Rëndësia e trajtimit të hershëm ortodontik - kur dhe pse?

Vizita e parë ortodontike është e rëndësishme sepse mund të zbuloj problemet eventuale që lidhen me rritjen e nofullave dhe eruptimin (daljen) normal të dhëmbëve Ass.Dr.Sci. Visar Disha,Specialist i Protetikes StomatologjikeSpecialist i Ortodoncisë dhe Ortopedisë së Nofullavetel. +38344559287
Edhe pse dhëmbët e fëmijës tuaj mund të duken të drejtë, mund të ketë një problem që vetëm një Specialist i Ortodoncisë dhe Ortopedisë së Nofullave mund ta zbulojë.
Kjo është një pyetje që shpesh bëhet nga prindërit, veçanërisht pasi ata shohin fëmijë të tjerë të vegjël me aparate ortodontike.
Vizita e parë ortodontike është e këshillueshme që të bëhet nga mosha 3 deri në 6 vjeç, mirëpo jo më vonë se mosha 7 vjeç.
Duke korrigjuar probleme të vogla, që në moshë të hershme, parandalohen probleme më të mëdha që mund të shfaqen në të ardhmen.
Një trajtim ortodontik i fëmijës në moshë të hershme siguron që dhëmbët të rriten më mirë dhe që fëmija të mos zhvillojë probleme të kafshimit në të ardhmen, gjë që do të shmangë shpenzimet e tepërta që ai/ajo duhet të bëjë në moshën e rritur për të përmirësuar buzëqeshjen e tij, të tilla si: heqja e dhëmbëve, bartja e aparate ortodontike të bezdisshme ose ndërhyrje kirurgjikale për ti lëvizur nofullat në vendin e duhur.
Kjo e fundit përveç se është një ndërhyrje e shtrenjtë, mund të jetë mjaft e dhimbshme.
Një pozicion i duhur i dhëmbëve është baza e mirëqënies dhe e shëndetit për të gjithë kompleksin dhëmbë -nofullë- fytyrë në nivelin estetik dhe funksional.
Për shkak se pacientët ndryshojnë si në zhvillimin fiziologjik ashtu edhe në nevojat e trajtimit, qëllimi kryesor për një Specialist të Ortodoncisë dhe Ortopedisë së nofullave është që të fillojë trajtimin e fëmijës në moshë të hershme, të udhëheqë rritjen e kockave të nofullës dhe të krijojë mjedisin optimal për eruptimin e dhëmbëve të përhershëm.
Duke korrigjuar probleme të vogla, që në moshë të hershme, parandalohen probleme më të mëdha që mund të shfaqen në të ardhmen.
Pse duhet të trajtohen malokluzionet “keqkafshimet”?
Sipas studimeve të kryera nga Shoqata Ortodontike Amerikane, malokluzionet e patrajtuara mund të sjellin në një sërë problemesh:
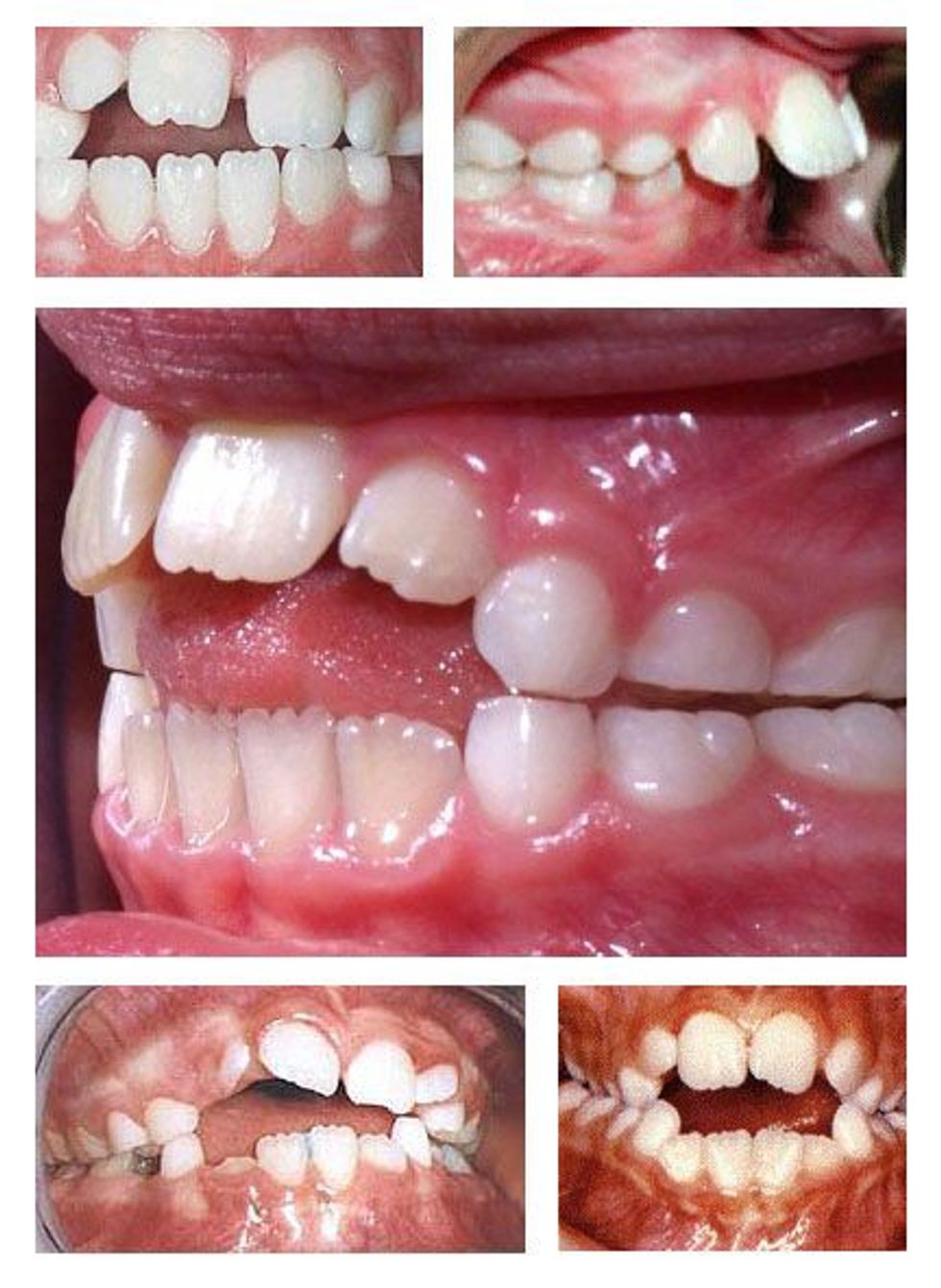
• Kur dhëmbët janë të dendur, kemi vështirësi në eruptimin normal të dhëmbëve si dhe në pastrimin e tyre me brushë dhe penjë dental, gjë që mund të çojë në prishjen e dhëmbëve dhe sëmundje të mishërave të dhëmbëve.
• Dhëmbët e protruduar (të dalur më jashtë pozicionit të tyre normal) janë më të ndjeshëm ndaj traumave dentale që mund të ndodhin gjatë rrëzimit të fëmijëve.
• Një kafshim i kryqëzuar mund të kontribuojë në zhvillim jo të rregullt të nofullave si dhe konsumimin e pabarabartë të dhëmbëve.
• Një kafshimi i hapur mund të rezultojë si pasojë futjes së gjuhës mes dhëmbëve duke krijuar probleme në artikulimin e fjalëve dhe duke thelluar dhe më tej problemet dentare.
Ortodoncia bënë shumë më tepër se sa një buzëqeshje të bukur – ju bënë më të shëndetshëm.
Si mund ta di nëse fëmija im ka nevojë për trajtim të hershëm ortodontik?
Ka disa mënyra me të cilat mund të përcaktoni nëse fëmija juaj mund të ketë nevojë për trajtim të hershëm ortodontik.
Nëse vëzhgoni ndonjë nga këto karakteristika ose sjellje, duhet të shkoni për një vlerësim tek një Specialist i Ortodoncisë dhe Ortopedisë së nofullave:
• Humbja e hershme e dhëmbëve të qumështit (para moshës pesë vjeç)
• Nëse dhëmbët e fëmijës tuaj nuk takojnë mir gjatë kafshimit
• Frymëmarrja me gojë
• Nëse dhëmbët e përparmë të fëmijës suaj janë të më të dendur (zakonisht nuk do ta shihni këtë derisa fëmija të mos jetë rreth shtatë ose tetë vjeç)
• Dhëmbët e përparëm më të qitur jasht nga pozicioni normal i tyre
• Vështirësi gjatë kafshimit ose përtypjes
• Pengesë në të folur
• Nëse nofulla e fëmijës suaj zhvendoset kur ai ose ajo hap ose mbyll gojën
• Nëse fëmija juaj është më i vjetër se pesë vjet dhe ende thith gishtin
Trajtimi i hershëm ortodontik fillon ndërsa kockat e nofullës së një fëmije janë ende të buta. Ato nuk ngurtësohen derisa fëmijët të arrijnë adoleshencën e tyre të vonë. Ndërsa kockat nuk janë ende të osifikuara tërësisht, procedurat korrigjuese funksionojnë më shpejt dhe në mënyrë më efektive sesa ato për adoleshentët dhe të rriturit.
Disa nga përparësitë e trajtimit të hershëm ortodontik:
• Krijimi i hapësirës për dhëmbët që do të eruptojnë
• Krijimi i simetrisë së fytyrës përmes ndikimit në rritjen e nofullës
• Reduktimi i rrezikut të traumës në dhëmbët e përparëm më të qitur jasht
• Ruajtja e hapësirës për dhëmbët e përhershëm
• Reduktimi i nevojës për heqjen e dhëmbëve
• Reduktimi i kohës së trajtimit me aparat ortodontik
• Të zvogëlojë incidencën e kariesit
• Të parandalojë dhe të eliminojë frymëmarrjen jo normale dhe të eliminojë veset e këqija si thithja e gishtit ose e biberonit
Trajtimi i duhur dhe i hershëm ortodontik hedh bazat për një gojë të shëndetshme dhe të mirë-funksionuar në moshën e rritur.
Shpesh herë janë stomatologët që i drejtojnë prindërit për të bërë një vizitë tek një ortodont, por edhe ju prindër, nëse vini re shenja të një problemi të mundshëm, mos hezitoni të bëni një vizitë tek një specialist i Ortodoncisë dhe Ortopedisë së Nofullave.
Fakti është se kur dhëmbët ose nofullat e fëmijës tuaj nuk janë të rreshtuar në mënyrë korrekte, kjo mund të ndikojë në mënyrën se si ata përtypin, flasin, flejnë, buzëqeshin dhe po - madje edhe si ndihen për veten e tyre.
Vetëm tek një Specialist i Ortodoncisë dhe Ortopedisë së nofullave mund të jeni të sigurt se fëmija juaj është në duart më të mira.
/Telegrafi/































































