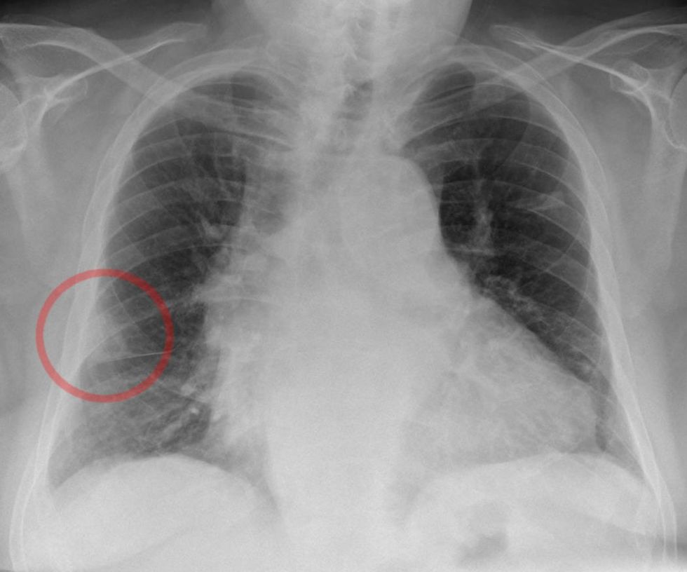
Imazh i mushkërive me rëntgen
Përmes imazhimit me rëntgen diagnostikohen sëmundje dhe anomali të kockave, nyjeve, mushkëri, gjinjve, barkut dhe të dhëmbëve.
Organet gypore të tretjes me qëllim të realizimit të kontrastit mes indeve dhe të vizualizimit të ndryshimeve në organet gypore, përdoret lëngu i kontrastit (përbërës bazë ka sulfatin e bariumit) që merret përmes gojës ose edhe përmes zorrës së trashë.
Për vizualizim të enëve të gjakut, mjeti i kontrastit (përbërës bazë ka jodin) merret drejtpërdrejtë në enë të gjakut dhe këto procedura quhen angiografi. Nëse imazhohen enët e zemrës, atëherë quhet koronarografi; nëse imazhohen enët e gjakut të trurit, quhen neuroangiografi.
Angiografitë kryhen në aparate të specializuara që për bazë kanë rrezet rëntgen dhe me procedura minimale invazive radiologjike mund të vendosen stentet përbrenda arterieve për të zgjeruar lumenin e tyre të ngushtuar. Imazhi i përfituar me rreze rëntgen në aparatet moderne tani mund të bartet jo vetëm në film, por edhe në CD ose edhe të shtypet në letër me ose pa ngjyra.
Rreziqet: Me ekspozimin e trupit në rreze rëntgen, ekziston mundësi e vogël që të vie deri tek dëmtimi i qelizave dhe të indeve, por ky rrezik zakonisht është i papërfillshëm krahasuar me përfitimin që pacienti merr me kryerjen e procedurës imazherike.
Indet më të ndjeshme në rrezet rëntgen janë gjëndrat seksuale, indet për prodhimin e gjakut (palca eshtërore), gjëndra tiroide, gjiri tek femrat. Gratë shtatzëna ose ato që mund të jenë shtatzëna përveç në raste të rrezikut për jetën e tyre, nuk preferohen t’u nënshtrohen imazhimit me rreze rëntgen veçmas në tre muajt e parë të shtatzënisë. Gratë që mund të jenë shtatzëne duhen treguar paraprakisht mjekut për fazën e ciklit menstrual në të cilin janë dhe për shtatzëninë e tyre.
Përdorimi i mjeteve më të reja të kontrastit që aplikohet përmes enëve të gjakut (jo jonik dhe izo osmolar) shumë rrallë mund të shkaktojnë reaksione alergjike. Pacienti duhet treguar paraprakisht mjekut, radiologut dhe radioteknikut për alergji nga përdorimi i mëparshëm i mjetit të kontrastit ose për alergji në produktet e detit, të cilat, poashtu përmbajnë jod.
Përparësitë: Procedura e realizimit të imazhimit me rreze rëntgen është e shpejtë, mjaftë e thjeshtë për t’u realizuar, pa dhimbje dhe relativisht e lirë. Pas imazhimit me rreze rëntgen, trupi nuk është burim i rrezatimit dhe nuk ka efekte anësore.
Tomografia e kompjuterizuar TK
Tomografia e kompjuterizuar TK është metodë imazherike radiologjike e cila poashtu përdorë rrezet rëntgen, por që ndryshimet në absorbim me kalimin e trupit detektohen nga detektor të posaçëm që i regjistrojnë ato. Aparati ka gentrin i cili ka në mes të saj një hapësirë rrethore nëpër të cilën kalon shtrati me pacientin e shtrirë në të. Gjatë incizimit gypi i rëntgenit qarkullon përreth hapësirës rrethore dhe realizon incizimin e tërë pjesës së caktuar të trupit.
TK përdoret për imazhimin e kokës, qafës, eshtrave, kurrizit, gjoksit, barkut, komblikut. Aparatet e reja shumë shtresore prej më së paku 6 shtresa me aplikim të kontrastit në enë të gjakut mund të bëjnë edhe angiografinë me TK të tërë trupit përveç të zemrës derisa ato prej 64 shtresa edhe koronarografinë me TK.
Imazhi i përfituar me TK jep edhe dimensionin e tretë që është thellësia.
Nën kontroll të TK mund të realizohen edhe procedurat minimale invazive të marrjes së biopsisë, drenimit të koleksioneve në hapësirat trupore, të aplikimit të barërave dhe të sklerotizimit të cisteve dhe të sistemit nervor simpatik – simpatikoliza.
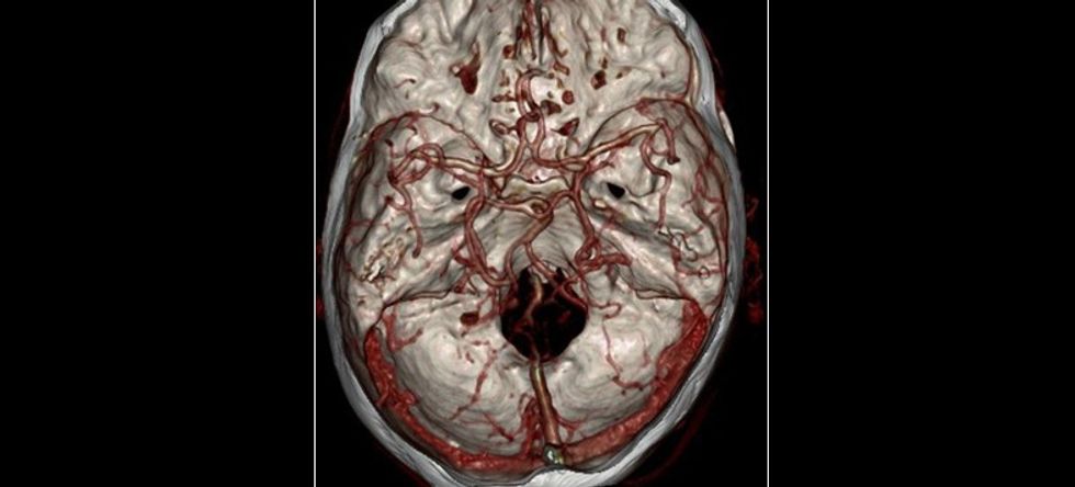
Imazhe të enëve të gjakut të trurit me tomografi të kompjuterizuar
Rreziqet: Gjatë incizimit me TK ekspozimi i pacientit në rreze rëntgen është shumë më i madh se me imazhim klasik me rëntgen. Dozat më të mëdha të marra me TK kanë rrezik të vogël, por jo të papërfillshëm për shkaktimin e kancerit.
Për këtë arsye duhet me kujdes dhe me arsye t’i qasemi këtij imazhimi dhe të vlerësohen përfitimet në raport me rrezikun. Në rast se aplikohet tek gratë që janë duke dhënë gji, gjidhënia duhet ndërprerë së paku 24 orë pas incizimit me TK me aplikim të kontrastit në enë të gjakut. Imazhin e përfituar me TK e deformon prezenca e trupave të huaj dhe e mjeteve metalike prezente në trup (aksidentalisht ose ato të implantuara nga mjeku).
Përparësitë: TK është procedurë e shpejtë, pa dhimbje dhe jo invazive. Me TK imazhet e përfituara janë mjaft të detajizuara dhe me mundësi të përpunimit të mëtutjeshëm edhe tredimensional të cilat mund të barten në film, CD ose edhe të shtypen në letër me ose pa ngjyra.
TK mund të aplikohet edhe në urgjencë me çka pacientit i ndihmohet të shpëtohet jeta me diagnostikim të shpejtë të gjendjes së tij. TK nuk ka ndikim negativ në aparatet e implantuara në trup.
Diagnostika me ultratingull
Diagnostika me ultratingull për përfitimin e imazhit përdorë valë me frekuencë më të lartë se që ne mund të dëgjojmë, por që kanë depërtueshmëri nëpër indet e buta dhe të lëngëta të trupit tonë. Kur këto valë ndeshen me organet e trupit tonë, reflektohen dhe ato pranohen nga transduseri me të cilin bëhet kontrollimi.
Informata më tutje përpunohet dhe kalkulohet deri në përfitimin e imazhit të ultratingullit, dy, tre ose katër dimenzional. Imazhi i ultratingullit quhet edhe “real-time” që do të thotë se është imazh i gjallë që përcjellë edhe lëvizjen e organit-pjesës së kontrolluar të trupit.
Duke përdorur rrezet të ultratingullit me frekuencë më të lartë, imazhohen pjesët më të cekëta derisa me frekuencë më të ulët imazhohen indet më të thella në organizëm. Valët e ultratingullit nuk depërtojnë ajrin dhe kjo është arsyeja që gjatë realizimit të kontrollimit përdoret zhele për të arritur kontaktin mes transduserit dhe lëkurës. Valët e ultratingullit nuk kalojnë as nëpër eshtra.
Ultratingulli me Doppler përdoret për të vizualizuar qarkullimin e gjakut dhe karakteristikat e saja.
Imazh i mëlçisë me ultratingull
Me ultratingull mund të kontrollohet çdo pjesë dhe organ i trupit që nga fillimi i jetës (fetusi) pa pasur rrezik të dokumentuar në dëmin që ajo mund të bëjë. Ultratingulli me Doppler nuk preferohet tek fryti në fazat e hershme të saj.
Kontrollimi me ultratingull realizohet shpejtë dhe mund të përdoret edhe në emergjencë. Me aparatet e avansuara moderne të ultratingullit mund të realizohet edhe aplikimi i kontrastit për ultratingull që injektohet në enë të gjakut me qëllim të diferencimit më të mirë të patologjisë ekspansive dhe të ndryshimeve në qarkullimin e gjakut, në veçanti në zemër. Kontrasti për ultratingull ka bazën në mikrofluska që reflektojnë valët e ultratingullit.
Mungesat: Teoritikisht, pasi që valët e ultratingullit kanë sasi minimale të energjisë e cila mund të transformohet në energji të ngrohtësisë, duhet pasur parasysh që kontrollimet e frytit në fazën e parë të shtatzënisë të jenë të arsyeshme. Kualiteti i kontrollimit me ultratingull varet nga operatori.
Përparësitë: Kontrollimi me ultratingull është kontrollim që nuk përdorë rrezet jonizuese dhe si e tillë nuk është i dëmshëm. Kjo metodë është shumë e përhapur, e shpejtë, dhe relativisht e lirë. Imazhi i përfituar mund të shikohet në ekran menjëherë, të shtypet në letër dhe në aparatet e reja edhe të bartet në CD.
Nën kontroll të ultratingullit mund të realizohen edhe procedurat minimale invazive të drenimit të koleksioneve dhe e marrjes së biopsisë.
Rezonanca Magnetike RM
Imazhimi me rezonancë magnetike IRM është metodë përmes së cilës imazhi përfitohet me regjistrimin e valëve të emetuara nga vet trupi në fushë të fortë magnetike pas aplikimit të radio valëve rezonante.
Imazhimi me rezonancë magnetike si metodë imazhuese nuk përdor rreze jonizuese të dëmshme dhe jep imazh shumë preciz të pjesës së trupit.
Me RM mund të tregohen ndryshime që ndodhin në inde para se disa prej tyre të japin edhe ndryshime klinike (pacienti të ketë dhimbje ose dëmtime që atë e pamundësojnë të lëvizë ose kryej funksione).
Me aparate të avancuara moderne të rezonancës magnetike mund të detektohet infarkti në pjesë të ndryshme të trupit në veçanti në tru, para se të jetë në gjendje që ajo të tregohet me metoda tjera imazhuese.
Në këto raste kur arrihet vizualizimi i infarktit në tru disa minuta pasi që ka ndodhur, u mundësohet mjekëve specialist radiolog dhe neurolog të ndihmojnë pacientin derisa dëmtimi është fillestar brenda 3-6 orëve të para. Gjatë kësaj kohe radiologu specialist provon të zvogëloj maksimalisht invaliditetin që mund të jep pasoja të rënda si për pacientin ashtu edhe për familjen dhe për tërë shoqërinë.
Imazhet e fituara me RM janë imazhe shumë të detajizuara me aftësi shumë të madhe të karakterizimit indor (mundëson dallimin e saktë mes indeve) gjë që nuk është e mundur me asnjë metodë tjetër imazhuese. Me RM mund të imazhohen të gjitha pjesët e trupit duke aplikuar teknika adekuate për secilën prej tyre.
Aparati i RM ka gentrin me gjerësi rreth 1.5 metra me një hapësirë rrethore si tunel në mes të saj ku lëviz shtrati me pacientin në të. Disa pacientë nuk mund të qëndrojnë në hapësira të mbyllura (klaustrofobi) dhe ata paraprakisht duhen të premedikohen (të marrin barëra për qetësim).
Gjatë kontrollimit me RM aparati prodhon tinguj të zëshëm që nuk duhen shqetësuar pacientin. Kontrollimi me RM nuk është i dhembshëm dhe pacienti duhet të jetë i qetë duke mos bërë lëvizje sepse ato e prishin imazhin e fituar të pjesës së trupit.
Për informata shtesë të detajuara, dhe për vizualizim më të mirë të enëve periferike të gjakut edhe me RM përdoret mjeti i kontrastit paramagnetik që injektohet në enë të gjakut, në sasi prej 5 deri 15 ml për pacient.
Imazhin me RM e deformon prezenca e trupave të huaj metalik (titanium) derisa në fushën magnetike është rreptësisht i ndaluar të hyhet me prezencë të metalit (ora, rripi, monedha, gërshërë, lapsa, çelësa, shkopinj metalik, implantate metalike që nuk është i përbërë nga titaniumi që janë implantuar në trup, bizhuteri, aksesorë, kartela bankare, pacemaker tek pacientët kardiak, etj.
Edhe frymëmarrja mund të dëmtojë kualitetin e imazheve të fituara dhe për këtë nga pacienti kërkohet që gjatë fazave të incizimit të shkurtër të mos marrë frymë.
Imazhe me rezonancë magnetike
Rreziqet: Nëse pacienti dhe personeli shërbyes ndjekin udhëzimet e kujdesit për punë me këtë aparat, kontrollimi me rezonancë magnetike nuk paraqet rrezik për pacientin e as për personelin. Rreziku i vetëm është nëse pacienti ose personi që hynë në fushën magnetike të aparatit të RM të ketë objekt metalik në trupin e tij, me ç’rast ky trup ose mund të bëhet projektil i rrezikshëm ose mund të nxehet dhe të djeg indin përreth.
Pacientët të cilët kanë në trupin e tyre pjesë metalike të projektileve eksplozive nuk duhen hyrë në fushën magnetike të aparatit të RM. Këta pacientë duhen konfirmuar/përjashtuar me rëntgen klasik prezencën e trupave të huaj metalik në trupin e tyre. Kjo është arsyeja se pse pacienti duhet njoftuar paraprakisht për rreziqet nga prezenca e trupave të huaj metalik dhe të nënshkruaj se ai nuk ka trupa të huaj metalik në trupin e tyre.
Ekziston mundësia e reaksioneve alergjike tek pacientët tek të cilët aplikohet mjeti i kontrastit, por ajo është shumë më e rrallë se tek ata që përdorin kontrastin me bazë të jodit në kontrollimet me TK.
Edhe pse nuk ka të dhëna shkencore se IRM dëmton frytin, gratë shtatzëna këshillohen të mos e bëjnë këtë kontrollim pa pasur indikacione të forta mjekësore.
Përparësitë: Imazhimi me RM nuk përdorë rrezet jonizuese dhe ka aftësi të madhe për vizualizimin e detajizuar të patologjive në trup, të cilat në këtë masë nuk vizualizohen me metoda tjera: ndryshimet në tru, në eshtra, në nyje, në gjunjë, palcën kurrizore, zemër, inde të buta, rrugë biliare, prostatë, etj. /Telegrafi/





























































