Tumoret e trurit

Donika GjoniMjeke në neurokirurgjiKlinika Fulda, Gjermani
Tumoret e trurit për një kohë të gjatë mund të mos shkaktojnë simptoma, mirëpo varësisht nga lokalizimi dhe madhësia mund të bëhen simptomatike me deficite neurologjike progresive (68%), si humbja e aftësisë për të lëvizur gjysmën e trupit, vështirësi në të folur ose të kuptuarit e gjuhës, humbje e përsëritshme e shikimit.
Dhimbjet e kokës (54%) dhe sulmet epileptike (26%) janë gjithashtu të zakonshme. Simptomat janë shumë të ndryshme dhe varen nga lloji dhe vendndodhja e tumorit.
Metastazat e trurit ndodhin në 15-30% të pacientëve me kancer. Tumori primar është kryesisht kanceri i mushkërisë (44%), i gjirit (10%), i veshkës (7%), i traktit gastrointestinal (6%) dhe melanoma (3%).
Trajtimi i metastazave në tru është i mundur duke përdorur modalitete të ndryshme. Koncepti i trajtimit varet nga faktorë të ndryshëm, si lokalizimi, numri, simptomat e shkaktuara dhe gjendja e përgjithshme e pacientit si dhe situata e përgjithshme onkologjike. Në rastin e metastazave simptomatike, qëllimi i operacionit është përmirësimi i gjendjes për të mundësuar terapi të mëtejshme për pacientin edhe nëse ka disa metastaza.

Gliomat lindin nga qelizat mbështetëse të Sistemit nervor qendror dhe janë tumoret primare më të zakonshme të indit të trurit. Sot, gliomat klasifikohen kryesisht sipas aspekteve patologjike molekulare. Vetëm astrocitomat pilocitare (WHO – OBSH – Organizata Botërore e Shëndetësisë) të shkallës 1 janë të shërueshme, të gjitha gliomat tjera recidivojnë me kalimin e kohës. Prandaj, qëllimi i trajtimit është zgjatja e jetës me cilësi të lartë. Opsionet e trajtimit janë operacioni neurokirurgjik, rrezatimi, terapia medikamentoze dhe trajtimi me “tumor-treating-fields”.
Qëllimi i operacionit është zvogëlimi sa më i madh i masës tumorale pa shkaktuar dëme neurologjike. Sidoqoftë, një "resekcion i plotë" biologjik është i pamundur. Në shumicën e rasteve pas operacionit trajtimi vazhdon me rrezatim dhe / ose terapi medikamentoze. Në rastin e tumoreve malinje (glioblastoma) është e mundur edhe terapia me fusha të terapisë së tumorit (“Tumor-treating-fields”). Mitoza e qelizave tumorale të mbetura me këtë metodë pengohet nga një fushë magnetike e aplikuar në kokë vazhdimisht. Koha deri në recidivimin e tumorit ose koha e mbijetesës varen nga shumë faktorë, ku biologjia e tumorit luan një rol vendimtar.

Meningeomat janë tumore intrakraniale që e kanë origjinën nga arachnoidea, pra nga një mbulesë e trurit. Meningeoma zakonisht rritet ngadalë dhe zhvendos strukturat përreth, vetëm 10% tregojnë shenja degjenerimi me rritje të shpejtë dhe infiltrative.
Trajtimi indikohet kur tumoret shkaktojnë simptoma, tregojnë rritje progresive ose shkaktojnë ndryshime në trurin përreth. Heqja kirurgjikale e tumorit është trajtimi primar nëse është lehtësisht i aksesueshëm. Radiokirurgjia (rrezatimi një herë) është një procedurë efektive për tumoret e vogla, të vendosura në mënyrë të pafavorshme ose tumoret reziduale. Përndryshe, ato mund të kontrollohen në intervale të caktuara kohore duke përdorur rezonancë magnetike.

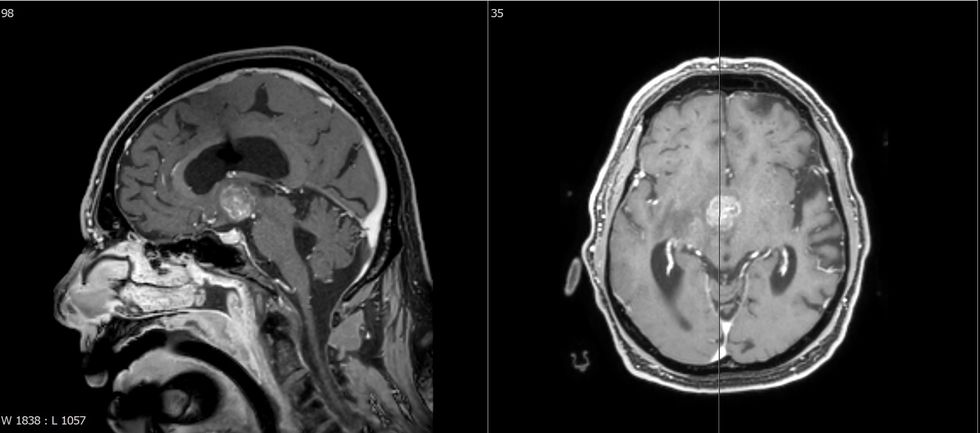
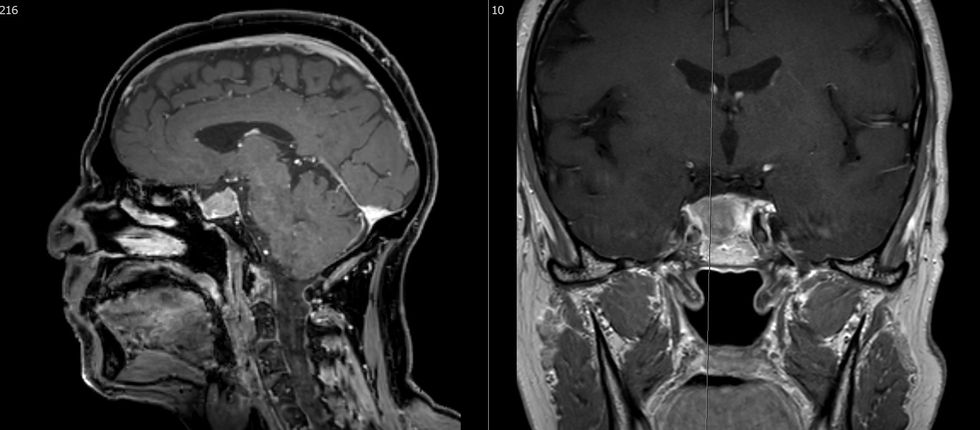
Tumoret e gjëndrës së hipofizës janë zakonisht beninje. Simptomat mund të shkaktohen nga mbiprodhimi ose nënprodhimi i hormoneve ose nga kompresioni lokal në kiazmën optike me humbje të pjesërishme të shikimit ose ngushtim të fushës së shikimit. Tumoret që prodhojnë prolaktinë (prolaktinoma) janë tumoret e vetme që trajtohen në formë medikamentoze, të gjithë tumoret tjerë simptomatik të hipofizës duhet të largohen me operacion. Operacioni kryhet më së shpeshti përmes hundës (transnazal, transfenoidal) në bashkëpunim me kolegët e ORL-së.

/Telegrafi/





















































