Çfarë është Leishmanioza?

Prof. Dr. Mustafë Shabani
Leishmania është një parazit i gjinisë së tripanozomave, që shkakton sëmundjen e leishmaniozës. Përhapet përmes mushkonjave të vogla të quajtura Phlebotomus. Strehuesit e tyre parësorë janë vertebratet. Zakonisht paraziti infekton qentë, brejtësit dhe njerëzit.
Sëmundja është e pranishme edhe tek ne, është zbuluar te një qen i një pronari nga Prishtina, diagnoza e së cilës është vërtetuar edhe në Shkup. Rëndësia e këtij zbulimi qëndron në atë se siç dihet, minjtë janë rezervuar kryesor për përhapjen e kësaj sëmundje shumë të rëndë infektive te njeriu, që përhapet nëpërmjet pickimeve (thumbimeve) të mushkonjave.
Leishmanioza është sëmundje protozoare, shkaktarët e së cilës bëjnë pjesë në: Regnum Protista Phyllum Sarcomastigophora Genera Leishmania me këto specie:
1) Leishmania (L) donovani prej të cilit është identifikuar edhe një varietet i ri:
2) Leishmania (L) infantum, shkaktar i leishmaniozës viscerale apo i kalla azarit.
Përveç këtyre llojeve ekzistojnë edhe 14 specie tjera, të cilat gjithashtu shkaktojnë leishmaniozën nëpër pjesë të ndryshme të botës.
Leishmaniasis visceralis
Shkaktarin e kësaj sëmundje e ka zbuluar William Leishman (1900), prej një ushtari, i cili kishte vdekur prej etheve shumë të rënda në Indi. Tre vjet më vonë të njëjtin shkaktar e vërteton Charles Donovan në lien (pshnetkë) të një të vdekuri nga kjo sëmundje. Kjo sëmundje, në Indi ka qenë e njohur me emrin - kalla azar. Po në këtë shtet formohet komisioni për të vërtetuar se si përhapet kjo sëmundje tek njeriu. Pas një kohe të shkurtër, gjendet transmetuesi kryesor i shkaktarit të kësaj sëmundje, që janë mushkonjat e gjinisë Phlebotonus, kurse si rezervuar i shkaktarit të kësaj sëmundjeje janë qentë.
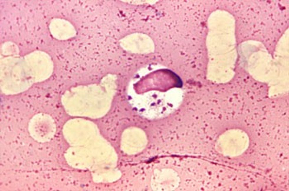
Shkaktari i leishmaniozës paraqitet në dy forma: në formën promastigote, e cila gjendet në traktin digjestiv të mushkonjës, ku nëpërmjet pickimit në lëkurën e njeriut i hedhë dhe një kohe - 12 – 14 ditë paraqite afekti primar. Promastigotet e hedhin flagjelen dhe në mikrofage të fagocituara shndërrohen në forma të rrumbullakëta, të cilat tani quhen format astigote, të cilat shpërndahen në tërë trupin, e sidomos në qelizat e sistemit retikuloendotelial - në lien dhe në hepar, ku edhe vie deri te hepatosplenomegalia e theksuar. Për të ardhur deri te përsëritja e ciklit, duhet që këto mushkonja ta thithin gjakun e njeriut apo të qenit të sëmurë; në këtë ato i thithin format amastigote, ku në traktin digjestiv të tyre shndërrohen në forma promastigote. I tërë ky cikël zgjatë diku prej 5-8 ditë.
Klinika
Gjatë inokulimit të shkaktarit në lëkurë vjen deri afekti primar (inflamacioni primar). Prej këtu, amastigotet fagocitohen në makrofage duke u futur në qelizat e sistemit retikuloendothelial, e sidomos në lien dhe hepar, ku shkaktohet hepatosplenomegalia dhe gjendja febrile. Inkubacioni zgjat prej 2-4 javë, ndoshta edhe disa muaj.
Diagnoza
Sot kryesisht përdoret metoda imunofluoreshente.
Epidemiologjia dhe profilaksa
Edhe pse ky është një rast sporadik, diagnostikimi i hershem, jo vetëm që ka rëndësi shumë të madhe si në aspektin epidemiologjik, por edhe në aspektin profilaktik. Dihet se në regjionin tonë janë të pranishme tri sëmundje shumë të rrezikshme (Brucelloza, Tularemia dhe Ethet hemorragjike), ku sipas të gjitha gjasave, kuptohet duke marrë për bazë praninë e kësaj sëmundje në Maqedoni, ku në diagnostikimin rutinor veç është futur metoda imunofluoreshente, në një kohë të afërme mund të kemi problem me këtë sëmundje protozoare, e cila njëheri është zoonozë. /Telegrafi/


























































