De Rossi shërohet nga COVID-19

Daniele De Rossi është shëruar nga COVID-19, pesë javë pasi ishte infektuar me coronavirus duke punuar me ekipin e Italisë.
Legjenda e Romës është bërë pjesë e stafit trajnues të Roberto Mancinit te skuadra e Azzurrëve.
Dhe pikërisht duke qenë i angazhuar me ekipin kombëtar në muajin e kaluar ishte infektuar me coronavirus, së bashku me pjesëtarë tjerë të stafit dhe menaxhmentit.
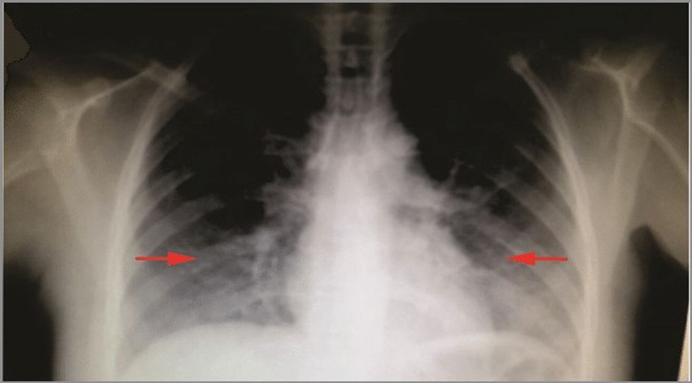
De Rossi ishte ndër ata që patën simptoma më të rënda të sëmundjes, ashtu që ishte hospitalizuar si pasojë e zhvillimit të pneumonisë intersticiale.
Gjatë ditës së sotme (e hënë), bashkëshortja e tij, Sarah Felberbaum, ka konfirmuar përmes Instagramit se ish-futbollisti është shëruar dhe ajo ka mundur ta përqafojë pas 37 ditësh.
Pneumonia bilaterale intersticiale është një infeksion serioz që mund të shkaktojë inflamacion dhe cikatrizime në mushkëri.
Është një nga format e shumta të sëmundjeve intersticiale të mushkërive që përfshin indin përreth qeskave të vogla të ajrit (alveole) të mushkërive tuaja.

Këtë lloj pneumonie mund ta zhvilloni si pasojë e COVID-19. Format bilaterale të pneumonisë i përfshijnë të dy mushkëritë.
/Telegrafi/























































