A keni dëgjuar për tendinitin e kalcifikuar?

Tendiniti është një inflamacion që mund të përfundojë me formimin e kalcifikimeve në zonën e inflamuar. Kalcifikimet janë pikërisht shkaku i dhimbjeve të forta në shpatull. Zakonisht shfaqet tek femrat rreth moshës 40 deri në 50 vjeç dhe zakonisht në dorën dominuese (dorën të cilën e ushtroni më tepër), edhe pse, jo gjithmonë ndodh domosdoshmërisht kështu.
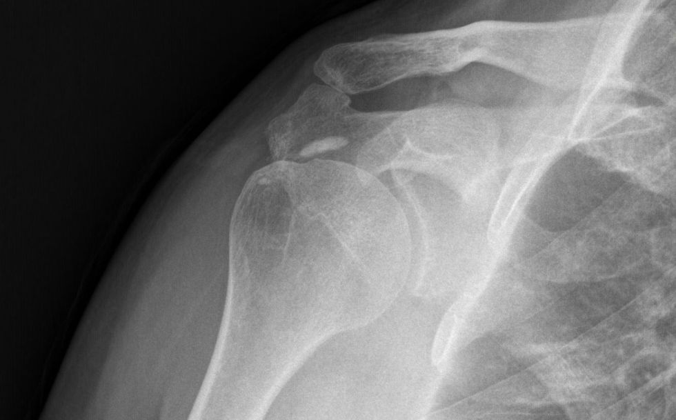
Çfarë janë kalcifikimet e shpatullave dhe si t’i kurojmë ato?
Kalcifikimet e shpatullave, të njohura gjithashtu si tendiniti i kalcifikuar, ndodhin kur depozitat e kalciumit grumbullohen në tendinat e shpatullës. Kalciumi shkakton acarim të tendinave të manshetës rrotulluese, gjë që mund të çojë në dhimbje akute. Zakonisht ndodhin në supraspinatus, megjithëse mund të ndodhin edhe në tendinën infraspinatus ose subscapularis.
Shkaqet e sakta të kalcifikimeve të shpatullave nuk janë konfirmuar ende. Ekzistojnë hipoteza të cilat i konsiderojnë ato si ndryshime në metabolizëm, degjenerim qelizor, gjenetikë, mikrotrauma të përsëritura ose çrregullime endokrine.
Si dukuri është konfirmuar se është më e zakonshme tek diabetikët me simptoma që zakonisht shfaqen në shpatullën e krahut dominues, megjithëse nuk është e pazakontë që kalcifikimi të ndodhë tek të dy krahët.
Një nga faktorët e rrezikut për tendinitin e kalcifikuar është mosha, sepse me kalimin e moshës, nyja e shpatullës dobësohet. Është më e zakonshme tek gratë mbi 40 vjeç.
Simptomat e kalcifikimeve në shpatull
Simptoma më e zakonshme për të cilën paraqiteni tek mjeku specialist është dhimbja akute në shpatull pa ndonjë arsye të dukshme. Kjo do të thotë, nuk ka ndodhur asnjë traumë ose mbingarkesë. Kjo dhimbje gjithashtu mund të shkaktojë palëvizshmëri dhe probleme me gjumin.
Është i mundur edhe tendiniti asimptomatik kalcifikues, i cili zbulohet rastësisht gjatë ekzaminimit radiografik edhe përgjatë diagnostikimit të ndonjë patologjie tjetër.
Fazat e tendinitit kalcifik
Tendiniti i kalcifikuar është një gjendje që shfaqet në faza të ndryshme:
- Faza e formimit, e cila mund të zgjasë disa vite. Këtu formohen depozitat e kalciumit. Është asimptomatike ose dhimbja është e moderuar.
- Faza e pushimit, kalciumi mbetet i qëndrueshëm. Nuk shfaq simptoma, por mund të ndodhë që dhimbja të mos largohet plotësisht.
- Faza resorptive: këtu shfaqet dhimbja akute në shpatull, pasi çlirohet kalciumi, i cili inflamon indet. Mund të zgjasë nga një deri në gjashtë muaj.
Si trajtohen kalcifikimet e shpatullave?
Trajtimi bazë është konservativ: me anti-inflamatorë, fizioterapi për ushtrime lëvizshmërie dhe aplikim të ftohtë për kalcifikimin në shpatull për rreth dhjetë minuta, dy ose tre herë në ditë.
Nëse dhimbja është shumë e fortë ose vazhdon, aplikohen injeksione të bazuara në kortikosteroide dhe anestezi lokale. Kjo, së bashku me trajtimin e fizioterapeutik, mund të ndihmojë në reduktimin e ndjeshme të dhimbjes.
Trajtime të tjera për tendinitin e kalcifikuar që mjeku specialist mund të marrë në konsideratë janë terapia me valë shoku (ShockWave Therapy) ose teknikat e aspirimit.
A operohen kalcifikimet e shpatullave?
Në shumicën e rasteve, operacioni nuk është i nevojshëm. Kirurgjia kryhet vetëm nëse opsionet e tjera terapeutike nuk funksionojnë.
Ideale në këtë rast është artroskopia në shpatull, një operacion minimal invaziv që kryhet duke aplikuar një pajisje të quajtur artroskop të lidhur me një ekran me rezolutë të lartë.
Artroskopia për tendinitin e kalcifikuar
Artroskopia është alternativa e fundit për trajtimin e kalcifikimeve të shpatullave. Depozitat e kalciumit nxirren jashtë, duke minimizuar dëmtimin e indeve sa më shumë që të jetë e mundur. Artroskopia e shpatullës është një procedurë e kryer nga specialistë të traumës, në të cilën nyja e shpatullës mund të shihet përmes një ekrani me rezolutë të lartë.
Për shkak se është një operacion minimal invaziv, shërimi/rikuperimi zakonisht është i shkurtër dhe pa komplikime. Ilaçet anti-inflamatore përdoren shpesh për të lehtësuar dhimbjen dhe krahu i prekur mund të imobilizohet për disa ditë. Gjithashtu, procesi i rikuperimit do të ndiqet nga fizioterapist i specializuar.
A mund të parandalohet shfaqja e kalcifikimeve në shpatullave?
Arsyet për shfaqjen e kalcifikimeve ende nuk janë konfirmuar saktësisht.Është gjithmonë e rëndësishme të ushqeheni shëndetshëm për funksionimin optimal të trupit dhe të konsultoheni me një specialist që në simptomat e para, nëse është e mundur përpara se dhimbja të bëhet akute. Tendiniti kalcifik është i zakonshëm dhe mund të shkaktojë ndërhyrje në funksionimin e përditshëm për shkak të shfaqjes së dhimbjes. Është e rëndësishme të mos prisni dhe të konsultoheni me një traumatolog specialist për diagnostikimin dhe trajtimin e hershëm.
Rezervoni terminin tuaj në 02 3091 484























































