Trajtimi ortodontik për adoleshentët: gjithçka që duhet të dini

Ass.Dr.Sci. Visar DishaSpecialist i Protetikes StomatologjikeSpecialist i Ortodoncisë dhe Ortopedisë së Nofullavetel. +38344559287
Kur trajtimi ortodontik është i domosdoshëm, është e rëndësishme që adoleshenti të ketë informacionin e duhur, në mënyrë që të përfitojë sa më shumë prej tij dhe të ketë rezultatet më të mira të mundshme!
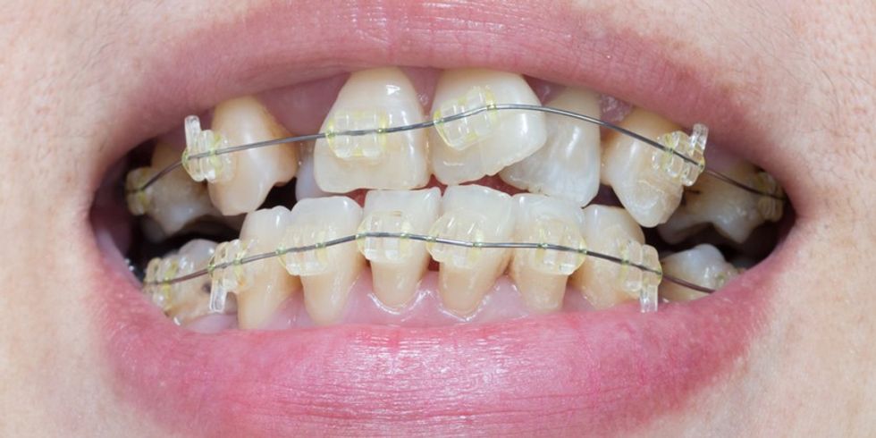
Ky artikull do të tregojë pse gjithnjë e më shumë adoleshentë po zgjedhin trajtimin ortodontik me braketa, se si braketat kanë potencial për të përmirësuar besimin e tyre dhe cilësinë e përgjithshme të jetës, si dhe të gjitha këshillat e rëndësishme që adoleshentit tuaj do t’i nevojiten për t’u përgatitur plotësisht për trajtimin e tyre.

Ju mund të habiteni pak kur adoleshenti juaj të afrohet duke ju kërkuar që të vendos braketa.
Pra - pse ndryshimi i papritur?
Shumë studime të viteve të fundit lidhin buzëqeshjet e mrekullueshme me ndjenjat e vetëvlerësimit të rritur, dhe marrja e vendimit për të vendosur braketa është hapi i parë drejt kësaj rritje të vetëvlerësimit.
Nëse adoleshenti juaj është i interesuar në mënyrë aktive për të ndjekur këtë qëllim, ju duhet të jeni të lumtur dhe krenarë!

Problemet ortodontike nuk përmirësohen me moshën dhe mund të bëhen më të vështira për tu trajtuar pasi rritja të përfundojë. Është më e lehtë për të trajtuar shumicën e problemeve ortodontike gjatë adoleshencës sepse trupi është ende në rritje të shpejtë.
Ortodontët mund të përfitojnë nga kjo rritje e shpejtë për të ndihmuar në formimin e kafshimit të duhur si dhe radhitjen e dhëmbëve në mënyrë korrekte. Për shkak se adoleshentët kanë një metabolizëm shumë më të shpejtë, koha e trajtimit mund të shkurtohet, gjë që do të zvogëlojë shqetësimin e përgjithshëm të trajtimit ortodontik.

Deri në moshën 11-13 vjeç dhëmbët e qumështit janë ndërruar dhe shumica e dhëmbëve të përhershëm kanë dalë. Kjo është koha kur mund të fillojmë me trajtimin ortodontik me braketa duke korrigjuar problemet që mund të shpien tek një keqkafshim (malokluzion), hapësira mes dhëmbëve, apo radhitje te shtrembër të dhëmbëve.

Me trajtimin ortodontik me braketa, dhëmbët tuaj do të rreshtohen në pozicionin më të mirë për gojën tuaj duke e bërë kujdesin për dhëmbët tuaj më të lehtë.
Keqkafshimi (Malokluzioni): Një keq kafshim mund të shkaktojë dhimbje dhe shqetësime përcjellëse të cilat do të ndikojnë negativisht në rutinën tuaj të përditshme. Kjo mund t’ju pengojë të hani dhe ta tretni ushqimin siç duhet, mund të ndikojë edhe në mënyrën se si flisni.
Me trajtimin ortodontik, ju jeni në gjendje të korrigjoni një keqkafshim që mund të përmirësojë jashtëzakonisht cilësinë e jetës tuaj.

Çdo rast është i ndryshëm, por mesatarisht, faza aktive e trajtimit ortodontik do të zgjasë diku nga 6 deri 36 muaj.

Pasi të kapërcejnë shqetësimin fillestar ditët e para nga braketat, trajtimi është në thelb në duart e ortodontit të tyre:
▪ e tëra çfarë ata duhet të bëjnë është të ndjekin udhëzimet e tyre, dhe
▪ t'i përmbahen një rutine më të mirë të higjienës orale që do t'i mbajë dhëmbët të pastër.

Trajtimi ortodontik me braketa siguron një jetë përplot buzëqeshje, vetëbesim më të rritur si dhe dhëmbët dhe nofullat që janë rreshtuar siç duhet, promovojnë shëndet më të mirë oral dhe fizik.
Trajtimi ortodontik është me të vërtetë një investim në të ardhmen e fëmijës tuaj. /Telegrafi/





















































