"Më thanë se kam tumor dhe duhet të operohem, por nuk ka mjekë - shpëtimin e gjeta tek Klinika Zhan Mitrev"

Në Klinikën "Zhan Mitrev" mjekët shpesh herë vendosen në gjendje që të reagojnë shpejtë, në mënyrë të vendosur dhe të drejtë. Lufta për jetë e pacientit është prioritet, për të cilin gara me kohën mbetet qëllimi i vetëm për të gjithë. Në këtë luftë përdoren të gjitha mjetet, edhe nga faktori njerëzor edhe nga ai teknik, pa marrë parasysh kohën dhe vendin.
Pikërisht kjo luftë, e cila është e shpeshtë në këtë klinikë, është zhvilluar edhe për jetën e një pacienti në vend.
Pacienti i cili është diagnostifikuar me tumor, ka treguar historinë e tij.
"Edhe pse kam pasur dhimbje dhe kam lëvizur me vështirësi në spitalin shtetëror më thanë se nuk ka kush të më operojë. Mi kanë bërë të gjitha analizat dhe më thanë se kam tumor dhe duhet sa më parë të operohem, por tani është koha e pushimeve vjetore dhe nuk ka kush ta bëjë këtë. Mu bë e qartë se shpëtimin duhet ta kërkojë diku tjetër, me çka familja ime vendosi të kërkojmë shpëtim në klinikën Zhan Mitrev. Këtu më operuan dhe falënderoj të gjithë ekipin që gjithçka përfundoi siç duhet", thotë pacienti identiteti i të cilit njihet vetëm nga spitali.
Tregimi i tij me Klinikën "Zhan Mitrev" filloi kur u paraqit për kontroll, ndërsa menjëherë është hospitalizuar dhe pas gjitha kontrolleve është planifikuar operimi.
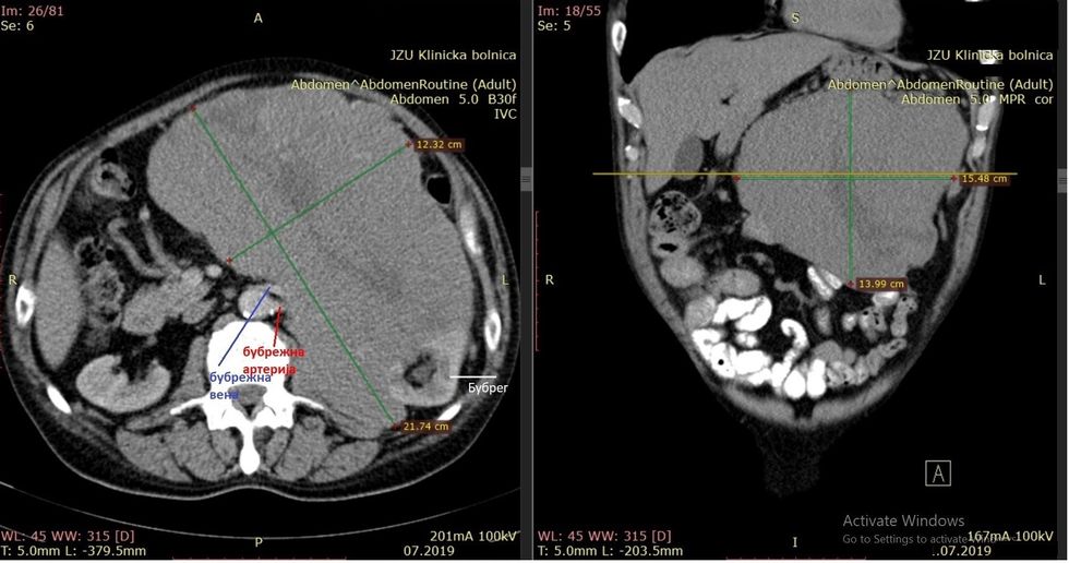
"Është konstatuar se pacienti i moshës 71 vjeçare, ka neurofibrosarkoma në anën e majtë në retroperitoneum. Pas ekzaminimeve në klinikë, u konfirmua se ka tumor të madh në bark. Gjithashtu ishin të qarta plagët nga biopsia e mëparshme. Ekzaminimi i MSCT tregoi se tumori kishte infiltruar veshkën e majtë dhe enët e saj të gjakut, si dhe në të njëjtën kohë ka infiltruar pankreasin. Për shkak të anemisë dhe kequshqyerjes, përgatitjet për operacion janë bërë sipas protokollit ERAS (Enhanced Recovery After Surgery)", tha kirurgu abdominal Millço Panovski, subspecialist në Klinikën "Zhan Mitrev".
Pacienti është operuar nën anestezinë e kombinuar (të përgjithshme dhe epidurale).
Ekipi i kombinuar i onkologjisë, e përfundoi operacionin me sukses. Tumori i cili ishte me përmasa 27x17x14 cm, së bashku me omentumin është larguar.
Koha e plotë në të cilën është bërë operacioni ka qenë 260 minuta.
Artikull i sponsoruar






















































