Klinika Zhan Mitrev ofron zgjidhje për gushën ose strumën e tiroides

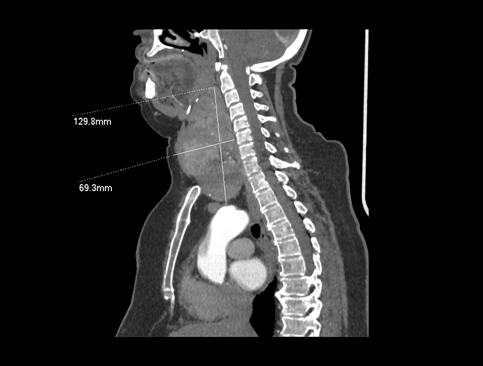
Patologjia e gjëndrës tiroide mund të manifestohet në formën e ndryshimeve në strukturën ose në funksionin e saj. Në grupin e sëmundjeve të gjëndrës tiroide përfshihet edhe gusha, e cila zakonisht manifestohet si rritje e vëllimit të gjëndrës tiroide në pjesën e përparme të qafës.
Gusha është pa dhimbje, por nëse rritet shumë, mund të shkaktojë vështirësi në gëlltitje, ndryshime në zë, kollë dhe vështirësi në frymëmarrje. Në këtë rast, e vetmja zgjidhje për trajtim është ndërhyrja kirurgjikale.
Në Klinikën Zhan Mitrev, është diagnostikuar dhe e mënjanuar në mënyrë kirurgjikale gusha/struma me përmasa të mëdha tek një paciente me vështirësi në frymëmarrje dhe gëlltitje.
Nga
Telegrafi
26/12/2023
Top Lajme
Promo Reklamo këtu
Jobs
Deals






















































