Të gjithë e kemi qafën të shtrembër nga qëndrimi ulur: Ky ushtrim do ta kthejë në pozitën natyrale (Video)

Te njerëzit e moshuar qafa mund të jetë aq e shtrembër sa që do t’u shkaktonte dhembje po ta mbanin drejt. Prandaj është e domosdoshme çdo ditë t’i bëni këto ushtrime.
Dr. Pola Mur, e cila është edhe kiropraktikuese, në video-klipet e veta sqaron shkaktarët dhe pasojat e shtrembërimit të qafës, por ajo që është më e rëndësishme, jep edhe këshilla praktike se çka duhet të bëni.
Këtu po ju paraqesim ushtrimin më të rëndësishëm për kthimin e qafës në pozitën natyrale, transmeton Telegrafi.
E gjitha që duhet të bëni është një lëvizje e vetme, mirëpo kushtoni kujdes të gjitha detajeve.
Qëndroni drejt, por të relaksuar, në pozitën e cila ju është natyrale. Pastaj bëjeni lëvizjen pasuese – ngrini kokën lart, mjekrën tërhiqeni nga vetja, në drejtim të gjoksit dhe tërë qafën dhe kokën lëvizeni lehtë mbrapa, ashtu që veshët të arrijnë në nivel me supet, siç tregon dr. Mur në këtë xhirim.
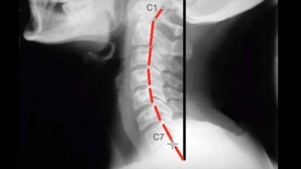
Në video-klipin tjetër mund të shihni si duket xhirimi i qafës e cila qëndron drejt, përkatësisht pozita natyrale e unazave.
Ndërkaq, këtu shihet pozita e unazave kur qafa është e relaksuar.
/Telegrafi/


















































