Tumoret e trurit

Dr Haxhi Avdyli- neurokirurg
044 157 129 h_avdyli@hotmail.com
Tumoret i trurit paraqesin një shumim të pakontrolluar të qelizave anormale të indit të trurit si dhe cipave që rrethojnë trurin. Ato mund jenë primare që marrin rritën nga vetë qelizat trunore ose janë metastaza të migruara nga tumore të tjera të trupit. Tumoret primare të trurit mund të jenë beninje dhe malinje, por nuk zhvillojnë metastaza në organe tjera. Në të shumtën e rasteve ata zhvillohen nga indi lidhor nervor (glia dhe astrocite), por shpesh edhe nga cipat e trurit-meningjet.
Tumoret beninje e shtyjnë indin përreth tyre, por nuk rriten brenda në indin përreth dhe nuk zhvillojnë metastaza. Përbrenda kafkës mund të rrisin shtypjen e trurit apo duke e penguar sistemin e qarkullimit të likuorit. Pasi që ato i shtyjnë dhe dëmtojnë strukturat, që janë të rëndësishme për jetën, është e vështirë dhe gabim të flitet për beninjitetin e këtyre tumoreve. Shembull për tumor beninj është meningeomi i cili përbën deri 20 % të tumoreve të trurit. Megjithëse heqja totale dhe shërimi i plotë i këtij tumori është plotësisht i mundshëm, lokalizimi mund të jetë sfidë për neurokirurgun.
Tumoret malinj rriten duke e infiltruar indin përreth tyre, kjo do të thotë që është e vështirë të gjendet një kufi i mprehtë ndërmjet indit normal dhe tumorit. Pas një operimi të mundshëm mbesin përreth akoma qeliza malinje, të cilat më vonë shumohen dhe krijojnë sërish tumor të trurit (recidiv). Shembull për tumor malinj është glioblastomi, i cili fatkeqësisht është tumori më i shpeshtë në tru deri 50%. Këto tumore përveç operimit kërkojnë edhe trajtim shtesë me rrezatim apo citostatikë.
Varësisht nga shkalla e zhvillimit dhe lokalizimit simptomat e tumorit të trurit paraqiten si shenja fokale neurologjike varësish nga lokacioni (si paralizë të njëanshme të trupit, paralizë të nervave facial, çrregullime të folurit e të ecjes, humbje të pjesshme të shikimit etj.), epilepsi të ndryshme dhe pasojat e rritjes së shtypjes së trurit si: kokëdhembja, vjellja, humbja e vetëdijes deri në komë etj.
Simptoma të tjera të pacaktuara, të cilat varësisht nga lokalizimi mund të përshkruhen si ndryshime në personalitet dhe sjellje shoqërore te lobi frontal, çrregullime hormonale te adenomat, çrregullime të baraspeshës të tumoret e trurit të vogël, etj.
Tumoret e trurit më të shpeshta janë gliomet të kategorizuara me shumë nënlloje tjera varësisht nga lloji qelizave apo malinjiteti. Pastaj vijnë meningeomet dhe adenoma e hipofizës. Një numër paraqesin si metastazat e tumoreve nga organet jashtë kokës, si kanceri i bronkeve dhe kanceri i gjirit. Gjithashtu shpesh gjendet akustikus neurinomi me origjinë nga nervat kranialë.
Te fëmijët, tumoret më të shpeshtë janë tumoret malinj të quajtur medulloblastoma, të cilat janë tumore primitive neuroektodermale dhe lokalizohen kryesisht në tru të vogël.
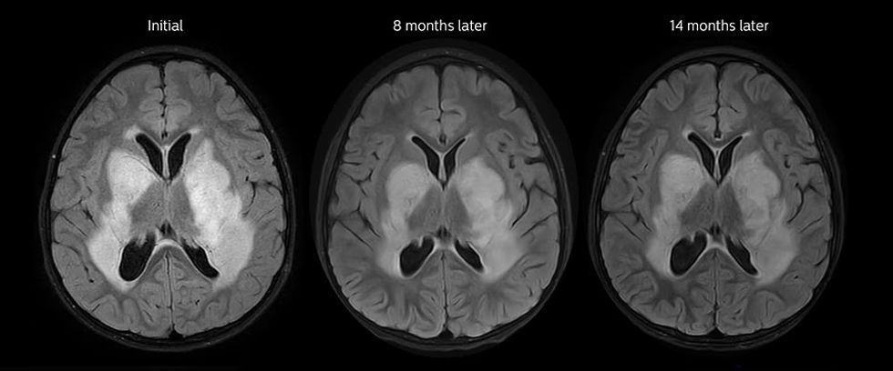
Tumoret e trurit diagnostikohen më së miri me CT dhe MRT me kontrast.
Terapia e tumoreve të trurit varet prej lokacionit, madhësisë, prej prejardhjes së tumorit si dhe nga gjendja e përgjithshme e pacientit. Në vend të parë qëndron operimi i tumorit, e ndjekur nga rrezatimi dhe citostatikët. Procedura e operimit në kokë quhet kraniotomi apo hapje e ashtit të kafkës me trepan. Pas heqjes së tumorit, ky asht kthehet dhe fiksohet në vendin e mëparshëm. Heqja e tumoreve të hipofizës mund të bëhet edhe transnazal përmes hundës. Përveç mënyrës klasike së operimit në botë janë duke u zhvilluar edhe metoda tjera më moderne si radiokirurgjia stereotaksike, gama knife etj.
Në Kosovë edhe përkundër kushteve jo aq të mira, qe shumë vite po kryhen me sukses shumë operacione të tumoreve.
Varësisht nga malinjiteti, ndryshon edhe prognoza e pacientëve të operuar. Tumoret e shkallës I dhe II e kanë prognozën e mirë. Tumoret e shkallës III dhe IV edhe pse terapia ka përparuar shumë, kanë një mbijetesë vetëm prej 1 deri më 2 vjet. P.sh. te pacientët e prekur nga Glioblastoma multiforme (që përben 50% të tumoreve të trurit), jetëgjatësia pas trajtimit me operim, rrezatim dhe citostatikë, shkon mesatarisht nga 6-18 muaj. /Telegrafi/






















































